• Tel: 858.663.9055
  • SeparatorEmail: info@nsjbio.com
  • Tel: 858.663.9055
  • Email: info@nsjbio.com
Home >> Antibodies >> MASTL Antibody / Microtubule-associated serine/threonine-protein kinase-like

MASTL Antibody / Microtubule-associated serine/threonine-protein kinase-like (FY12096)

  Catalog No Formulation Size Price (USD)  
Image FY12096 Adding 0.2 ml of distilled water will yield a concentration of 500 ug/ml 100 ug 449
Bulk quote request
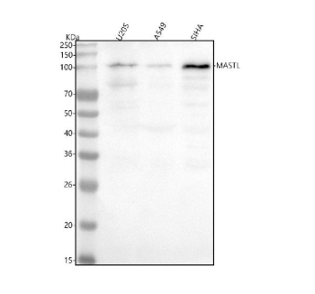
Western blot analysis of MASTL using anti-MASTL antibody. Lane 1: human U2OS whole cell lysates, Lane 2: human whole cell lysates, Lane 3: human SIHA whole cell lysates. After electrophoresis, proteins were transferred to a nitrocellulose membrane at 150 mA for 50-90 minutes. Blocked the membrane with 5% non-fat milk/TBS for 1.5 hour at RT. The membrane was incubated with rabbit anti-MASTL antibody at 0.5 ug/ml overnight at 4oC, then washed with TBS-0.1%Tween 3 times with 5 minutes each and probed with a goat anti-rabbit IgG-HRP secondary antibody at a dilution of 1:5000 for 1.5 hour at RT. The signal was developed using enhanced chemiluminescent. The expected band size for MASTL is at 96 kDa but it is commonly observed at 105-115 kDa due to phosphorylation.
Western blot analysis of MASTL using anti-MASTL antibody. Lane 1: human HepG2 whole cell lysates, Lane 2: human 293T whole cell lysates, Lane 3: human Hela whole cell lysates, Lane 4: human MCF-7 whole cell lysates, Lane 5: rat testis tissue lysates, Lane 6: rat C6 whole cell lysates, Lane 7: mouse testis tissue lysates, Lane 8: mouse NIH/3T3 whole cell lysates. After electrophoresis, proteins were transferred to a nitrocellulose membrane at 150 mA for 50-90 minutes. Blocked the membrane with 5% non-fat milk/TBS for 1.5 hour at RT. The membrane was incubated with rabbit anti-MASTL antibody at 0.5 ug/ml overnight at 4oC, then washed with TBS-0.1%Tween 3 times with 5 minutes each and probed with a goat anti-rabbit IgG-HRP secondary antibody at a dilution of 1:5000 for 1.5 hour at RT. The signal was developed using enhanced chemiluminescent. The expected band size for MASTL is at 96 kDa but it is commonly observed at 105-115 kDa due to phosphorylation.
Availability 1-2 days
Species Reactivity Human, Mouse, Rat
Format Lyophilized
Host Rabbit
Clonality Polyclonal (rabbit origin)
Isotype Rabbit IgG
Purity Immunogen affinity purified
Buffer Each vial contains 4 mg Trehalose, 0.9 mg NaCl, 0.2 mg Na2HPO4.
UniProt Q96GX5
Applications Western Blot : 0.25-0.5ug/ml
ELISA : 0.1-0.5ug/ml
Limitations This MASTL antibody is available for research use only.
Review this product on BioCompare and get a $20 Amazon gift card

Related Products

  • Applications : WB, IF, FACS, Direct ELISA
    Reactivity : Human

Description

MASTL antibody detects Microtubule-associated serine/threonine-protein kinase-like, encoded by the MASTL gene. Microtubule-associated serine/threonine-protein kinase-like, also known as Greatwall kinase, is a mitotic kinase that regulates cell cycle progression by controlling phosphatase activity. MASTL antibody provides researchers with a critical reagent for studying mitosis, cell division, and cancer biology.

Greatwall kinase functions by phosphorylating proteins such as ENSA and ARPP19, which in turn inhibit the phosphatase PP2A-B55. Research using MASTL antibody has shown that this inhibition is necessary to maintain phosphorylation of mitotic substrates during cell division. By suppressing premature dephosphorylation, MASTL ensures orderly progression through mitosis and faithful chromosome segregation.

Studies with MASTL antibody have revealed that depletion of MASTL results in defective chromosome condensation, premature mitotic exit, and genomic instability. These defects highlight the essential role of MASTL in controlling mitotic events. In mouse models, loss of MASTL leads to embryonic lethality, confirming its importance in development.

Dysregulation of Microtubule-associated serine/threonine-protein kinase-like has been associated with cancer. Research using MASTL antibody has shown that overexpression drives proliferation and correlates with poor prognosis in breast, lung, and colorectal cancers. Its role in sustaining mitotic kinase activity makes it a potential therapeutic target for anti-cancer therapies focused on disrupting mitotic progression.

Beyond cancer, MASTL influences responses to DNA damage. Research using MASTL antibody has demonstrated that the kinase helps coordinate checkpoint recovery and cell cycle re-entry after genotoxic stress. This connection links mitotic regulation to DNA repair pathways and broadens the scope of MASTL function.

MASTL antibody is widely applied in western blotting, immunohistochemistry, and kinase assays. Western blotting quantifies expression in proliferating cells, immunohistochemistry highlights localization in tumors, and kinase assays confirm activity on ENSA and ARPP19. These applications make MASTL antibody indispensable for cell cycle and oncology research.

By providing validated MASTL antibody reagents, NSJ Bioreagents supports studies into mitotic control, checkpoint signaling, and cancer. Detection of Microtubule-associated serine/threonine-protein kinase-like provides researchers with insight into how kinases regulate cell division and disease.

Application Notes

Optimal dilution of the MASTL antibody should be determined by the researcher.

Immunogen

E.coli-derived human MASTL recombinant protein (Position: E34-L872) was used as the immunogen for the MASTL antibody.

Storage

After reconstitution, the MASTL antibody can be stored for up to one month at 4oC. For long-term, aliquot and store at -20oC. Avoid repeated freezing and thawing.

Cross
Bulk Quote Request Form
Name*:
Organization*:
Email*:
Phone Number*:
Catalog No.*:
Comments and Specifics(amount, formulation, etc.)*:
Validation code: Captchapackage Image


Can't read the image? click here to refresh.
    *required field

Your bulk quote request has been submitted successfully!

Please contact us if you have any questions.