• Tel: 858.663.9055
  • SeparatorEmail: info@nsjbio.com
  • Tel: 858.663.9055
  • Email: info@nsjbio.com
Home >> Antibodies >> MARK3 Antibody / MAP/microtubule affinity-regulating kinase 3

MARK3 Antibody / MAP/microtubule affinity-regulating kinase 3 (RQ8320)

  Catalog No Formulation Size Price (USD)  
Image RQ8320 0.5mg/ml if reconstituted with 0.2ml sterile DI water 100 ug 449
Bulk quote request
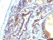
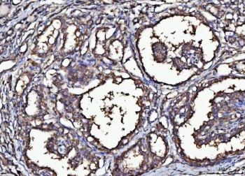
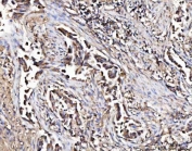
IHC staining of FFPE human thyroid cancer tissue with MARK3 antibody. HIER: boil tissue sections in pH8 EDTA for 20 min and allow to cool before testing.
IHC staining of FFPE human lung cancer tissue with MARK3 antibody. HIER: boil tissue sections in pH8 EDTA for 20 min and allow to cool before testing.
IHC staining of FFPE mouse brain tissue with MARK3 antibody. HIER: boil tissue sections in pH8 EDTA for 20 min and allow to cool before testing.
IHC staining of FFPE rat brain tissue with MARK3 antibody. HIER: boil tissue sections in pH8 EDTA for 20 min and allow to cool before testing.
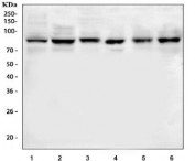
Western blot testing of 1) human HeLa, 2) human K562, 3) rat NRK, 4) mouse EL-4, 5) mouse 4T1 and 6) mouse J774A.1 cell lysate with MARK3 antibody. Predicted molecular weight: 74-85 kDa (multiple isoforms).
Flow cytometry testing of fixed and permeabilized human 293T cells with MARK3 antibody at 1ug/million cells (blocked with goat sera); Red=cells alone, Green=isotype control, Blue= MARK3 antibody.
Availability 1-3 business days
Species Reactivity Human, Mouse, Rat
Format Antigen affinity purified
Host Rabbit
Clonality Polyclonal (rabbit origin)
Isotype Rabbit IgG
Purity Antigen affinity purified
Buffer Lyophilized from 1X PBS with 2% Trehalose
UniProt P27448
Localization Cytoplasm, cell membrane
Applications Western Blot : 0.5-1ug/ml
Immunohistochemistry (FFPE) : 2-5ug/ml
Flow Cytometry : 1-3ug/million cells
Direct ELISA : 0.1-0.5ug/ml
Limitations This MARK3 antibody is available for research use only.
Review this product on BioCompare and get a $20 Amazon gift card

Related Products

Description

MAP/microtubule affinity-regulating kinase 3 is an enzyme that in humans is encoded by the MARK3 gene. The protein encoded by this gene is activated by phosphorylation and in turn is involved in the phosphorylation of tau proteins MAP2 and MAP4. Several transcript variants encoding different isoforms have been found for this gene.

Application Notes

Optimal dilution of the MARK3 antibody should be determined by the researcher.

Immunogen

An E.coli-derived human recombinant protein (H311-D648) was used as the immunogen for the MARK3 antibody.

Storage

After reconstitution, the MARK3 antibody can be stored for up to one month at 4oC. For long-term, aliquot and store at -20oC. Avoid repeated freezing and thawing.

Cross
Bulk Quote Request Form
Name*:
Organization*:
Email*:
Phone Number*:
Catalog No.*:
Comments and Specifics(amount, formulation, etc.)*:
Validation code: Captchapackage Image


Can't read the image? click here to refresh.
    *required field

Your bulk quote request has been submitted successfully!

Please contact us if you have any questions.