• Tel: 858.663.9055
  • SeparatorEmail: info@nsjbio.com
  • Tel: 858.663.9055
  • Email: info@nsjbio.com
Home >> Antibodies >> MCL1 Antibody

MCL1 Antibody (R31553)

  Catalog No Formulation Size Price (USD)  
Image R31553 0.5mg/ml if reconstituted with 0.2ml sterile DI water 100 ug 449
Bulk quote request
Western blot testing of MCL1 antibody and Lane 1: rat spleen; 2: human HEPG2; 3: (h) MCF-7; 4: (h) COLO320. Predicted molecular weight ~37kDa.
Western blot testing of MCL1 antibody and recombinant human protein (0.5ng)
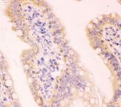
IHC-P: MCL1 antibody testing of human intestine cancer tissue
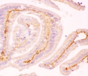
IHC-P: MCL1 antibody testing of mouse intestine tissue
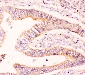
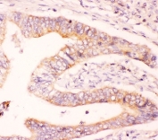
IHC-P staining of rat intestine tissue
Availability 1-3 business days
Species Reactivity Human, Mouse, Rat
Format Antigen affinity purified
Host Rabbit
Clonality Polyclonal (rabbit origin)
Isotype Rabbit IgG
Purity Antigen affinity
Buffer Lyophilized from 1X PBS with 2.5% BSA and 0.025% sodium azide
Gene ID 4170
Applications Western Blot : 0.5-1ug/ml
IHC (FFPE) : 0.5-1ug/ml
Limitations This MCL1 antibody is available for research use only.
Review this product on BioCompare and get a $20 Amazon gift card

Related Products

Description

Myeloid cell leukemia 1 is a protein that in humans is encoded the MCL1 gene. It is a potent multidomain antiapoptotic protein of the BCL2 family that heterodimerizes with other BCL2 family members to protect against apoptotic cell death. MCL1 as an attractive candidate for regulation of hematopoietic stem cell homeostasis that is highly expressed in hematopoietic stem cells and regulated by growth factor signals. It is a critical and specific regulator essential for ensuring the homeostasis of early hematopoietic progenitors. During mitotic arrest, MCL1 protein levels decline markedly, through a posttranslational mechanism, potentiating cell death. Phosphorylation of the protein directs its interaction with the tumor suppressor protein FBW7, which is the substrate-binding component of a ubiquitin ligase complex.

Application Notes

The stated application concentrations are suggested starting amounts. Titration of the MCL1 antibody may be required due to differences in protocols and secondary/substrate sensitivity.

Immunogen

Human partial recombinant protein (AA 1-350) was used as the immunogen for this MCL1 antibody.

Storage

After reconstitution, the MCL1 antibody can be stored for up to one month at 4oC. For long-term, aliquot and store at -20oC. Avoid repeated freezing and thawing.

Cross
Bulk Quote Request Form
Name*:
Organization*:
Email*:
Phone Number*:
Catalog No.*:
Comments and Specifics(amount, formulation, etc.)*:
Validation code: Captchapackage Image


Can't read the image? click here to refresh.
    *required field

Your bulk quote request has been submitted successfully!

Please contact us if you have any questions.