• Tel: 858.663.9055
  • SeparatorEmail: info@nsjbio.com
  • Tel: 858.663.9055
  • Email: info@nsjbio.com
Home >> Antibodies >> MAPKAPK2 Antibody / Knockout and Rescue Validated Kinase

MAPKAPK2 Antibody / Knockout and Rescue Validated Kinase (R35113)

  Catalog No Formulation Size Price (USD)  
Image R35113-100UG 0.5 mg/ml in 1X TBS, pH7.3, with 0.5% BSA (US sourced) and 0.02% sodium azide 100 ug 475
Bulk quote request
MAPKAPK2 Antibody GFP Fusion WB. Western blot comparison of HEK293 cell lysates expressing mouse MK2 / MAPKAPK2-GFP or the related MK5-GFP construct using goat polyclonal MAPKAPK2 antibodies Cat. # R36061 (left panel) and Cat. # R35113 (right panel). Both antibodies recognize a strong band near 72 kDa in MK2-GFP-transfected cells, matching the expected molecular weight of the MAPKAPK2-GFP fusion protein. Limited signal in MK5-GFP-expressing lysates demonstrates preferential detection of MK2 over the related MAPKAPK family member MK5.
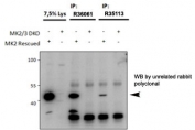
MAPKAPK2 Antibody Immunoprecipitation WB. Immunoprecipitation analysis was performed using goat polyclonal MAPKAPK2 antibodies Cat. # R36061 and Cat. # R35113 (1.5 ug each) on lysates from MK2/MK3 double knockout mouse embryonic fibroblasts with and without rescued MK2 expression following retroviral transduction. Corresponding input lysates are shown in the first and second lanes and were analyzed in parallel by western blot using an unrelated MK2 antibody. A band is detected at approximately 45 kDa in rescued samples, consistent with the predicted molecular weight of MAP kinase-activated protein kinase 2 / MK2 and supporting selective immunoprecipitation of endogenous MAPKAPK2.
Availability 1-3 business days
Species Reactivity Human, Mouse, Rat
Format Antigen affinity purified
Host Goat
Clonality Polyclonal (goat origin)
Isotype Goat Ig
Purity Antigen affinity
Gene ID 9261
Applications Western Blot : 0.5-2ug/ml
Immunoprecipitation : 1.5ug
ELISA (peptide) LOD : 1:32000
Limitations This MAPKAPK2 Antibody / Knockout and Rescue Validated Kinase is available for research use only.
Review this product on BioCompare and get a $20 Amazon gift card

Related Products

  • Applications : WB, IP, ELISA (peptide)
    Reactivity : Human, Mouse
    Pred. Reactivity : Cow, Dog, Rat

Description

MAP kinase-activated protein kinase 2 (MAPKAPK2) is a stress-responsive serine/threonine kinase encoded by the MAPKAPK2 gene and best known as a major downstream effector of p38 MAPK signaling. MAPKAPK2 Antibody / Knockout and Rescue Validated Kinase is designed for studies of cytokine signaling, inflammatory pathway activation, cellular stress responses, and kinase-mediated regulation of apoptosis and mRNA stability. MAPKAPK2, frequently referred to as MK2, functions as a central signaling intermediate linking extracellular stress signals to downstream inflammatory and survival pathways.

MAPKAPK2 antibody, also known as MK2 antibody or MAP kinase-activated protein kinase 2 antibody in published studies, recognizes a kinase activated by environmental stressors including oxidative stress, heat shock, inflammatory cytokines, DNA damage, and endotoxin exposure. Following activation by p38 MAPK, MAPKAPK2 phosphorylates downstream substrates involved in stress adaptation and inflammatory mediator production. The kinase contributes to regulation of HSP27 phosphorylation, cytokine transcript stabilization, and cellular responses to inflammatory signaling.

MAPKAPK2 is predominantly cytoplasmic but may redistribute during stress signaling events and participate in signaling complexes regulating translation, apoptosis, and immune activation. The protein has been implicated in TNF-alpha production, innate immune signaling, and chronic inflammatory disease mechanisms. MAPKAPK2 activity additionally contributes to regulation of cytoskeletal dynamics and cellular migration responses associated with tissue injury and inflammatory activation.

Aberrant activation of the p38-MK2 signaling axis has been associated with cancer progression, inflammatory disease, metabolic dysfunction, and stress-induced cellular injury. MAPKAPK2 therefore represents an important target in studies investigating inflammatory signaling networks and kinase-targeted therapeutic strategies. The kinase is broadly expressed across many tissue types and responds dynamically to stress-dependent signaling stimuli.

MAPKAPK2 is encoded on chromosome 1q32 and produces a catalytically active serine/threonine kinase containing conserved ATP-binding and regulatory domains characteristic of MAP kinase pathway effectors. The protein functions closely with p38 MAPK family members and participates in signaling networks controlling inflammatory adaptation and stress-responsive gene expression.

This goat polyclonal MAPKAPK2 antibody has been supported using knockout, rescue, immunoprecipitation, and overexpression validation approaches to confirm selective detection of endogenous MK2. Knockout western blot analysis demonstrates marked reduction of the expected MAPKAPK2 signal in gene-edited cells, while rescue experiments restore the expected band following reintroduction of MK2 expression. Additional overexpression and immunoprecipitation studies support selective recognition of MAP kinase-activated protein kinase 2 relative to related stress kinase family members.

For broader coverage of MK2 biology and p38-mediated inflammatory signaling pathways, explore the MAPKAPK2 Antibody / p38 MAPK Stress Signaling Marker page featuring expanded validation data for endogenous MAPKAPK2 detection and stress-response pathway analysis.

Application Notes

Optimal dilution of the MAPKAPK2 Antibody / Knockout and Rescue Validated Kinase should be determined by the researcher.

Immunogen

Amino acids PQFHVKSGLQIK were used as the immunogen for this MAPKAPK2 antibody.

Storage

Aliquot and store the MAPKAPK2 antibody at -20oC.

Alternate Names

MK2 knockout validated antibody, MAPKAPK2 KO validated antibody, MAP kinase-activated protein kinase 2 antibody, MK2 stress kinase antibody, MAPKAPK2 cytokine signaling antibody

Cross
Bulk Quote Request Form
Name*:
Organization*:
Email*:
Phone Number*:
Catalog No.*:
Comments and Specifics(amount, formulation, etc.)*:
Validation code: Captchapackage Image


Can't read the image? click here to refresh.
    *required field

Your bulk quote request has been submitted successfully!

Please contact us if you have any questions.