• Tel: 858.663.9055
  • SeparatorEmail: info@nsjbio.com
  • Tel: 858.663.9055
  • Email: info@nsjbio.com
Home >> Antibodies >> MAML3 Antibody

MAML3 Antibody [clone MMLP3-1] (V7233)

  Catalog No Formulation Size Price (USD)  
Image V7233-100UG 0.2 mg/ml in 1X PBS with 0.1 mg/ml BSA (US sourced) and 0.05% sodium azide 100 ug 559
Image
V7233-20UG 0.2 mg/ml in 1X PBS with 0.1 mg/ml BSA (US sourced) and 0.05% sodium azide 20 ug 259
Image
V7233SAF-100UG 1 mg/ml in 1X PBS; BSA free, sodium azide free 100 ug 559
Bulk quote request
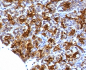
IHC testing of FFPE human placenta with MAML3 antibody (clone MMLP3-1).
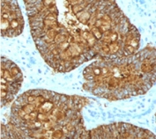
IHC testing of FFPE human colon carcinoma with MAML3 antibody (clone MMLP3-1).
IHC testing of FFPE human cervical carcinoma with MAML3 antibody (clone MMLP3-1).
IHC testing of FFPE human pancreas with MAML3 antibody (clone MMLP3-1).
Species Reactivity Human
Format Purified
Host Mouse
Clonality Monoclonal (mouse origin)
Isotype Mouse IgG1, kappa
Clone Name MMLP3-1
Purity Protein G affinity chromatography
Buffer 1X PBS, pH 7.4
Gene ID 55534
Localization Cytoplasmic
Applications Immunohistochemistry (FFPE) : 1-2ug/ml (1)
Limitations This MAML3 antibody is available for research use only.
Review this product on BioCompare and get a $20 Amazon gift card

Related Products

Description

Mastermind-like 3 is a nuclear speckle protein that acts as a transcriptional coactivator for Notch receptors. The Notch signaling pathway influences cell fate by regulating the ability of precursor cells to properly respond to developmental signals. MAML3 is a member of the mastermind-like family of proteins that are human homologs of the Drosophila melanogaster mastermind protein. Through its N-terminal region, MAML3 interacts with the ankyrin repeats of the Notch 1-4 proteins. This interaction leads to formation of a DNA-binding complex with the Notch proteins and RBP-Jκ; a complex that can then induce HES1 gene expression. While the N-terminal domain of MAML3 is essential for proper Notch binding, the C-terminal domain is essential for transcriptional activation. Due to its involvement in cell signaling and transcriptional activation, its upregulation is thought to be involved in oncogenesis.

Application Notes

The concentration stated for each application is a general starting point. Variations in protocols, secondaries and substrates may require the MAML3 antibody to be titered up or down for optimal performance.

1. Staining of FFPE tissue requires boiling sections in 10mM Tris with 1mM EDTA, pH9, for 10-20 min followed by cooling at RT for 20 min.

Immunogen

A human full length recombinant protein was used as the immunogen for this MAML3 antibody.

Storage

Store the MAML3 antibody at 2-8oC (with azide) or aliquot and store at -20oC or colder (without azide).

Cross
Bulk Quote Request Form
Name*:
Organization*:
Email*:
Phone Number*:
Catalog No.*:
Comments and Specifics(amount, formulation, etc.)*:
Validation code: Captchapackage Image


Can't read the image? click here to refresh.
    *required field

Your bulk quote request has been submitted successfully!

Please contact us if you have any questions.