• Tel: 858.663.9055
  • SeparatorEmail: info@nsjbio.com
  • Tel: 858.663.9055
  • Email: info@nsjbio.com
Home >> Antibodies >> MAOA Antibody

MAOA Antibody (R32008)

  Catalog No Formulation Size Price (USD)  
Image R32008 0.5mg/ml if reconstituted with 0.2ml sterile DI water 100 ug 449
Bulk quote request
Immunofluorescent staining of FFPE human U-2 OS cells with MAOA antibody (green) at 5ug/ml and DAPI nuclear stain (blue). HIER: steam section in pH6 citrate buffer for 20 min.
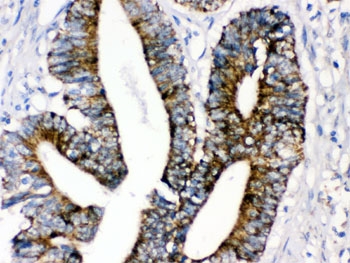
IHC testing of FFPE human intestinal cancer with MAOA antibody. HIER: Boil the paraffin sections in pH 6, 10mM citrate buffer for 20 minutes and allow to cool prior to staining.
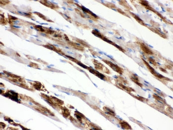
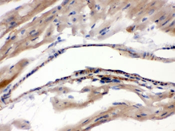
IHC testing of FFPE mouse heart with MAOA antibody. HIER: Boil the paraffin sections in pH 6, 10mM citrate buffer for 20 minutes and allow to cool prior to staining.
IHC testing of FFPE rat heart with MAOA antibody. HIER: Boil the paraffin sections in pH 6, 10mM citrate buffer for 20 minutes and allow to cool prior to staining.
Flow cytometry testing of human U-87 MG cells with MAOA antibody at 1ug/10^6 cells (blocked with goat sera); Red=cells alone, Green=isotype control, Blue= MAOA antibody.
Flow cytometry testing of human U-2 OS cells with MAOA antibody at 1ug/10^6 cells (blocked with goat sera); Red=cells alone, Green=isotype control, Blue= MAOA antibody.
Western blot testing of 1) rat kidney, 2) mouse kidney, 3) human COLO320, 4) human HepG2 and 5) mouse HEPA lysate with MAOA antibody. Expected molecular weight ~60 kDa.
Availability 1-3 business days
Species Reactivity Human, Mouse, Rat
Format Antigen affinity purified
Host Rabbit
Clonality Polyclonal (rabbit origin)
Isotype Rabbit IgG
Purity Antigen affinity
Buffer Lyophilized from 1X PBS with 2.5% BSA and 0.025% sodium azide
UniProt P21397
Localization Cytoplasmic
Applications Western Blot : 0.1-0.5ug/ml
Immunohistochemistry (FFPE) : 0.5-1ug/ml
Immunofluorescence (FFPE) : 5-7ug/ml
Flow Cytometry : 1-3ug/million cells
Limitations This MAOA antibody is available for research use only.
Review this product on BioCompare and get a $20 Amazon gift card

Related Products

Description

Monoamine oxidase A is an enzyme that in humans is encoded by the MAO-A gene. MAOA is an isozyme of monoamine oxidase which is also mapped on Xp11.3. MAOA degrades amine neurotransmitters, such as dopamine, norepinephrine, and serotonin. The protein localizes to the outer mitochondrial membrane. Mutation in MAOA results in monoamine oxidase deficiency, or Brunner syndrome. In humans, there is a 30-base repeat sequence repeated in one of several different numbers of times in the promoter region of the gene coding for MAOA. MAO-A levels in the brain as measured using positron emission tomography are elevated by an average of 34% in patients with major depressive disorder. Inhibition of MAOA prevented apoptosis, and serum starvation of cortical brain cells from Maoa-deficient mice resulted in reduced apoptosis compared with wildtype mice.

Application Notes

Optimal dilution of the MAOA antibody should be determined by the researcher.

Immunogen

Amino acids REVLNGLGKVTEKDIWVQEPESKDVPAVEITHTFWER of human MAOA were used as the immunogen for the MAOA antibody.

Storage

After reconstitution, the MAOA antibody can be stored for up to one month at 4oC. For long-term, aliquot and store at -20oC. Avoid repeated freezing and thawing.

Cross
Bulk Quote Request Form
Name*:
Organization*:
Email*:
Phone Number*:
Catalog No.*:
Comments and Specifics(amount, formulation, etc.)*:
Validation code: Captchapackage Image


Can't read the image? click here to refresh.
    *required field

Your bulk quote request has been submitted successfully!

Please contact us if you have any questions.