• Tel: 858.663.9055
  • SeparatorEmail: info@nsjbio.com
  • Tel: 858.663.9055
  • Email: info@nsjbio.com
Home >> Antibodies >> MAP2K1 Antibody / Mitogen-activated protein kinase kinase 1

MAP2K1 Antibody / Mitogen-activated protein kinase kinase 1 (FY12634)

  Catalog No Formulation Size Price (USD)  
Image FY12634 Adding 0.2 ml of distilled water will yield a concentration of 500 ug/ml 100 ug 449
Bulk quote request
Western blot analysis of MAP2K1 using anti-MAP2K1 antibody. Electrophoresis was performed on a 10% SDS-PAGE gel at 80V (Stacking gel) / 120V (Resolving gel) for 2 hours. Lane 1: rat brain tissue lysates, Lane 2: rat PC-12 whole cell lysates, Lane 3: mouse brain tissue lysates, Lane 4: mouse NH/3T3 whole cell lysates. After electrophoresis, proteins were transferred to a nitrocellulose membrane at 150 mA for 50-90 minutes. Blocked the membrane with 5% non-fat milk/TBS for 1.5 hour at RT. The membrane was incubated with rabbit anti-MAP2K1 antibody at 0.5 ug/ml overnight at 4oC, then washed with TBS-0.1%Tween 3 times with 5 minutes each and probed with a goat anti-rabbit IgG-HRP secondary antibody at a dilution of 1:5000 for 1.5 hour at RT. The signal is developed using an ECL Plus Western Blotting Substratewith Tanon 5200 system. A specific band was detected for MAP2K1 at approximately 45 kDa. The expected molecular weight of MAP2K1 is ~45 kDa.
Western blot analysis of MAP2K1 using anti-MAP2K1 antibody. Electrophoresis was performed on a 10% SDS-PAGE gel at 80V (Stacking gel) / 120V (Resolving gel) for 2 hours. Lane 1: human U251 whole cell lysates, Lane 2: human SiHa whole cell lysates, Lane 3: human CACO-2 whole cell lysates, Lane 4: rat brain tissue lysates, Lane 5: mouse brain tissue lysates. After electrophoresis, proteins were transferred to a nitrocellulose membrane at 150 mA for 50-90 minutes. Blocked the membrane with 5% non-fat milk/TBS for 1.5 hour at RT. The membrane was incubated with rabbit anti-MAP2K1 antibody at 0.5 ug/ml overnight at 4oC, then washed with TBS-0.1%Tween 3 times with 5 minutes each and probed with a goat anti-rabbit IgG-HRP secondary antibody at a dilution of 1:5000 for 1.5 hour at RT. The signal is developed using an ECL Plus Western Blotting Substratewith Tanon 5200 system. A specific band was detected for MAP2K1 at approximately 45 kDa. The expected molecular weight of MAP2K1 is ~45 kDa.
Immunofluorescent staining of MAP2K1 using anti-MAP2K1 antibody (green). MAP2K1 was detected in an immunocytochemical section of TPC1 cells. Enzyme antigen retrieval was performed using IHC enzyme antigen retrieval reagent for 15 mins. The cells were blocked with 10% goat serum. And then incubated with 5 ug/ml rabbit anti-MAP2K1 antibody overnight at 4oC. DyLight 488 Conjugated Goat Anti-Rabbit IgG was used as secondary antibody at 1:500 dilution and incubated for 30 minutes at 37oC. The section was counterstained with DAPI nuclear stain (blue). Visualize using a fluorescence microscope and filter sets appropriate for the label used.
Immunofluorescent staining of MAP2K1 using anti-MAP2K1 antibody (green). MAP2K1 was detected in an immunocytochemical section of U2OS cells. Enzyme antigen retrieval was performed using IHC enzyme antigen retrieval reagent for 15 mins. The cells were blocked with 10% goat serum. And then incubated with 5 ug/ml rabbit anti-MAP2K1 antibody overnight at 4oC. DyLight 488 Conjugated Goat Anti-Rabbit IgG was used as secondary antibody at 1:500 dilution and incubated for 30 minutes at 37oC. The section was counterstained with DAPI nuclear stain (blue). Visualize using a fluorescence microscope and filter sets appropriate for the label used.
Flow Cytometry analysis of cells using anti-MAP2K1 antibody. Overlay histogram showing cells stained with (Blue line). To facilitate intracellular staining, cells were fixed with 4% paraformaldehyde and permeabilized with permeabilization buffer. The cells were blocked with 10% normal goat serum. And then incubated with rabbit anti-MAP2K1 antibody (1 ug/million cells) for 30 min at 20oC. DyLight 488 conjugated goat anti-rabbit IgG (5-10 ug/million cells) was used as secondary antibody for 30 minutes at 20oC. Isotype control antibody (Green line) was rabbit IgG (1 ug/million cells) used under the same conditions. Unlabelled sample without incubation with primary antibody and secondary antibody (Red line) was used as a blank control.
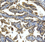
Immunohistochemical staining of MAP2K1 using anti-MAP2K1 antibody. MAP2K1 was detected in a paraffin-embedded section of human ovarian cancer tissue. Heat mediated antigen retrieval was performed in EDTA buffer (pH 8.0, epitope retrieval solution). The tissue section was blocked with 10% goat serum. The tissue section was then incubated with 2 ug/ml rabbit anti-MAP2K1 antibody overnight at 4oC. Peroxidase Conjugated Goat Anti-rabbit IgG was used as secondary antibody and incubated for 30 minutes at 37oC. The tissue section was developed using an HRP secondary and DAB substrate.
Availability 1-2 days
Species Reactivity Human, Mouse, Rat
Format Lyophilized
Host Rabbit
Clonality Polyclonal (rabbit origin)
Isotype Rabbit IgG
Purity Immunogen affinity purified
Buffer Each vial contains 4 mg Trehalose, 0.9 mg NaCl, 0.2 mg Na2HPO4.
UniProt Q02750
Localization Cytoplasmic, Nuclear
Applications ELISA : 0.1-0.5ug/ml
Flow Cytometry : 1-3ug/million cells
Immunofluorescence : 5ug/ml
Immunohistochemistry : 2-5ug/ml
Immunocytochemistry : 5ug/ml
Western Blot : 0.25-0.5ug/ml
Limitations This MAP2K1 antibody is available for research use only.
Review this product on BioCompare and get a $20 Amazon gift card

Description

MAP2K1 antibody detects Mitogen-activated protein kinase kinase 1, a dual-specificity protein kinase that functions as a central component of the MAPK/ERK signaling pathway. MAP2K1, also known as MEK1, phosphorylates and activates ERK1 and ERK2, controlling key cellular processes including proliferation, differentiation, and survival. The MAP2K1 antibody is widely used in signal transduction, oncology, and developmental biology to study MAPK pathway activation and kinase regulation.

MAP2K1 is encoded by the MAP2K1 gene located on human chromosome 15q22.31. The protein is approximately 393 amino acids in length and consists of an N-terminal regulatory region and a C-terminal kinase domain. MAP2K1 belongs to the family of dual-specificity kinases, capable of phosphorylating both threonine and tyrosine residues on its substrates. Activation occurs through phosphorylation by RAF kinases in response to growth factors, hormones, or stress stimuli.

The MAP2K1 antibody detects a 45 kilodalton protein by western blot and reveals cytoplasmic and nuclear localization under immunofluorescence microscopy. In resting cells, MAP2K1 is inactive; upon stimulation of RAS-RAF signaling, it becomes phosphorylated at serine residues 218 and 222, enabling catalytic activation of ERK kinases. This cascade transmits extracellular signals to transcription factors, leading to gene expression changes that drive cell proliferation and differentiation.

Aberrant MAP2K1 activation is implicated in numerous cancers, including melanoma, colorectal, and lung carcinoma, due to constitutive activation of the MAPK pathway. Mutations that enhance MAP2K1 activity or confer resistance to RAF inhibitors are clinically significant in targeted cancer therapy. Beyond oncology, MAP2K1 contributes to cardiac hypertrophy, immune signaling, and neural plasticity.

Because of its central role in MAPK pathway regulation, MAP2K1 serves as a key target for understanding cell signaling and therapeutic intervention. NSJ Bioreagents provides a validated MAP2K1 antibody optimized for its applications, supporting research into ERK activation, signal integration, and targeted drug development.

Application Notes

Optimal dilution of the MAP2K1 antibody should be determined by the researcher.

Immunogen

E.coli-derived human MEK1/MAP2K1 recombinant protein (Position: M1-V393) was used as the immunogen for the MAP2K1 antibody.

Storage

After reconstitution, the MAP2K1 antibody can be stored for up to one month at 4oC. For long-term, aliquot and store at -20oC. Avoid repeated freezing and thawing.

Cross
Bulk Quote Request Form
Name*:
Organization*:
Email*:
Phone Number*:
Catalog No.*:
Comments and Specifics(amount, formulation, etc.)*:
Validation code: Captchapackage Image


Can't read the image? click here to refresh.
    *required field

Your bulk quote request has been submitted successfully!

Please contact us if you have any questions.