• Tel: 858.663.9055
  • SeparatorEmail: info@nsjbio.com
  • Tel: 858.663.9055
  • Email: info@nsjbio.com
Home >> Antibodies >> MAPKAPK2 Antibody / p38 MAPK Stress Signaling Marker

MAPKAPK2 Antibody / p38 MAPK Stress Signaling Marker (R36061)

  Catalog No Formulation Size Price (USD)  
Image R36061-100UG 0.5 mg/ml in 1X TBS, pH7.3, with 0.5% BSA (US sourced) and 0.02% sodium azide 100 ug 475
Bulk quote request
MAPKAPK2 Antibody Knockout Rescue WB. Western blot analysis of mouse embryonic fibroblast lysates using goat polyclonal MAPKAPK2 antibody (Cat. # R36061). Lysates from double knockout cells are shown in lanes 1 and 3, while lane 2 contains knockout cells rescued by reintroduction of the MK2 / MAPKAPK2 gene. A distinct band is restored at approximately 45 kDa in rescued cells, consistent with the predicted molecular weight of MAP kinase-activated protein kinase 2, a downstream kinase within the p38 stress-response signaling pathway.
MAPKAPK2 Antibody Overexpression Specificity WB. Western blot analysis of HEK293 cell lysates overexpressing mouse MK2-GFP or MK5-GFP using goat polyclonal MAPKAPK2 antibodies Cat. # R36061 (left) and Cat. # R35113 (right). Both antibodies detect a prominent band at approximately 72 kDa in MK2-GFP-expressing lysates, consistent with the predicted molecular weight of MAP kinase-activated protein kinase 2 fused to GFP. Minimal cross-reactivity with the related MK5-GFP kinase construct supports selective recognition of MAPKAPK2 / MK2.
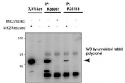
MAPKAPK2 Antibody Immunoprecipitation. Immunoprecipitation analysis using goat polyclonal MAPKAPK2 antibodies Cat. # R36061 and Cat. # R35113 (1.5 ug each) was performed on lysates from MK2/MK3 double knockout mouse embryonic fibroblasts with and without rescued MK2 expression following retroviral transduction. Immunoblot detection with an unrelated rabbit polyclonal antibody identifies a band at approximately 45 kDa selectively in rescued samples, consistent with the predicted molecular weight of MAP kinase-activated protein kinase 2 / MK2 and supporting specific immunoprecipitation of endogenous MAPKAPK2.
Availability 1-3 business days
Species Reactivity Human, Mouse
Predicted Reactivity Cow, Dog, Rat
Format Antigen affinity purified
Host Goat
Clonality Polyclonal (goat origin)
Isotype Goat Ig
Purity Antigen affinity
Gene ID 9261
Applications Western Blot : 0.5-1.5ug/ml
Immunoprecipitation : 1.5ug
ELISA (peptide) LOD : 1:128000
Limitations This MAPKAPK2 Antibody / p38 MAPK Stress Signaling Marker is available for research use only.
Review this product on BioCompare and get a $20 Amazon gift card

Related Products

  • Applications : WB (transfected), ELISA (peptide), IP
    Reactivity : Human, Mouse, Rat

Description

MAP kinase-activated protein kinase 2 (MAPKAPK2) is a serine/threonine protein kinase encoded by the MAPKAPK2 gene and functions as a major downstream effector of the p38 MAPK signaling pathway. MAPKAPK2 Antibody / p38 MAPK Stress Signaling Marker is useful for studying inflammatory signaling, cytokine responses, cellular stress pathways, and kinase-mediated regulation of gene expression. MAPKAPK2, commonly referred to as MK2, plays an important role in cellular adaptation to environmental stress, immune activation, and inflammatory mediator production.

MAPKAPK2 antibody, also referred to as MK2 antibody or MAP kinase-activated protein kinase 2 antibody in the literature, recognizes a kinase that becomes activated following phosphorylation by p38 MAPK in response to stress stimuli including UV irradiation, oxidative stress, inflammatory cytokines, and endotoxin exposure. Activated MAPKAPK2 phosphorylates multiple downstream substrates involved in mRNA stabilization, cytoskeletal regulation, apoptosis, and inflammatory signaling. Among its best-characterized targets is HSP27, a stress-responsive chaperone protein involved in cytoskeletal remodeling and cellular stress protection.

MAPKAPK2 is primarily localized within the cytoplasm under resting conditions but may shuttle between the nucleus and cytoplasm following activation. The kinase contributes to regulation of TNF-alpha, IL6, and other pro-inflammatory cytokines through effects on mRNA-binding proteins and transcript stability pathways. Because of its central role in inflammatory signaling cascades, MAPKAPK2 has been widely investigated in autoimmune disease, rheumatoid arthritis, neuroinflammation, metabolic stress, and cancer biology.

MAPKAPK2 participates in multiple signaling networks associated with stress adaptation, innate immunity, and cellular survival. The kinase has additionally been implicated in tumor progression, chemotherapy resistance, and regulation of apoptosis under stress conditions. MAPKAPK2 signaling contributes to modulation of actin dynamics, cell migration, and stress granule formation through phosphorylation of downstream effector proteins. Dysregulation of p38-MK2 signaling has therefore become an important area of investigation in inflammatory disorders and targeted kinase therapy development.

MAPKAPK2 is encoded on human chromosome 1q32 and produces a kinase containing conserved catalytic and regulatory domains characteristic of stress-activated serine/threonine kinases. The protein functions closely with p38 alpha MAPK and related signaling intermediates involved in environmental stress sensing and inflammatory pathway activation. In immunoblot and immunofluorescence studies, MAPKAPK2 expression is commonly observed in a broad range of cell types responsive to cytokine and stress signaling.

This goat polyclonal MAPKAPK2 antibody has been supported using multiple knockout-validated western blot approaches to confirm selective target detection in research applications. Knockout validation demonstrates marked reduction or loss of the expected MAPKAPK2 signal in gene-edited cells, supporting specificity for endogenous MK2 detection. These validation data support use of the antibody in studies of stress kinase signaling, inflammatory responses, and p38 MAPK pathway biology.

Explore our Knockdown Validated Antibodies page for additional antibodies supported by gene silencing or knockout validation strategies to help confirm target-specific signal detection in western blot, immunofluorescence, and related research applications.

Application Notes

Optimal dilution of the MAPKAPK2 Antibody / p38 MAPK Stress Signaling Marker should be determined by the researcher.

Immunogen

Amino acids SRVLKEDKERWED were used as the immunogen for this MAPKAPK2 antibody.

Storage

Aliquot and store the MAPKAPK2 antibody at -20oC.

Alternate Names

MK2 antibody, MAPK-activated protein kinase 2 antibody, MAP kinase-activated protein kinase 2 antibody, MAPKAPK2 stress kinase antibody, MK2 inflammatory signaling antibody

Cross
Bulk Quote Request Form
Name*:
Organization*:
Email*:
Phone Number*:
Catalog No.*:
Comments and Specifics(amount, formulation, etc.)*:
Validation code: Captchapackage Image


Can't read the image? click here to refresh.
    *required field

Your bulk quote request has been submitted successfully!

Please contact us if you have any questions.