• Tel: 858.663.9055
  • SeparatorEmail: info@nsjbio.com
  • Tel: 858.663.9055
  • Email: info@nsjbio.com
Home >> Antibodies >> MAPE Antibody / PRAME

MAPE Antibody / PRAME (F55105)

  Catalog No Formulation Size Price (USD)  
Image F55105-0.4ML In 1X PBS, pH 7.4, with 0.09% sodium azide 0.4 ml 439
Image
F55105-0.08ML In 1X PBS, pH 7.4, with 0.09% sodium azide 0.08 ml 205
Bulk quote request
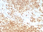
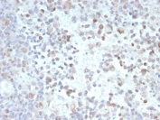
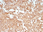
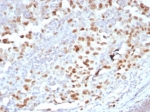
MAPE Antibody Testis Immunohistochemistry. IHC staining of FFPE human testis tissue with MAPE antibody. HIER: steam section in pH6 citrate buffer for 20 min and allow to cool prior to staining.
MAPE Antibody WB. Western blot testing of human 1) HeLa, 2) K562, 3) HEK293, 4) testis, 5) brain and 6) kidney tissue lysate with MAPE antibody. Predicted molecular weight ~58 kDa.
MAPE Antibody FACS. Flow cytometry testing of fixed and permeabilized human HeLa cells with MAPE antibody; Blue=isotype control, Green= MAPE antibody.
Availability 1-3 business days
Species Reactivity Human
Format Purified
Host Rabbit
Clonality Polyclonal (rabbit origin)
Isotype Rabbit Ig
Purity Antigen affinity
UniProt P78395
Localization Cytoplasm, Nucleus, Cell Membrane
Applications Western Blot : 1:1000-1:2000
Immunohistochemistry (FFPE) : 1:50-1:100
Flow Cytometry : 1:25 per million cells in 0.1ml
Limitations This MAPE antibody is available for research use only.
Review this product on BioCompare and get a $20 Amazon gift card

Related Products

Description

MAPE Antibody specifically detects Melanoma antigen preferentially expressed in tumors, also called PRAME (Preferentially expressed antigen of melanoma), a protein that is preferentially expressed in tumors, particularly in melanoma. It plays a vital role in regulating cell proliferation, migration, and invasion, making it a promising target for therapeutic interventions. Studies have shown that the overexpression of MAPE protein is associated with aggressive melanoma subtypes, indicating its potential as a prognostic biomarker in melanoma patients.

Researchers studying melanoma-associated antigens, cancer-testis antigen biology, and tumor-associated immune signaling pathways may also be interested in our PRAME Antibody / Tumor Immunology Marker page featuring validated immunohistochemistry and western blot applications for PRAME-associated cancer research.

Application Notes

The stated application concentrations are suggested starting points. Titration of the MAPE antibody may be required due to differences in protocols and secondary/substrate sensitivity.

Immunogen

A portion of amino acids 476-502 from the human protein was used as the immunogen for the MAPE antibody.

Storage

Aliquot the MAPE antibody and store frozen at -20oC or colder. Avoid repeated freeze-thaw cycles.

Cross
Bulk Quote Request Form
Name*:
Organization*:
Email*:
Phone Number*:
Catalog No.*:
Comments and Specifics(amount, formulation, etc.)*:
Validation code: Captchapackage Image


Can't read the image? click here to refresh.
    *required field

Your bulk quote request has been submitted successfully!

Please contact us if you have any questions.