• Tel: 858.663.9055
  • SeparatorEmail: info@nsjbio.com
  • Tel: 858.663.9055
  • Email: info@nsjbio.com
Home >> Antibodies >> MCL1 Antibody

MCL1 Antibody (F43180)

  Catalog No Formulation Size Price (USD)  
Image F43180-0.4ML In 1X PBS, pH 7.4, with 0.09% sodium azide 0.4 ml 439
Image
F43180-0.08ML In 1X PBS, pH 7.4, with 0.09% sodium azide 0.08 ml 205
Bulk quote request
MCL1 antibody western blot analysis in Y79 lysate. Predicted molecular weight: 37/29 kDa (isoforms 1/2).
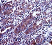
MCL1 antibody immunohistochemistry analysis in formalin fixed and paraffin embedded human stomach tissue.
Availability 1-3 business days
Species Reactivity Human
Predicted Reactivity Rat
Format Antigen affinity purified
Host Rabbit
Clonality Polyclonal (rabbit origin)
Isotype Rabbit Ig
Purity Antigen affinity
UniProt Q07820
Applications Western Blot : 1:1000
IHC (Paraffin) : 1:10-1:50
Limitations This MCL1 antibody is available for research use only.
Review this product on BioCompare and get a $20 Amazon gift card

Related Products

Description

This gene encodes an anti-apoptotic protein, which is a member of the Bcl-2 family. Alternative splicing results in multiple transcript variants. The longest gene product (isoform 1) enhances cell survival by inhibiting apoptosis while the alternatively spliced shorter gene products (isoform 2 and isoform 3) promote apoptosis and are death-inducing.

Application Notes

Titration of the MCL1 antibody may be required due to differences in protocols and secondary/substrate sensitivity.

Immunogen

A portion of amino acids 217-245 from the human protein was used as the immunogen for this MCL1 antibody.

Storage

Aliquot the MCL1 antibody and store frozen at -20oC or colder. Avoid repeated freeze-thaw cycles.

Cross
Bulk Quote Request Form
Name*:
Organization*:
Email*:
Phone Number*:
Catalog No.*:
Comments and Specifics(amount, formulation, etc.)*:
Validation code: Captchapackage Image


Can't read the image? click here to refresh.
    *required field

Your bulk quote request has been submitted successfully!

Please contact us if you have any questions.