• Tel: 858.663.9055
  • SeparatorEmail: info@nsjbio.com
  • Tel: 858.663.9055
  • Email: info@nsjbio.com
Home >> Antibodies >> MBD1 Antibody

MBD1 Antibody [clone CPTC-MBD1-1] (V7941)

  Catalog No Formulation Size Price (USD)  
Image V7941-100UG 0.2 mg/ml in 1X PBS with 0.1 mg/ml BSA (US sourced) and 0.05% sodium azide 100 ug 559
Image
V7941-20UG 0.2 mg/ml in 1X PBS with 0.1 mg/ml BSA (US sourced) and 0.05% sodium azide 20 ug 259
Image
V7941SAF-100UG 1 mg/ml in 1X PBS; BSA free, sodium azide free 100 ug 559
Bulk quote request
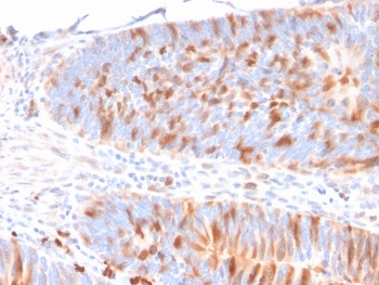
IHC staining of FFPE human colon with Myoglobin antibody (CPTC-MBD1-1). HIER: boil tissue sections in pH 9 10mM Tris with 1mM EDTA for 10-20 min and allow to cool before testing.
Availability 1-3 business days
Species Reactivity Human
Format Purified
Host Mouse
Clonality Monoclonal (mouse origin)
Isotype Mouse IgG1, kappa
Clone Name CPTC-MBD1-1
Purity Protein G affinity chromatography
UniProt Q9UIS9
Localization Nuclear
Applications Immunohistochemistry (FFPE) : 1-2ug/ml
Limitations This MBD1 antibody is available for research use only.
Review this product on BioCompare and get a $20 Amazon gift card

Related Products

  • Applications : WB, FACS
    Reactivity : Human, Mouse, Rat

Description

DNA methylation is the major modification of eukaryotic genomes and plays an essential role in mammalian development. Human proteins MECP2, MBD1, MBD2, MBD3, and MBD4 comprise a family of nuclear proteins related by the presence in each of a methyl-CpG binding domain (MBD). Each of these proteins, with the exception of MBD3, is capable of binding specifically to methylated DNA. MECP2, MBD1 and MBD2 can also repress transcription from methylated gene promoters. MBD1 has also been predicted to be involved in the development and progression of tumors, and it has been shown that MBD1 is significantly upregulated in pancreatic cancer tissues when compared with surrounding normal tissues. Furthermore, MBD1 may serve as a potential therapeutic target for pancreatic cancer.

Application Notes

Optimal dilution of the MBD1 antibody should be determined by the researcher.

Immunogen

Recombinant human protein was used as the immunogen for the MBD1 antibody.

Storage

Store the MBD1 antibody at 2-8oC (with azide) or aliquot and store at -20oC or colder (without azide).

Cross
Bulk Quote Request Form
Name*:
Organization*:
Email*:
Phone Number*:
Catalog No.*:
Comments and Specifics(amount, formulation, etc.)*:
Validation code: Captchapackage Image


Can't read the image? click here to refresh.
    *required field

Your bulk quote request has been submitted successfully!

Please contact us if you have any questions.