• Tel: 858.663.9055
  • SeparatorEmail: info@nsjbio.com
  • Tel: 858.663.9055
  • Email: info@nsjbio.com
Home >> Antibodies >> MAVS Antibody

MAVS Antibody (R32822)

  Catalog No Formulation Size Price (USD)  
Image R32822 0.5mg/ml if reconstituted with 0.2ml sterile DI water 100 ug 449
Bulk quote request
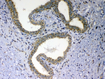
IHC testing of FFPE human liver cancer tissue with MAVS antibody at 1ug/ml. Required HIER: steam section in pH6 citrate buffer for 20 min and allow to cool prior to testing.
IHC testing of FFPE human intestinal cancer tissue with MAVS antibody at 1ug/ml. Required HIER: steam section in pH6 citrate buffer for 20 min and allow to cool prior to testing.
IHC testing of FFPE human lung cancer tissue with MAVS antibody at 1ug/ml. Required HIER: steam section in pH6 citrate buffer for 20 min and allow to cool prior to testing.
IHC testing of FFPE human breast cancer tissue with MAVS antibody at 1ug/ml. Required HIER: steam section in pH6 citrate buffer for 20 min and allow to cool prior to testing.
Western blot testing of human placenta tissue with MAVS antibody at 0.5ug/ml. Predicted molecular weight: 51-54 kDa (cleaved), 57 kDa (unmodified), 75 kDa (aggregated).
Flow cytometry testing of human A431 cells with MAVS antibody at 1ug/million cells (blocked with goat sera); Red=cells alone, Green=isotype control, Blue= MAVS antibody.
Availability 1-3 business days
Species Reactivity Human
Format Antigen affinity purified
Host Rabbit
Clonality Polyclonal (rabbit origin)
Isotype Rabbit IgG
Purity Antigen affinity
Buffer Lyophilized from 1X PBS with 2.5% BSA, 0.025% sodium azide
UniProt Q7Z434
Localization Cytoplasmic
Applications Western Blot : 0.5-1ug/ml
Immunohistochemistry (FFPE) : 1-2ug/ml
Flow Cytometry : 1-3ug/million cells
Limitations This MAVS antibody is available for research use only.
Review this product on BioCompare and get a $20 Amazon gift card

Related Products

  • Applications : WB, ELISA
    Reactivity : Human
  • Applications : WB, ELISA
    Reactivity : Mouse
  • Applications : WB, IF
    Reactivity : Human
  • Applications : WB, FACS, Direct ELISA
    Reactivity : Mouse, Rat

Description

Mitochondrial antiviral-signaling protein (MAVS) is a protein that in humans is encoded by the MAVS gene. The protein is also known by the names VISA (virus-induced signaling adapter), IPS-1 and Cardif. This gene encodes an intermediary protein necessary in the virus-triggered beta interferon signaling pathways. It is required for activation of transcription factors which regulate expression of beta interferon and contributes to antiviral immunity.

Application Notes

Optimal dilution of the MAVS antibody should be determined by the researcher.

Immunogen

A recombinant human protein corresponding to amino acids L34-Q96 was used as the immunogen for the MAVS antibody.

Storage

After reconstitution, the MAVS antibody can be stored for up to one month at 4oC. For long-term, aliquot and store at -20oC. Avoid repeated freezing and thawing.

Cross
Bulk Quote Request Form
Name*:
Organization*:
Email*:
Phone Number*:
Catalog No.*:
Comments and Specifics(amount, formulation, etc.)*:
Validation code: Captchapackage Image


Can't read the image? click here to refresh.
    *required field

Your bulk quote request has been submitted successfully!

Please contact us if you have any questions.