• Tel: 858.663.9055
  • SeparatorEmail: info@nsjbio.com
  • Tel: 858.663.9055
  • Email: info@nsjbio.com
Home >> Antibodies >> MANSC4 Antibody / MANSC domain-containing protein 4

MANSC4 Antibody / MANSC domain-containing protein 4 (RQ8868)

  Catalog No Formulation Size Price (USD)  
Image RQ8868 0.5mg/ml if reconstituted with 0.2ml sterile DI water 100 ug 449
Bulk quote request
Immunofluorescent staining of FFPE human liver cancer tissue with MANSC4 antibody (red) and DAPI nuclear stain (blue). HIER: steam section in pH8 EDTA buffer for 20 min.
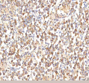
IHC staining of FFPE human liver cancer tissue with MANSC4 antibody. HIER: boil tissue sections in pH8 EDTA for 20 min and allow to cool before testing.
IHC staining of FFPE human testicular seminoma tissue with MANSC4 antibody. HIER: boil tissue sections in pH8 EDTA for 20 min and allow to cool before testing.
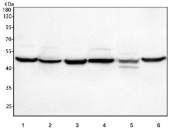
Western blot testing of 1) human PC-3, 2) human U-2 OS, 3) monkey COS-7, 4) rat kidney, 5) mouse kidney and 6) mouse HBZY cell lysate with MANSC4 antibody. Predicted molecular weight ~38 kDa but may be observed at higher molecular weights due to glycosylation.
Flow cytometry testing of fixed human PC-3 cells with MANSC4 antibody at 1ug/million cells (blocked with goat sera); Red=cells alone, Green=isotype control, Blue= MANSC4 antibody.
Flow cytometry testing of fixed human Caco-2 cells with MANSC4 antibody at 1ug/million cells (blocked with goat sera); Red=cells alone, Green=isotype control, Blue= MANSC4 antibody.
Availability 1-2 days
Species Reactivity Human, Monkey, Mouse, Rat
Format Antigen affinity purified
Host Rabbit
Clonality Polyclonal (rabbit origin)
Isotype Rabbit IgG
Purity Antigen affinity chromatography
Buffer Lyophilized from 1X PBS with 2% Trehalose
UniProt A6NHS7
Applications Western Blot : 1-2ug/ml
Immunohistochemistry (FFPE) : 2-5ug/ml
Flow Cytometry : 1-3ug/million cells
Immunofluorescence : 5ug/ml
ELISA : 0.1-0.5ug/ml
Limitations This MANSC4 antibody is available for research use only.
Review this product on BioCompare and get a $20 Amazon gift card

Description

MANSC4 is a protein found in humans that belongs to the MANSC protein family. These proteins play important roles in cellular processes, such as gene expression and protein regulation. MANSC4, in particular, is involved in the development of the nervous system and has been linked to neurological disorders. Research has shown that MANSC4 is highly expressed in the brain, particularly in regions associated with learning and memory. This suggests that MANSC4 may play a critical role in cognitive function and brain development. Understanding the function of MANSC4 could provide valuable insights into neurological disorders such as Alzheimer's disease and Parkinson's disease. Additionally, MANSC4 has been identified as a potential biomarker for certain types of cancer. Studies have shown that changes in MANSC4 expression levels may be associated with tumor growth and progression. This makes MANSC4 a promising target for cancer research and potential therapies.

Application Notes

Optimal dilution of the MANSC4 antibody should be determined by the researcher.

Immunogen

An E.coli-derived human recombinant protein (amino acids R36-R140) was used as the immunogen for the MANSC4 antibody.

Storage

After reconstitution, the MANSC4 antibody can be stored for up to one month at 4oC. For long-term, aliquot and store at -20oC. Avoid repeated freezing and thawing.

Cross
Bulk Quote Request Form
Name*:
Organization*:
Email*:
Phone Number*:
Catalog No.*:
Comments and Specifics(amount, formulation, etc.)*:
Validation code: Captchapackage Image


Can't read the image? click here to refresh.
    *required field

Your bulk quote request has been submitted successfully!

Please contact us if you have any questions.