• Tel: 858.663.9055
  • SeparatorEmail: info@nsjbio.com
  • Tel: 858.663.9055
  • Email: info@nsjbio.com
Home >> Antibodies >> MASPIN Antibody / SERPINB5

MASPIN Antibody / SERPINB5 [clone 7G4E1] (RQ6922)

  Catalog No Formulation Size Price (USD)  
Image RQ6922 0.5mg/ml if reconstituted with 0.2ml sterile DI water 100 ug 449
Bulk quote request
IHC staining of FFPE human tonsil tissue with MASPIN antibody. HIER: boil tissue sections in pH8 EDTA for 20 min and allow to cool before testing.
IHC staining of FFPE human laryngeal squamous cell carcinoma tissue with MASPIN antibody. HIER: boil tissue sections in pH8 EDTA for 20 min and allow to cool before testing.
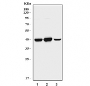
Western blot testing of human 1) HeLa, 2) HaCaT and 3) Caco-2 cell lysate with MASPIN antibody. Predicted molecular weight: 42~45 kDa.
Flow cytometry testing of human SiHa cells with MASPIN antibody at 1ug/million cells (blocked with goat sera); Red=cells alone, Green=isotype control, Blue= MASPIN antibody.
Availability 1-3 business days
Species Reactivity Human
Format Antigen affinity purified
Host Mouse
Clonality Monoclonal (mouse origin)
Isotype Mouse IgG2a
Clone Name 7G4E1
Purity Antigen affinity purified
Buffer Lyophilized from 1X PBS with 2% Trehalose
UniProt P36952
Applications Western Blot : 0.5-1 ug/ml
Immunohistochemistry (FFPE) : 2-5ug/ml
Flow Cytometry : 1-3ug/million cells
Limitations This MASPIN antibody is available for research use only.
Review this product on BioCompare and get a $20 Amazon gift card

Related Products

Description

SERPINB5 is also known as PI5 or maspin. Maspin (mammary serine protease inhibitor) is a protein that in humans is encoded by the SERPINB5 gene. Maspin is expressed in the skin, prostate, testis, intestine, tongue, lung, and the thymus. Maspin is a member of the serpin superfamily of serine protease inhibitors.[1] The primary function of most members of this family is to regulate the breakdown of proteins by inhibiting the catalytic activity of proteinases. Through this mechanism of action, serpins regulate a number of cellular processes includingphagocytosis, coagulation, and fibrinolysis.

Application Notes

Optimal dilution of the MASPIN antibody should be determined by the researcher.

Immunogen

Recombinant human MASPIN protein (amino acids M1-A350) was used as the immunogen for the MASPIN antibody.

Storage

After reconstitution, the MASPIN antibody can be stored for up to one month at 4oC. For long-term, aliquot and store at -20oC. Avoid repeated freezing and thawing.

Cross
Bulk Quote Request Form
Name*:
Organization*:
Email*:
Phone Number*:
Catalog No.*:
Comments and Specifics(amount, formulation, etc.)*:
Validation code: Captchapackage Image


Can't read the image? click here to refresh.
    *required field

Your bulk quote request has been submitted successfully!

Please contact us if you have any questions.