• Tel: 858.663.9055
  • SeparatorEmail: info@nsjbio.com
  • Tel: 858.663.9055
  • Email: info@nsjbio.com
Home >> Antibodies >> MATK Antibody / Megakaryocyte-associated tyrosine kinase

MATK Antibody / Megakaryocyte-associated tyrosine kinase (FY13368)

  Catalog No Formulation Size Price (USD)  
Image FY13368 Adding 0.2 ml of distilled water will yield a concentration of 500 ug/ml 100 ug 449
Bulk quote request
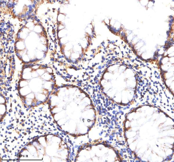
Immunohistochemical staining of MATK using anti-MATK antibody. MATK was detected in a paraffin-embedded section of human colon tissue. Heat mediated antigen retrieval was performed in EDTA buffer (pH 8.0, epitope retrieval solution). The tissue section was blocked with 10% goat serum. The tissue section was then incubated with 2 ug/ml rabbit anti-MATK antibody overnight at 4oC. Peroxidase Conjugated Goat Anti-rabbit IgG was used as secondary antibody and incubated for 30 minutes at 37oC. The tissue section was developed using an HRP secondary and DAB substrate.
Western blot analysis of MATK using anti-MATK antibody. Lane 1: human K562 whole cell lysates, Lane 2: human HEL whole cell lysates, Lane 3: human MCF-7 whole cell lysates, Lane 4: rat brain tissue lysates, Lane 5: mouse thymus tissue lysates, Lane 6: mouse brain tissue lysates. After electrophoresis, proteins were transferred to a nitrocellulose membrane at 150 mA for 50-90 minutes. Blocked the membrane with 5% non-fat milk/TBS for 1.5 hour at RT. The membrane was incubated with rabbit anti-MATK antibody at 0.25 ug/ml overnight at 4oC, then washed with TBS-0.1%Tween 3 times with 5 minutes each and probed with a goat anti-rabbit IgG-HRP secondary antibody at a dilution of 1:5000 for 1.5 hour at RT. The signal was developed using enhanced chemiluminescent. The expected molecular weight of MATK is ~56 kDa.
Immunohistochemical staining of MATK using anti-MATK antibody. MATK was detected in a paraffin-embedded section of human colon cancer tissue. Heat mediated antigen retrieval was performed in EDTA buffer (pH 8.0, epitope retrieval solution). The tissue section was blocked with 10% goat serum. The tissue section was then incubated with 2 ug/ml rabbit anti-MATK antibody overnight at 4oC. Peroxidase Conjugated Goat Anti-rabbit IgG was used as secondary antibody and incubated for 30 minutes at 37oC. The tissue section was developed using an HRP secondary and DAB substrate.
Immunohistochemical staining of MATK using anti-MATK antibody. MATK was detected in a paraffin-embedded section of human teratoma tissue. Heat mediated antigen retrieval was performed in EDTA buffer (pH 8.0, epitope retrieval solution). The tissue section was blocked with 10% goat serum. The tissue section was then incubated with 2 ug/ml rabbit anti-MATK antibody overnight at 4oC. Peroxidase Conjugated Goat Anti-rabbit IgG was used as secondary antibody and incubated for 30 minutes at 37oC. The tissue section was developed using an HRP secondary and DAB substrate.
Immunohistochemical staining of MATK using anti-MATK antibody. MATK was detected in a paraffin-embedded section of rat brain tissue. Heat mediated antigen retrieval was performed in EDTA buffer (pH 8.0, epitope retrieval solution). The tissue section was blocked with 10% goat serum. The tissue section was then incubated with 2 ug/ml rabbit anti-MATK antibody overnight at 4oC. Peroxidase Conjugated Goat Anti-rabbit IgG was used as secondary antibody and incubated for 30 minutes at 37oC. The tissue section was developed using an HRP secondary and DAB substrate.
Immunofluorescent staining of MATK using anti-MATK antibody (green). MATK was detected in an immunocytochemical section of cells. Enzyme antigen retrieval was performed using IHC enzyme antigen retrieval reagent for 15 mins. The cells were blocked with 10% goat serum. And then incubated with 5 ug/ml rabbit anti-MATK antibody overnight at 4oC. DyLight 488 Conjugated Goat Anti-Rabbit IgG was used as secondary antibody at 1:500 dilution and incubated for 30 minutes at 37oC. The section was counterstained with DAPI nuclear stain (blue). Visualize using a fluorescence microscope and filter sets appropriate for the label used.
Flow Cytometry analysis of Caco-2 cells using anti-MATK antibody. Overlay histogram showing Caco-2 cells stained with (Blue line). To facilitate intracellular staining, cells were fixed with 4% paraformaldehyde and permeabilized with permeabilization buffer. The cells were blocked with 10% normal goat serum. And then incubated with rabbit anti-MATK antibody (1 ug/million cells) for 30 min at 20oC. DyLight 488 conjugated goat anti-rabbit IgG (5-10 ug/million cells) was used as secondary antibody for 30 minutes at 20oC. Isotype control antibody (Green line) was rabbit IgG (1 ug/million cells) used under the same conditions. Unlabelled sample without incubation with primary antibody and secondary antibody (Red line) was used as a blank control.
Immunofluorescent staining of MATK using anti-MATK antibody (green). MATK was detected in a paraffin-embedded section of human colon cancer tissue. Heat mediated antigen retrieval was performed in EDTA buffer (pH 8.0, epitope retrieval solution). The tissue section was blocked with 10% goat serum. The tissue section was then incubated with 5 ug/ml rabbit anti-MATK antibody overnight at 4oC. DyLight 488 Conjugated Goat Anti-Rabbit IgG was used as secondary antibody at 1:500 dilution and incubated for 30 minutes at 37oC. The section was counterstained with DAPI nuclear stain (blue). Visualize using a fluorescence microscope and filter sets appropriate for the label used.
Availability 1-2 days
Species Reactivity Human, Mouse, Rat
Format Lyophilized
Host Rabbit
Clonality Polyclonal (rabbit origin)
Isotype Rabbit IgG
Purity Immunogen affinity purified
Buffer Each vial contains 4 mg Trehalose, 0.9 mg NaCl, 0.2 mg Na2HPO4.
UniProt P42679
Localization Cytoplasm, Membrane
Applications Western Blot : 0.25-0.5ug/ml
Immunohistochemistry : 2-5ug/ml
Immunocytochemistry : 5ug/ml
Immunofluorescence : 5ug/ml
Flow Cytometry : 1-3ug/million cells
ELISA : 0.1-0.5ug/ml
Limitations This MATK antibody is available for research use only.
Review this product on BioCompare and get a $20 Amazon gift card

Description

MATK antibody detects Megakaryocyte-associated tyrosine kinase, a cytoplasmic kinase encoded by the MATK gene located on chromosome 19q13.3. MATK belongs to the Csk (C-terminal Src kinase) family of non-receptor tyrosine kinases, acting primarily as a negative regulator of Src family kinases such as LYN, FYN, and HCK. It is expressed in hematopoietic cells, especially platelets, T cells, B cells, and megakaryocytes, where it modulates signaling cascades that control cell activation, proliferation, and differentiation. MATK serves as a key regulator of immune cell signaling and platelet function by maintaining balanced tyrosine phosphorylation levels.

Structurally, MATK contains an SH3 domain, an SH2 domain, and a C-terminal catalytic kinase domain, similar to Csk, but it lacks the N-terminal myristoylation signal that targets Csk to membranes. This structural difference restricts MATK mainly to the cytoplasm, where it regulates Src kinases indirectly through adaptor-mediated interactions. MATK belongs to the protein tyrosine kinase family and shares homology with other signaling regulators such as CSK and CHK. Known interacting partners include PAG1, LAT, and LYN, which facilitate recruitment to signaling complexes.

Functionally, MATK phosphorylates inhibitory tyrosine residues within Src family kinases, leading to their inactivation and termination of receptor signaling. In platelets, MATK regulates activation by suppressing FYN and LYN kinase signaling downstream of GPVI and integrins. In immune cells, it modulates T-cell receptor (TCR) and B-cell receptor (BCR) signaling, helping to prevent overactivation and maintain immune tolerance. MATK also participates in neuronal and endothelial cell signaling, contributing to cytoskeletal organization and vascular homeostasis.

MATK plays an important role in preventing hyperactivation of immune responses and maintaining hemostatic balance. Dysregulation of MATK expression or activity has been associated with autoimmune disorders, inflammatory diseases, and malignancies. Reduced MATK expression can result in excessive Src kinase activity, contributing to aberrant cell growth and survival. Conversely, overexpression has been observed in certain leukemias, where it suppresses proliferation signaling. Pathway involvement includes Src kinase signaling, platelet activation, and immune receptor regulation.

The MATK antibody from NSJ Bioreagents is an excellent reagent for studying tyrosine kinase signaling, immune regulation, and platelet biology.

Application Notes

Optimal dilution of the MATK antibody should be determined by the researcher.

Immunogen

E.coli-derived human MATK recombinant protein (Position: S18-Q298) was used as the immunogen for the MATK antibody.

Storage

After reconstitution, the MATK antibody can be stored for up to one month at 4oC. For long-term, aliquot and store at -20oC. Avoid repeated freezing and thawing.

Cross
Bulk Quote Request Form
Name*:
Organization*:
Email*:
Phone Number*:
Catalog No.*:
Comments and Specifics(amount, formulation, etc.)*:
Validation code: Captchapackage Image


Can't read the image? click here to refresh.
    *required field

Your bulk quote request has been submitted successfully!

Please contact us if you have any questions.