• Tel: 858.663.9055
  • SeparatorEmail: info@nsjbio.com
  • Tel: 858.663.9055
  • Email: info@nsjbio.com
Home >> Antibodies >> MAPKAPK3 Antibody / Mitogen activated protein kinase activated protein kinase 3

MAPKAPK3 Antibody / Mitogen activated protein kinase activated protein kinase 3 [clone 30M15] (FY12924)

  Catalog No Formulation Size Price (USD)  
Image FY12924 Rabbit IgG in phosphate buffered saline, pH 7.4, 150mM NaCl, 0.02% sodium azide and 50% glycerol, 0.4-0.5mg/ml BSA 100 ul 449
Microvalidated Recrabbitmono
Bulk quote request
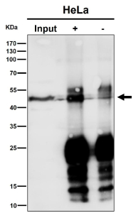
Immunoprecipitation analysis using the MAPKAPK3 antibody at 1:50 dilution. Western blot at 1:500 dilution. Predicted molecular weight ~43 kDa.
Western blot analysis of expression in human Jurkat cell lysate using MAPKAPK3 antibody. Predicted molecular weight ~43 kDa.
Availability 2-3 weeks
Species Reactivity Human
Format Liquid
Host Rabbit
Clonality Recombinant Rabbit Monoclonal
Isotype Rabbit IgG
Clone Name 30M15
Purity Affinity-chromatography
Buffer Rabbit IgG in phosphate buffered saline, pH 7.4, 150mM NaCl, 0.02% sodium azide and 50% glycerol, 0.4-0.5mg/ml BSA.
UniProt Q16644
Applications Western Blot : 1:500-1:2000
Immunoprecipitation : 1:50
Limitations This MAPKAPK3 antibody is available for research use only.
Review this product on BioCompare and get a $20 Amazon gift card

Description

MAPKAPK3 antibody recognizes Mitogen activated protein kinase activated protein kinase 3, encoded by the MAPKAPK3 gene. This protein is a serine threonine kinase activated downstream of p38 MAP kinase and is part of a signaling cascade that regulates stress responses, transcription, and cytoskeletal organization. MAPKAPK3 antibody provides researchers with a powerful tool to study how external stimuli such as cytokines, heat shock, or ultraviolet radiation trigger intracellular signaling events that lead to adaptive changes in cell physiology. By detecting MAPKAPK3, scientists can better understand how stress activated kinases contribute to survival, inflammation, and differentiation.

Mitogen activated protein kinase activated protein kinase 3 phosphorylates a variety of substrates, including transcription factors, RNA binding proteins, and regulators of actin dynamics. This allows MAPKAPK3 to integrate stress signals with gene expression programs and structural remodeling. Studies with MAPKAPK3 antibody have shown that it participates in the regulation of CREB and ATF1 transcription factors, influencing expression of stress inducible genes. It also phosphorylates the small heat shock protein HSP27, altering cytoskeletal dynamics and cell motility. These diverse downstream targets highlight the broad influence of MAPKAPK3 in cellular adaptation.

Dysregulation of MAPKAPK3 signaling has been implicated in inflammation, cancer, and neurological disorders. Overactivation of p38 MAPK and its downstream kinases contributes to chronic inflammatory states and has been studied in conditions such as rheumatoid arthritis and inflammatory bowel disease. Research with MAPKAPK3 antibody has revealed that altered MAPKAPK3 activity can promote tumorigenesis by enhancing survival pathways and stress resistance in cancer cells. In the nervous system, MAPKAPK3 has been implicated in synaptic plasticity and memory, suggesting that disruption of its activity may contribute to cognitive impairment and neurodegeneration.

MAPKAPK3 antibody is widely applied in western blotting, immunohistochemistry, and kinase assays. Western blotting detects activation and phosphorylation states, while immunohistochemistry reveals tissue specific expression patterns. Kinase assays using immunoprecipitated MAPKAPK3 protein help identify novel substrates and confirm functional activity. These approaches allow comprehensive characterization of MAPKAPK3 signaling in both health and disease.

By providing validated MAPKAPK3 antibody reagents, NSJ Bioreagents supports research into stress activated kinase pathways, offering tools to dissect how extracellular cues are transduced into cellular outcomes. Understanding the role of Mitogen activated protein kinase activated protein kinase 3 will continue to provide insights into therapeutic approaches for inflammatory disease, cancer, and neurological disorders.

Application Notes

Optimal dilution of the MAPKAPK3 antibody should be determined by the researcher.

Immunogen

A synthesized peptide derived from human MK3 was used as the immunogen for the MAPKAPK3 antibody.

Storage

Store the MAPKAPK3 antibody at -20oC.

Cross
Bulk Quote Request Form
Name*:
Organization*:
Email*:
Phone Number*:
Catalog No.*:
Comments and Specifics(amount, formulation, etc.)*:
Validation code: Captchapackage Image


Can't read the image? click here to refresh.
    *required field

Your bulk quote request has been submitted successfully!

Please contact us if you have any questions.