• Tel: 858.663.9055
  • SeparatorEmail: info@nsjbio.com
  • Tel: 858.663.9055
  • Email: info@nsjbio.com
Home >> Antibodies >> Mammary Serine Protease Inhibitor Antibody / MASPIN / SERPINB5

Mammary Serine Protease Inhibitor Antibody / MASPIN / SERPINB5 [clone SERPINB5/12556] (V5972)

  Catalog No Formulation Size Price (USD)  
Image V5972-100UG 0.2 mg/ml in 1X PBS with 0.05% BSA, 0.05% sodium azide 100 ug 559
Image
V5972-20UG 0.2 mg/ml in 1X PBS with 0.05% BSA, 0.05% sodium azide 20 ug 259
Image
V5972SAF-100UG 1 mg/ml in 1X PBS; BSA free, sodium azide free 100 ug 559
Microvalidated
Bulk quote request
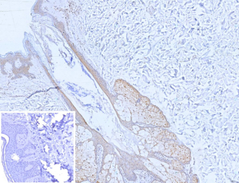
Immunohistochemistry analysis of Mammary Serine Protease Inhibitor / MASPIN antibody (clone SERPINB5/12556) in human skin tissue. FFPE human skin shows HRP-DAB brown staining predominantly in epidermal keratinocytes with both nuclear and cytoplasmic localization, consistent with epithelial expression of SERPINB5. Dermal stromal cells are largely negative. The inset image shows PBS used instead of primary antibody as a negative control. Heat induced epitope retrieval was performed in 10mM Tris with 1mM EDTA, pH 9.0, for 45 minutes at 95oC followed by cooling before staining.
SDS-PAGE Analysis of Purified Mammary Serine Protease Inhibitor/MASPIN antibody (SERPINB5/12556). Confirmation of Purity and Integrity of Antibody.
Species Reactivity Human
Format Purified
Host Mouse
Clonality Monoclonal (mouse origin)
Isotype Mouse IgG2b, kappa
Clone Name SERPINB5/12556
UniProt P36952
Localization Cytoplasm, Extracellular space, Nucleus, Secreted
Applications Immunohistochemistry (FFPE) : 1-2ug/ml
Limitations This Mammary Serine Protease Inhibitor/MASPIN antibody is available for research use only.
Review this product on BioCompare and get a $20 Amazon gift card

Related Products

Description

Mammary Serine Protease Inhibitor antibody, also known as MASPIN antibody, recognizes Serpin family B member 5, a cytoplasmic and nuclear protein encoded by the SERPINB5 gene on chromosome 18q21.33. Mammary Serine Protease Inhibitor, commonly referred to as MASPIN, belongs to the clade B serpin family but does not function as a classical serine protease inhibitor. Instead, it acts as a regulatory protein involved in epithelial differentiation, adhesion, and tumor suppression. Expression is primarily observed in epithelial tissues such as breast, prostate, lung, and skin, where it contributes to maintenance of epithelial architecture.

MASPIN has been extensively studied for its tumor suppressor properties. Decreased or absent expression has been associated with increased tumor invasion and metastatic potential in several carcinoma types, including breast and prostate cancers. Mammary Serine Protease Inhibitor antibody is widely used in oncology research to evaluate epithelial lineage, tumor differentiation, and subcellular localization patterns. Both cytoplasmic and nuclear staining patterns have been described, and altered localization has been investigated in relation to tumor behavior and prognosis.

At the structural level, MASPIN shares the conserved serpin fold but lacks critical residues necessary for irreversible protease inhibition. Instead, SERPINB5 interacts with extracellular matrix components and intracellular signaling pathways that regulate cell motility, apoptosis, and integrin signaling. Epigenetic silencing through promoter methylation has been reported as a mechanism for reduced MASPIN expression in aggressive malignancies.

In normal tissues, Mammary Serine Protease Inhibitor is predominantly restricted to epithelial compartments, supporting its use as an epithelial marker in research applications. Clone SERPINB5/12556 recognizes MASPIN and is suitable for detecting SERPINB5 expression in relevant research studies.

Application Notes

Optimal dilution of the Mammary Serine Protease Inhibitor/MASPIN antibody should be determined by the researcher.

Immunogen

A recombinant fragment (around amino acids 1-200) of human SERPINB5 protein (exact sequence is proprietary) was used as the immunogen for the Mammary Serine Protease Inhibitor/MASPIN antibody.

Storage

Mammary Serine Protease Inhibitor/MASPIN antibody with sodium azide - store at 2 to 8oC; antibody without sodium azide - store at -20 to -80oC.

Cross
Bulk Quote Request Form
Name*:
Organization*:
Email*:
Phone Number*:
Catalog No.*:
Comments and Specifics(amount, formulation, etc.)*:
Validation code: Captchapackage Image


Can't read the image? click here to refresh.
    *required field

Your bulk quote request has been submitted successfully!

Please contact us if you have any questions.