• Tel: 858.663.9055
  • SeparatorEmail: info@nsjbio.com
  • Tel: 858.663.9055
  • Email: info@nsjbio.com
Home >> Antibodies >> Mammaglobin Antibody Recombinant Rabbit MAb MGB/7980R / SCGB2A2 Antibody

Mammaglobin Antibody Recombinant Rabbit MAb MGB/7980R / SCGB2A2 Antibody [clone MGB/7980R] (V4171)

  Catalog No Formulation Size Price (USD)  
Image V4171-100UG 0.2 mg/ml in 1X PBS with 0.1 mg/ml BSA (US sourced), 0.05% sodium azide 100 ug 559
Image
V4171-20UG 0.2 mg/ml in 1X PBS with 0.1 mg/ml BSA (US sourced), 0.05% sodium azide 20 ug 259
Image
V4171SAF-100UG 1 mg/ml in 1X PBS; BSA free, sodium azide free 100 ug 559
Microvalidated Recrabbitmono
Bulk quote request
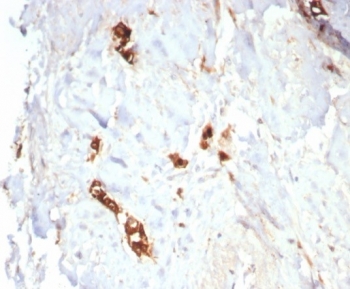
Mammaglobin Antibody Recombinant Rabbit MAb MGB/7980R immunohistochemistry of human lactating breast tissue. FFPE human lactating breast tissue was stained with Mammaglobin Antibody Recombinant Rabbit MAb MGB/7980R. HRP-DAB brown chromogenic signal highlights cytoplasmic staining in secretory epithelial cells of mammary glandular structures, consistent with expression of Mammaglobin A / SCGB2A2 in lactating breast epithelium, while surrounding stromal cells show minimal staining. Heat-induced epitope retrieval was performed by boiling tissue sections in pH 9 10mM Tris with 1mM EDTA for 20 minutes followed by cooling prior to staining.
SDS-PAGE analysis of purified, BSA-free recombinant Mammaglobin antibody MGB/7980R as confirmation of integrity and purity.
Availability 1-3 business days
Species Reactivity Human
Format Purified
Host Rabbit
Clonality Recombinant Rabbit Monoclonal
Isotype Rabbit IgG, kappa
Clone Name MGB/7980R
Purity Protein A/G affinity
UniProt Q13296
Localization Cytoplasm
Applications Immunohistochemistry (FFPE) : 1-2ug/ml for 30 minutes at RT
Limitations This Mammaglobin antibody is available for research use only.
Review this product on BioCompare and get a $20 Amazon gift card

Related Products

Description

Mammaglobin A (SCGB2A2) is a secreted epithelial glycoprotein encoded by the SCGB2A2 gene and belongs to the secretoglobin family of small secreted proteins expressed primarily in mammary tissue. Mammaglobin Antibody Recombinant Rabbit MAb MGB/7980R recognizes Mammaglobin A / SCGB2A2 and is designed to detect this breast-associated protein in studies of epithelial biology and tumor marker expression.

Mammaglobin antibody, also referred to as Mammaglobin A antibody or SCGB2A2 antibody in the literature, targets a protein that shows relatively restricted tissue expression compared with many other epithelial markers. Mammaglobin A is predominantly produced by luminal epithelial cells of the mammary gland, where it is secreted into glandular lumens as part of epithelial secretory activity. Because of this tissue-selective expression pattern, Mammaglobin has been widely studied as a marker of mammary epithelial differentiation and breast tumor origin in pathology and cancer research.

Structurally, Mammaglobin A contains conserved cysteine residues characteristic of secretoglobin family proteins. These structural features contribute to protein stability and folding within the secretory pathway. As a secreted epithelial protein, Mammaglobin A is typically detected in the cytoplasm of epithelial cells and may also be present within luminal secretions of glandular structures depending on the tissue context and sample preparation method.

Expression of Mammaglobin A is frequently observed in breast epithelial cells and breast carcinoma specimens, where it reflects the differentiated state of mammary epithelium. In tumor samples, Mammaglobin expression is often associated with epithelial tumor cell populations and can help distinguish tumors of mammary origin from other carcinoma types in research settings.

Mammaglobin Antibody Recombinant Rabbit MAb MGB/7980R is developed as a recombinant rabbit monoclonal antibody targeting Mammaglobin A / SCGB2A2. Antibodies against Mammaglobin are commonly used in studies examining breast epithelial biology, tumor cell differentiation, and protein expression patterns in breast cancer models and related experimental systems.

Application Notes

Optimal dilution of the Mammaglobin Antibody Recombinant Rabbit MAb MGB/7980R should be determined by the researcher.

Immunogen

A recombinant fragment of human Mammaglobin/SCGB2A2 protein was used as the immunogen for the recombinant Mammaglobin antibody.

Storage

Aliquot the Mammaglobin antibody and store frozen at -20oC or colder. Avoid repeated freeze-thaw cycles.

Alternate Names

Mammaglobin A antibody, SCGB2A2 antibody, Secretoglobin family 2A member 2 antibody, Mammary gland secretoglobin antibody, Mammaglobin breast marker antibody

Cross
Bulk Quote Request Form
Name*:
Organization*:
Email*:
Phone Number*:
Catalog No.*:
Comments and Specifics(amount, formulation, etc.)*:
Validation code: Captchapackage Image


Can't read the image? click here to refresh.
    *required field

Your bulk quote request has been submitted successfully!

Please contact us if you have any questions.