• Tel: 858.663.9055
  • SeparatorEmail: info@nsjbio.com
  • Tel: 858.663.9055
  • Email: info@nsjbio.com
Home >> Antibodies >> MARCKS Antibody / Myristoylated alanine-rich C-kinase substrate

MARCKS Antibody / Myristoylated alanine-rich C-kinase substrate (FY12479)

  Catalog No Formulation Size Price (USD)  
Image FY12479 Adding 0.2 ml of distilled water will yield a concentration of 500 ug/ml 100 ug 449
Bulk quote request
Immunohistochemical staining of MARCKS using anti-MARCKS antibody. MARCKS was detected in a paraffin-embedded section of mouse brain tissue. Heat mediated antigen retrieval was performed in EDTA buffer (pH 8.0, epitope retrieval solution). The tissue section was blocked with 10% goat serum. The tissue section was then incubated with 2 ug/ml rabbit anti-MARCKS antibody overnight at 4oC. Peroxidase Conjugated Goat Anti-rabbit IgG was used as secondary antibody and incubated for 30 minutes at 37oC. The tissue section was developed using an HRP secondary and DAB substrate.
Western blot analysis of MARCKS using anti-MARCKS antibody. Electrophoresis was performed on a 10% SDS-PAGE gel at 80V (Stacking gel) / 120V (Resolving gel) for 2 hours. Lane 1: human SH-SY5Y whole cell lysates, Lane 2: human U251 whole cell lysates. After electrophoresis, proteins were transferred to a nitrocellulose membrane at 150 mA for 50-90 minutes. Blocked the membrane with 5% non-fat milk/TBS for 1.5 hour at RT. The membrane was incubated with rabbit anti-MARCKS antibody at 0.5 ug/ml overnight at 4oC, then washed with TBS-0.1%Tween 3 times with 5 minutes each and probed with a goat anti-rabbit IgG-HRP secondary antibody at a dilution of 1:5000 for 1.5 hour at RT. The signal was developed using an ECL Plus Western Blotting Substrate. MARCKS (~32 kDa predicted) was detected as a strong band at ~80-90 kDa, consistent with its well-known anomalous SDS-PAGE migration and phosphorylation-dependent mobility shifts reported for MARCKS.
Immunohistochemical staining of MARCKS using anti-MARCKS antibody. MARCKS was detected in a paraffin-embedded section of rat brain tissue. Heat mediated antigen retrieval was performed in EDTA buffer (pH 8.0, epitope retrieval solution). The tissue section was blocked with 10% goat serum. The tissue section was then incubated with 2 ug/ml rabbit anti-MARCKS antibody overnight at 4oC. Peroxidase Conjugated Goat Anti-rabbit IgG was used as secondary antibody and incubated for 30 minutes at 37oC. The tissue section was developed using an HRP secondary and DAB substrate.
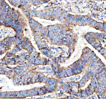
Immunohistochemical staining of MARCKS using anti-MARCKS antibody. MARCKS was detected in a paraffin-embedded section of human stomach cancer tissue. Heat mediated antigen retrieval was performed in EDTA buffer (pH 8.0, epitope retrieval solution). The tissue section was blocked with 10% goat serum. The tissue section was then incubated with 2 ug/ml rabbit anti-MARCKS antibody overnight at 4oC. Peroxidase Conjugated Goat Anti-rabbit IgG was used as secondary antibody and incubated for 30 minutes at 37oC. The tissue section was developed using an HRP secondary and DAB substrate.
Flow Cytometry analysis of 293T cells using anti-MARCKS antibody. Overlay histogram showing 293T cells stained with (Blue line). To facilitate intracellular staining, cells were fixed with 4% paraformaldehyde and permeabilized with permeabilization buffer. The cells were blocked with 10% normal goat serum. And then incubated with rabbit anti-MARCKS antibody (1 ug/million cells) for 30 min at 20oC. DyLight 488 conjugated goat anti-rabbit IgG (5-10 ug/million cells) was used as secondary antibody for 30 minutes at 20oC. Isotype control antibody (Green line) was rabbit IgG (1 ug/million cells) used under the same conditions. Unlabelled sample without incubation with primary antibody and secondary antibody (Red line) was used as a blank control.
Availability 1-2 days
Species Reactivity Human, Mouse, Rat
Format Lyophilized
Host Rabbit
Clonality Polyclonal (rabbit origin)
Isotype Rabbit IgG
Purity Immunogen affinity purified
Buffer Each vial contains 4 mg Trehalose, 0.9 mg NaCl, 0.2 mg Na2HPO4.
UniProt P29966
Localization Cytoplasm, cell membrane
Applications Western Blot : 0.25-0.5ug/ml
Immunohistochemistry : 2-5ug/ml
Flow Cytometry : 1-3ug/million cells
Limitations This MARCKS antibody is available for research use only.
Review this product on BioCompare and get a $20 Amazon gift card

Related Products

  • Applications : WB, ELISA
    Reactivity : Human

Description

MARCKS antibody detects Myristoylated alanine-rich C-kinase substrate, a key substrate of protein kinase C and an essential regulator of the actin cytoskeleton, cell motility, and signal transduction. MARCKS is a prominent peripheral membrane protein that cycles between membrane-bound and cytosolic states depending on phosphorylation and binding to calcium-calmodulin. The MARCKS antibody is used extensively in studies of cellular signaling, cytoskeletal rearrangement, and neuronal plasticity, providing insight into mechanisms that link phosphorylation signaling to membrane-cytoskeleton interactions.

MARCKS is encoded by the MARCKS gene located on human chromosome 6q22.2. The protein is approximately 32 kilodaltons in size and is characterized by a highly basic effector domain that mediates binding to actin filaments, calmodulin, and acidic phospholipids such as phosphatidylinositol 4,5-bisphosphate (PIP2). N-terminal myristoylation allows MARCKS to anchor reversibly to the plasma membrane. Activation of protein kinase C induces phosphorylation of specific serine residues within the effector domain, causing detachment from the membrane and release of bound PIP2, thus modulating downstream calcium signaling and actin polymerization.

Using the MARCKS antibody, researchers can detect phosphorylated and non-phosphorylated forms of the protein by western blot and immunofluorescence. Western blot typically reveals a single band around 32-35 kilodaltons, while phospho-specific variants of MARCKS migrate slower due to phosphorylation-induced charge differences. Immunostaining shows cortical and membrane localization in unphosphorylated states, transitioning to a diffuse cytoplasmic distribution following stimulation with phorbol esters or calcium ionophores. MARCKS plays critical roles in cell migration, exocytosis, phagocytosis, and neuronal growth cone extension, making it a widely studied effector of signal-dependent cytoskeletal remodeling.

In the nervous system, MARCKS regulates dendritic spine morphology, synaptic vesicle trafficking, and axonal guidance. It is enriched in developing neurons and contributes to long-term potentiation and synaptic plasticity. In non-neuronal tissues, MARCKS is implicated in wound healing, immune cell chemotaxis, and cancer metastasis. Overexpression and dysregulation have been observed in glioblastoma, breast cancer, and inflammatory diseases, highlighting its function as a signaling nexus controlling cell motility and proliferation. NSJ Bioreagents provides a validated MARCKS antibody optimized for western blot, immunofluorescence, and immunohistochemistry, supporting detailed analysis of actin dynamics, phosphorylation signaling, and membrane-cytoskeletal coordination.

Application Notes

Optimal dilution of the MARCKS antibody should be determined by the researcher.

Immunogen

A synthetic peptide corresponding to a sequence at the C-terminus of human MARCKS was used as the immunogen for the MARCKS antibody.

Storage

After reconstitution, the MARCKS antibody can be stored for up to one month at 4oC. For long-term, aliquot and store at -20oC. Avoid repeated freezing and thawing.

Cross
Bulk Quote Request Form
Name*:
Organization*:
Email*:
Phone Number*:
Catalog No.*:
Comments and Specifics(amount, formulation, etc.)*:
Validation code: Captchapackage Image


Can't read the image? click here to refresh.
    *required field

Your bulk quote request has been submitted successfully!

Please contact us if you have any questions.