• Tel: 858.663.9055
  • SeparatorEmail: info@nsjbio.com
  • Tel: 858.663.9055
  • Email: info@nsjbio.com
Home >> Antibodies >> MAP4K3 Antibody / MEKKK3 / Mitogen-activated protein kinase kinase kinase kinase 3

MAP4K3 Antibody / MEKKK3 / Mitogen-activated protein kinase kinase kinase kinase 3 (FY12268)

  Catalog No Formulation Size Price (USD)  
Image FY12268 Adding 0.2 ml of distilled water will yield a concentration of 500 ug/ml 100 ug 449
Bulk quote request
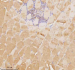
Immunohistochemical staining of MAP4K3 using anti-MAP4K3 antibody. MAP4K3 was detected in a paraffin-embedded section of human skeletal muscle tissue. Heat mediated antigen retrieval was performed in EDTA buffer (pH 8.0, epitope retrieval solution). The tissue section was blocked with 10% goat serum. The tissue section was then incubated with 2 ug/ml rabbit anti-MAP4K3 antibody overnight at 4oC. Peroxidase Conjugated Goat Anti-rabbit IgG was used as secondary antibody and incubated for 30 minutes at 37oC. The tissue section was developed using an HRP secondary and DAB substrate.
Western blot analysis of MAP4K3 using anti-MAP4K3 antibody. Lane 1: human Hela whole cell lysates, Lane 2: human HepG2 whole cell lysates, Lane 3: human U-87MG whole cell lysates, Lane 4: human 293T whole cell lysates, Lane 5: rat brain tissue lysates, Lane 6: mouse brain tissue lysates. After electrophoresis, proteins were transferred to a nitrocellulose membrane at 150 mA for 50-90 minutes. Blocked the membrane with 5% non-fat milk/TBS for 1.5 hour at RT. The membrane was incubated with rabbit anti-MAP4K3 antibody at 0.5 ug/ml overnight at 4oC, then washed with TBS-0.1%Tween 3 times with 5 minutes each and probed with a goat anti-rabbit IgG-HRP secondary antibody at a dilution of 1:5000 for 1.5 hour at RT. The signal was developed using enhanced chemiluminescent. A specific band was detected for MAP4K3 at approximately 100 kDa. The expected band size for MAP4K3 is at 101 kDa.
Immunohistochemical staining of MAP4K3 using anti-MAP4K3 antibody. MAP4K3 was detected in a paraffin-embedded section of human skeletal muscle tissue. Heat mediated antigen retrieval was performed in EDTA buffer (pH 8.0, epitope retrieval solution). The tissue section was blocked with 10% goat serum. The tissue section was then incubated with 2 ug/ml rabbit anti-MAP4K3 antibody overnight at 4oC. Peroxidase Conjugated Goat Anti-rabbit IgG was used as secondary antibody and incubated for 30 minutes at 37oC. The tissue section was developed using an HRP secondary and DAB substrate.
Immunohistochemical staining of MAP4K3 using anti-MAP4K3 antibody. MAP4K3 was detected in a paraffin-embedded section of human skeletal muscle tissue. Heat mediated antigen retrieval was performed in EDTA buffer (pH 8.0, epitope retrieval solution). The tissue section was blocked with 10% goat serum. The tissue section was then incubated with 2 ug/ml rabbit anti-MAP4K3 antibody overnight at 4oC. Peroxidase Conjugated Goat Anti-rabbit IgG was used as secondary antibody and incubated for 30 minutes at 37oC. The tissue section was developed using an HRP secondary and DAB substrate.
Immunohistochemical staining of MAP4K3 using anti-MAP4K3 antibody. MAP4K3 was detected in a paraffin-embedded section of human skeletal muscle tissue. Heat mediated antigen retrieval was performed in EDTA buffer (pH 8.0, epitope retrieval solution). The tissue section was blocked with 10% goat serum. The tissue section was then incubated with 2 ug/ml rabbit anti-MAP4K3 antibody overnight at 4oC. Peroxidase Conjugated Goat Anti-rabbit IgG was used as secondary antibody and incubated for 30 minutes at 37oC. The tissue section was developed using an HRP secondary and DAB substrate.
Flow Cytometry analysis of 293T cells using anti-MAP4K3 antibody. Overlay histogram showing 293T cells stained with (Blue line). To facilitate intracellular staining, cells were fixed with 4% paraformaldehyde and permeabilized with permeabilization buffer. The cells were blocked with 10% normal goat serum. And then incubated with rabbit anti-MAP4K3 antibody (1 ug/million cells) for 30 min at 20oC. DyLight 488 conjugated goat anti-rabbit IgG (5-10 ug/million cells) was used as secondary antibody for 30 minutes at 20oC. Isotype control antibody (Green line) was rabbit IgG (1 ug/million cells) used under the same conditions. Unlabelled sample (Red line) was also used as a control.
Availability 1-2 days
Species Reactivity Human, Mouse, Rat
Format Lyophilized
Host Rabbit
Clonality Polyclonal (rabbit origin)
Isotype Rabbit IgG
Purity Immunogen affinity purified
Buffer Each vial contains 4 mg Trehalose, 0.9 mg NaCl, 0.2 mg Na2HPO4.
UniProt Q8IVH8
Applications Western Blot : 0.25-0.5ug/ml
Immunohistochemistry : 2-5ug/ml
Flow Cytometry : 1-3ug/million cells
ELISA : 0.1-0.5ug/ml
Limitations This MAP4K3 antibody is available for research use only.
Review this product on BioCompare and get a $20 Amazon gift card

Related Products

Description

MAP4K3 antibody detects Mitogen-activated protein kinase kinase kinase kinase 3, encoded by the MAP4K3 gene on chromosome 2q37.3. MAP4K3 antibody is widely applied in research on signaling pathways, growth regulation, and cancer. MAP4K3 belongs to the germinal center kinase (GCK) family of serine/threonine kinases, acting upstream in MAPK cascades. It integrates signals from growth factors, amino acids, and stress pathways to regulate cell growth, metabolism, and survival.

Structurally, MAP4K3 is a ~100 kDa protein containing an N-terminal serine/threonine kinase domain and C-terminal regulatory regions with proline-rich and coiled-coil motifs. These domains mediate interactions with scaffold proteins and signaling adaptors. MAP4K3 is broadly expressed across tissues and localizes to both cytoplasm and membranes, depending on signaling context.

Functionally, MAP4K3 activates downstream MAPK cascades and mTORC1 signaling. It acts as a sensor of amino acid availability, regulating mTORC1 activation through interaction with Rag GTPases. MAP4K3 also contributes to JNK pathway activation in response to stress. Through these pathways, it influences growth, autophagy, and apoptosis. Researchers use MAP4K3 antibody to investigate nutrient sensing, MAPK signaling, and cancer biology.

Clinically, dysregulation of MAP4K3 has been linked to cancers, including lung and liver tumors, where aberrant mTORC1 signaling drives proliferation. MAP4K3 also influences insulin signaling and metabolic disease by linking nutrient sensing to mTOR activity. Genetic variants have been implicated in neurodevelopmental disorders. NSJ Bioreagents provides MAP4K3 antibody for research on signaling, cancer, and metabolic regulation.

Experimentally, MAP4K3 antibody is used in western blotting to detect the ~100 kDa protein, in immunohistochemistry to study tumor expression, and in immunoprecipitation to analyze mTOR and MAPK pathway interactions. Kinase assays combined with MAP4K3 antibody enable functional studies of phosphorylation activity.

Application Notes

Optimal dilution of the MAP4K3 antibody should be determined by the researcher.

Immunogen

E.coli-derived human MAP4K3 recombinant protein (Position: H293-E524) was used as the immunogen for the MAP4K3 antibody.

Storage

After reconstitution, the MAP4K3 antibody can be stored for up to one month at 4oC. For long-term, aliquot and store at -20oC. Avoid repeated freezing and thawing.

Cross
Bulk Quote Request Form
Name*:
Organization*:
Email*:
Phone Number*:
Catalog No.*:
Comments and Specifics(amount, formulation, etc.)*:
Validation code: Captchapackage Image


Can't read the image? click here to refresh.
    *required field

Your bulk quote request has been submitted successfully!

Please contact us if you have any questions.