• Tel: 858.663.9055
  • SeparatorEmail: info@nsjbio.com
  • Tel: 858.663.9055
  • Email: info@nsjbio.com
Home >> Antibodies >> MAP2K2 Antibody / MEK2

MAP2K2 Antibody / MEK2 (RQ5739)

  Catalog No Formulation Size Price (USD)  
Image RQ5739 0.5mg/ml if reconstituted with 0.2ml sterile DI water 100 ug 449
Bulk quote request
Immunofluorescent staining of FFPE human U-2 OS cells with MAP2K2 antibody (green) and DAPI nuclear stain (blue). HIER: steam section in pH6 citrate buffer for 20 min.
Immunofluorescent staining of FFPE human K562 cells with MAP2K2 antibody (red) and DAPI nuclear stain (blue). HIER: steam section in pH6 citrate buffer for 20 min.
IHC staining of FFPE human rectal cancer with MAP2K2 antibody. HIER: boil tissue sections in pH8 EDTA for 20 min and allow to cool before testing.
IHC staining of FFPE mouse brain with MAP2K2 antibody. HIER: boil tissue sections in pH8 EDTA for 20 min and allow to cool before testing.
IHC staining of FFPE rat brain with MAP2K2 antibody. HIER: boil tissue sections in pH8 EDTA for 20 min and allow to cool before testing.
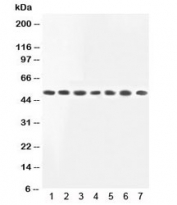
Western blot testing of human 1) HEK293, 2) Jurkat, 3) K562, 4) rat brain, 5) rat lung, 6) mouse ANA-1 lysate with MAP2K2 antibody. Predicted molecular weight ~45 kDa.
Flow cytometry testing of human SiHa cells with MAP2K2 antibody at 1ug/million cells (blocked with goat sera); Red=cells alone, Green=isotype control, Blue= MAP2K2 antibody.
Availability 1-3 business days
Species Reactivity Human, Mouse, Rat
Format Antigen affinity purified
Host Rabbit
Clonality Polyclonal (rabbit origin)
Isotype Rabbit IgG
Purity Affinity purified
Buffer Lyophilized from 1X PBS with 2% Trehalose and 0.025% sodium azide
UniProt P36507
Localization Cytoplasmic, membrane
Applications Western Blot : 0.5-1ug/ml
Immunohistochemistry : 1-2ug/ml
Immunofluorescence : 2-4ug/ml
Flow Cytometry : 1-3ug/million cells
Direct ELISA : 0.1-0.5ug/ml
Limitations This MAP2K2 antibody is available for research use only.
Review this product on BioCompare and get a $20 Amazon gift card

Related Products

  • Applications : WB, IF, FACS
    Reactivity : Human, Mouse, Rat
  • Applications : WB, IHC-P, IF, FACS
    Reactivity : Human, Mouse
  • Applications : WB
    Reactivity : Human, Mouse, Rat
  • Applications : WB, ELISA (peptide)
    Reactivity : Human
  • Applications : IF, WB, IHC-P
    Reactivity : Human, Mouse
  • Applications : IHC-P, WB
    Reactivity : Human
  • Applications : WB, FACS, Direct ELISA
    Reactivity : Human, Mouse, Rat

Description

Dual specificity mitogen-activated protein kinase kinase 2 (MAP2K2), also called PRKMK2 or MEK2, is an enzyme that in humans is encoded by the MAP2K2 gene. The protein encoded by this gene is a dual specificity protein kinase that belongs to the MAP kinase kinase family. MAP2K2 is mapped to 19p13.3. This kinase is known to play a critical role in mitogen growth factor signal transduction, and the inhibition or degradation of this kinase is found to be involved in the pathogenesis of Yersinia and anthrax. Recombinant MEK2 and MEK1 both could activate human ERK1 in vitro, and they further characterized biochemically the two MAP2Ks. MAP2K2 has been shown to interact with MAPK3 and ARAF.

Application Notes

Optimal dilution of the MAP2K2 antibody should be determined by the researcher.

Immunogen

Recombinant human protein (amino acids M1-V400) was used as the immunogen for the MAP2K2 antibody.

Storage

After reconstitution, the MAP2K2 antibody can be stored for up to one month at 4oC. For long-term, aliquot and store at -20oC. Avoid repeated freezing and thawing.

Cross
Bulk Quote Request Form
Name*:
Organization*:
Email*:
Phone Number*:
Catalog No.*:
Comments and Specifics(amount, formulation, etc.)*:
Validation code: Captchapackage Image


Can't read the image? click here to refresh.
    *required field

Your bulk quote request has been submitted successfully!

Please contact us if you have any questions.