• Tel: 858.663.9055
  • SeparatorEmail: info@nsjbio.com
  • Tel: 858.663.9055
  • Email: info@nsjbio.com
Home >> Antibodies >> MAP2K2 Antibody / MEK2

MAP2K2 Antibody / MEK2 [clone 2H4] (RQ6313)

  Catalog No Formulation Size Price (USD)  
Image RQ6313 0.5mg/ml if reconstituted with 0.2ml sterile DI water 100 ug 449
Bulk quote request
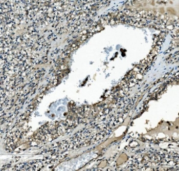
IHC staining of FFPE human renal clear cell carcinoma with MAP2K2 antibody. HIER: boil tissue sections in pH8 EDTA for 20 min and allow to cool before testing.
Immunofluorescent staining of FFPE human MCF7 cells with MAP2K2 antibody (green) and DAPI nuclear stain (blue). HIER: steam section in pH6 citrate buffer for 20 min.
Western blot testing of 1) human HEK293, 2) human HepG2, 3) human Jurkat, 4) human K562, 5) mouse brain and 6) mouse RAW264.7 lysate with MAP2K2 antibody. Expected molecular weight: 45-50 kDa.
Flow cytometry testing of human A431 cells with MAP2K2 antibody at 1ug/million cells (blocked with goat sera); Red=cells alone, Green=isotype control, Blue= MAP2K2 antibody.
Availability 1-3 business days
Species Reactivity Human, Mouse
Format Purified
Host Mouse
Clonality Monoclonal (mouse origin)
Isotype Mouse IgG1
Clone Name 2H4
Purity Antigen affinity purified
Buffer Lyophilized from 1X PBS with 2% Trehalose
UniProt P36507
Localization Cytoplasmic
Applications Western Blot : 0.5-1ug/ml
Immunohistochemistry (FFPE) : 2-5ug/ml
Immunofluorescence (FFPE) : 5ug/ml
Flow Cytometry : 1-3ug/million cells
Limitations This MAP2K2 antibody is available for research use only.
Review this product on BioCompare and get a $20 Amazon gift card

Related Products

  • Applications : WB, IF, FACS
    Reactivity : Human, Mouse, Rat
  • Applications : WB
    Reactivity : Human, Mouse, Rat
  • Applications : WB, ELISA (peptide)
    Reactivity : Human
  • Applications : WB, IHC-P, IF, FACS, Direct ELISA
    Reactivity : Human, Mouse, Rat
  • Applications : IF, WB, IHC-P
    Reactivity : Human, Mouse
  • Applications : IHC-P, WB
    Reactivity : Human
  • Applications : WB, FACS, Direct ELISA
    Reactivity : Human, Mouse, Rat

Description

Dual specificity mitogen-activated protein kinase kinase 2 (MAP2K2), also called PRKMK2 or MEK2, is an enzyme that in humans is encoded by the MAP2K2 gene. This kinase is known to play a critical role in mitogen growth factor signal transduction, and the inhibition or degradation of this kinase is found to be involved in the pathogenesis of Yersinia and anthrax.

Application Notes

Optimal dilution of the MAP2K2 antibody should be determined by the researcher.

Immunogen

Recombinant human protein (amino acids M1-V400) was used as the immunogen for the MAP2K2 antibody.

Storage

After reconstitution, the MAP2K2 antibody can be stored for up to one month at 4oC. For long-term, aliquot and store at -20oC. Avoid repeated freezing and thawing.

Cross
Bulk Quote Request Form
Name*:
Organization*:
Email*:
Phone Number*:
Catalog No.*:
Comments and Specifics(amount, formulation, etc.)*:
Validation code: Captchapackage Image


Can't read the image? click here to refresh.
    *required field

Your bulk quote request has been submitted successfully!

Please contact us if you have any questions.