• Tel: 858.663.9055
  • SeparatorEmail: info@nsjbio.com
  • Tel: 858.663.9055
  • Email: info@nsjbio.com
Home >> Antibodies >> MAP3K1 Antibody / MEKK1

MAP3K1 Antibody / MEKK1 [clone 2F6] (V2702)

  Catalog No Formulation Size Price (USD)  
Image V2702-100UG 0.2 mg/ml in 1X PBS with 0.1 mg/ml BSA (US sourced) and 0.05% sodium azide 100 ug 559
Image
V2702-20UG 0.2 mg/ml in 1X PBS with 0.1 mg/ml BSA (US sourced) and 0.05% sodium azide 20 ug 259
Image
V2702SAF-100UG 1 mg/ml in 1X PBS; BSA free, sodium azide free 100 ug 559
Image
V2702IHC-7ML Prediluted in 1X PBS with 0.1 mg/ml BSA (US sourced) and 0.05% sodium azide; *For IHC use only* 7 ml 559
Bulk quote request
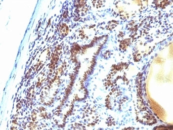
IHC: Formalin-fixed, paraffin-embedded human thyroid carcinoma stained with MAP3K1 antibody (2F6).
IHC: Formalin-fixed, paraffin-embedded human uterine carcinoma stained with MAP3K1 antibody (2F6).
IHC: Formalin-fixed, paraffin-embedded human cervical carcinoma stained with MAP3K1 antibody (2F6).
Availability 1-3 business days
Species Reactivity Human
Format Purified
Host Mouse
Clonality Monoclonal (mouse origin)
Isotype Mouse IgG2a, kappa
Clone Name 2F6
Purity Protein G affinity chromatography
UniProt Q13233
Localization Cytoplasmic
Applications Western Blot : 0.5-1ug/ml
Immunohistochemistry (FFPE) : 1-2ug/ml for 30 min at RT
Limitations This MAP3K1 antibody is available for research use only.
Review this product on BioCompare and get a $20 Amazon gift card

Related Products

  • Applications : WB, IHC-P, FACS
    Reactivity : Human, Mouse, Rat

Description

Mitogen-activated protein (MAP) kinase cascades are activated by various extracellular stimuli, including growth factors. The MEK kinases (also designated MAP kinase kinase kinases, MKKKs, MAP3Ks or MEKKs) phosphorylate and thereby activate the MEKs (also called MAP kinase kinases or MKKs), including ERK, JNK and p38. These activated MEKs in turn phosphorylate and activate the MAP kinases. The MEK kinases include Raf-1, Raf-B, Mos, MEK kinase-1, MEK kinase-2, MEK kinase-3, MEK kinase-4 and ASK 1 (MEK kinase- 5). MEK kinase-1 activates the ERK and c-Jun NH2-terminal kinase (JNK) pathways by phosphorylation of MAP2K1 and MAP2K4, and also activates the central protein kinases of the NF-kB pathway, CHUK and IKBKB. Additionally, MEK kinase-1 uses an E3 ligase through its PHD domain, a RING-finger-like structure, to target proteins for degradation through ubiquitination.

Application Notes

Optimal dilution of the MAP3K1 antibody should be determined by the researcher.

1. Staining of formalin-fixed tissues requires boiling tissue sections in 10mM Tris with 1mM EDTA, pH 9.0, for 10-20 min followed by cooling at RT for 20 min
2. The prediluted format is supplied in a dropper bottle and is optimized for use in IHC. After epitope retrieval step (if required), drip mAb solution onto the tissue section and incubate at RT for 30 min.

Immunogen

A partial recombinant protein (aa 1211-1310) was used as the immunogen for the MAP3K1 antibody.

Storage

Store the MAP3K1 antibody at 2-8oC (with azide) or aliquot and store at -20oC or colder (without azide).

Cross
Bulk Quote Request Form
Name*:
Organization*:
Email*:
Phone Number*:
Catalog No.*:
Comments and Specifics(amount, formulation, etc.)*:
Validation code: Captchapackage Image


Can't read the image? click here to refresh.
    *required field

Your bulk quote request has been submitted successfully!

Please contact us if you have any questions.