• Tel: 858.663.9055
  • SeparatorEmail: info@nsjbio.com
  • Tel: 858.663.9055
  • Email: info@nsjbio.com
Home >> Antibodies >> MAN1 Antibody / LEMD3

MAN1 Antibody / LEMD3 (RQ8637)

  Catalog No Formulation Size Price (USD)  
Image RQ8637 0.5mg/ml if reconstituted with 0.2ml sterile DI water 100 ug 449
Bulk quote request
Flow cytometry testing of fixed and permeabilized human 293T cells with MAN1 antibody at 1ug/million cells (blocked with goat sera); Red=cells alone, Green=isotype control, Blue= MAN1 antibody.
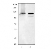
Western blot testing of human 1) HaCat and 2) K562 cell lysate with MAN1 antibody. Predicted molecular weight ~100 kDa, commonly observed at 100-110 kDa.
Availability 1-3 days
Species Reactivity Human
Format Antigen affinity purified
Host Rabbit
Clonality Polyclonal (rabbit origin)
Isotype Rabbit IgG
Purity Antigen affinity purified
Buffer Lyophilized from 1X PBS with 2% Trehalose
UniProt Q9Y2U8
Applications Western Blot : 0.5-1ug/ml
Flow Cytometry : 1-3ug/million cells
ELISA : 0.1-0.5ug/ml
Limitations This MAN1 antibody is available for research use only.
Review this product on BioCompare and get a $20 Amazon gift card

Related Products

  • Applications : WB
    Reactivity : Human

Description

LEM domain-containing protein 3 (LEMD3), also known as MAN1, is an integral protein in the inner nuclear membrane (INM) of the nuclear envelope. It is encoded by the LEMD3 gene and was first identified after it was isolated from the serum of a patient with a collagen vascular disease. This locus encodes a LEM domain-containing protein. The encoded protein functions to antagonize transforming growth factor-beta signaling at the inner nuclear membrane. Two transcript variants encoding different isoforms have been found for this gene. Mutations in this gene have been associated with osteopoikilosis, Buschke-Ollendorff syndrome and melorheostosis.

Application Notes

Optimal dilution of the MAN1 antibody should be determined by the researcher.

Immunogen

An E.coli-derived human recombinant protein (amino acids H535-H852) was used as the immunogen for the MAN1 antibody.

Storage

After reconstitution, the MAN1 antibody can be stored for up to one month at 4oC. For long-term, aliquot and store at -20oC. Avoid repeated freezing and thawing.

Cross
Bulk Quote Request Form
Name*:
Organization*:
Email*:
Phone Number*:
Catalog No.*:
Comments and Specifics(amount, formulation, etc.)*:
Validation code: Captchapackage Image


Can't read the image? click here to refresh.
    *required field

Your bulk quote request has been submitted successfully!

Please contact us if you have any questions.