• Tel: 858.663.9055
  • SeparatorEmail: info@nsjbio.com
  • Tel: 858.663.9055
  • Email: info@nsjbio.com
Home >> Antibodies >> MALSU1 Antibody / Mitochondrial assembly of ribosomal large subunit protein 1

MALSU1 Antibody / Mitochondrial assembly of ribosomal large subunit protein 1 (FY12417)

  Catalog No Formulation Size Price (USD)  
Image FY12417 Adding 0.2 ml of distilled water will yield a concentration of 500 ug/ml 100 ug 449
Bulk quote request
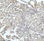
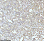
Immunohistochemical staining of MALSU1 using anti-MALSU1 antibody. MALSU1 was detected in a paraffin-embedded section of human colon adenocarcinoma tissue. Heat mediated antigen retrieval was performed in EDTA buffer (pH 8.0, epitope retrieval solution). The tissue section was blocked with 10% goat serum. The tissue section was then incubated with 2 ug/ml rabbit anti-MALSU1 antibody overnight at 4oC. Peroxidase Conjugated Goat Anti-rabbit IgG was used as secondary antibody and incubated for 30 minutes at 37oC. The tissue section was developed using an HRP secondary and DAB substrate.
Immunohistochemical staining of MALSU1 using anti-MALSU1 antibody. MALSU1 was detected in a paraffin-embedded section of human colon adenocarcinoma tissue. Heat mediated antigen retrieval was performed in EDTA buffer (pH 8.0, epitope retrieval solution). The tissue section was blocked with 10% goat serum. The tissue section was then incubated with 2 ug/ml rabbit anti-MALSU1 antibody overnight at 4oC. Peroxidase Conjugated Goat Anti-rabbit IgG was used as secondary antibody and incubated for 30 minutes at 37oC. The tissue section was developed using an HRP secondary and DAB substrate.
Western blot analysis of MALSU1 using anti-MALSU1 antibody. Lane 1: human PC-3 whole cell lysates, Lane 2: human Hela whole cell lysates, Lane 3: human Caco-2 whole cell lysates, Lane 4: human 293T whole cell lysates. After electrophoresis, proteins were transferred to a nitrocellulose membrane at 150 mA for 50-90 minutes. Blocked the membrane with 5% non-fat milk/TBS for 1.5 hour at RT. The membrane was incubated with rabbit anti-MALSU1 antibody at 0.5 ug/ml overnight at 4oC, then washed with TBS-0.1%Tween 3 times with 5 minutes each and probed with a goat anti-rabbit IgG-HRP secondary antibody at a dilution of 1:5000 for 1.5 hour at RT. The signal was developed using enhanced chemiluminescent. The expected molecular weight of MALSU1 is ~26 kDa.
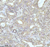
Immunohistochemical staining of MALSU1 using anti-MALSU1 antibody. MALSU1 was detected in a paraffin-embedded section of human liver cancer tissue. Heat mediated antigen retrieval was performed in EDTA buffer (pH 8.0, epitope retrieval solution). The tissue section was blocked with 10% goat serum. The tissue section was then incubated with 2 ug/ml rabbit anti-MALSU1 antibody overnight at 4oC. Peroxidase Conjugated Goat Anti-rabbit IgG was used as secondary antibody and incubated for 30 minutes at 37oC. The tissue section was developed using an HRP secondary and DAB substrate.
Immunohistochemical staining of MALSU1 using anti-MALSU1 antibody. MALSU1 was detected in a paraffin-embedded section of human liver cancer tissue. Heat mediated antigen retrieval was performed in EDTA buffer (pH 8.0, epitope retrieval solution). The tissue section was blocked with 10% goat serum. The tissue section was then incubated with 2 ug/ml rabbit anti-MALSU1 antibody overnight at 4oC. Peroxidase Conjugated Goat Anti-rabbit IgG was used as secondary antibody and incubated for 30 minutes at 37oC. The tissue section was developed using an HRP secondary and DAB substrate.
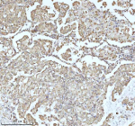
Immunohistochemical staining of MALSU1 using anti-MALSU1 antibody. MALSU1 was detected in a paraffin-embedded section of human lung adenocarcinoma tissue. Heat mediated antigen retrieval was performed in EDTA buffer (pH 8.0, epitope retrieval solution). The tissue section was blocked with 10% goat serum. The tissue section was then incubated with 2 ug/ml rabbit anti-MALSU1 antibody overnight at 4oC. Peroxidase Conjugated Goat Anti-rabbit IgG was used as secondary antibody and incubated for 30 minutes at 37oC. The tissue section was developed using an HRP secondary and DAB substrate.
Immunohistochemical staining of MALSU1 using anti-MALSU1 antibody. MALSU1 was detected in a paraffin-embedded section of human lung adenocarcinoma tissue. Heat mediated antigen retrieval was performed in EDTA buffer (pH 8.0, epitope retrieval solution). The tissue section was blocked with 10% goat serum. The tissue section was then incubated with 2 ug/ml rabbit anti-MALSU1 antibody overnight at 4oC. Peroxidase Conjugated Goat Anti-rabbit IgG was used as secondary antibody and incubated for 30 minutes at 37oC. The tissue section was developed using an HRP secondary and DAB substrate.
Immunohistochemical staining of MALSU1 using anti-MALSU1 antibody. MALSU1 was detected in a paraffin-embedded section of human placenta tissue. Heat mediated antigen retrieval was performed in EDTA buffer (pH 8.0, epitope retrieval solution). The tissue section was blocked with 10% goat serum. The tissue section was then incubated with 2 ug/ml rabbit anti-MALSU1 antibody overnight at 4oC. Peroxidase Conjugated Goat Anti-rabbit IgG was used as secondary antibody and incubated for 30 minutes at 37oC. The tissue section was developed using an HRP secondary and DAB substrate.
Immunohistochemical staining of MALSU1 using anti-MALSU1 antibody. MALSU1 was detected in a paraffin-embedded section of human placenta tissue. Heat mediated antigen retrieval was performed in EDTA buffer (pH 8.0, epitope retrieval solution). The tissue section was blocked with 10% goat serum. The tissue section was then incubated with 2 ug/ml rabbit anti-MALSU1 antibody overnight at 4oC. Peroxidase Conjugated Goat Anti-rabbit IgG was used as secondary antibody and incubated for 30 minutes at 37oC. The tissue section was developed using an HRP secondary and DAB substrate.
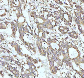
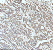
Immunohistochemical staining of MALSU1 using anti-MALSU1 antibody. MALSU1 was detected in a paraffin-embedded section of human prostate adenocarcinoma tissue. Heat mediated antigen retrieval was performed in EDTA buffer (pH 8.0, epitope retrieval solution). The tissue section was blocked with 10% goat serum. The tissue section was then incubated with 2 ug/ml rabbit anti-MALSU1 antibody overnight at 4oC. Peroxidase Conjugated Goat Anti-rabbit IgG was used as secondary antibody and incubated for 30 minutes at 37oC. The tissue section was developed using an HRP secondary and DAB substrate.
Immunohistochemical staining of MALSU1 using anti-MALSU1 antibody. MALSU1 was detected in a paraffin-embedded section of human prostate adenocarcinoma tissue. Heat mediated antigen retrieval was performed in EDTA buffer (pH 8.0, epitope retrieval solution). The tissue section was blocked with 10% goat serum. The tissue section was then incubated with 2 ug/ml rabbit anti-MALSU1 antibody overnight at 4oC. Peroxidase Conjugated Goat Anti-rabbit IgG was used as secondary antibody and incubated for 30 minutes at 37oC. The tissue section was developed using an HRP secondary and DAB substrate.
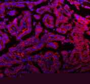
Immunofluorescent staining of FFPE human colon cancer tissue with MALSU1 antibody (red) and DAPI nuclear stain (blue). HIER: steam section in pH8 EDTA buffer for 20 min.
Immunofluorescent staining of FFPE human lung cancer tissue with MALSU1 antibody (red) and DAPI nuclear stain (blue). HIER: steam section in pH8 EDTA buffer for 20 min.
Flow cytometry analysis of fixed and permeabilized human 293T cells with MALSU1 antibody at 1ug/million cells (blocked with goat sera); Red=cells alone, Green=isotype control, Blue= MALSU1 antibody.
Flow cytometry analysis of fixed and permeabilized human HepG2 cells with MALSU1 antibody at 1ug/million cells (blocked with goat sera); Red=cells alone, Green=isotype control, Blue= MALSU1 antibody.
Availability 1-2 days
Species Reactivity Human
Format Lyophilized
Host Rabbit
Clonality Polyclonal (rabbit origin)
Isotype Rabbit IgG
Purity Immunogen affinity purified
Buffer Each vial contains 4 mg Trehalose, 0.9 mg NaCl, 0.2 mg Na2HPO4.
UniProt Q96EH3
Localization Cytoplasm (Mitochondria)
Applications ELISA : 0.1-0.5ug/ml
Flow Cytometry : 1-3ug/million cells
Immunofluorescence : 5ug/ml
Immunohistochemistry : 2-5ug/ml
Western Blot : 0.25-0.5ug/ml
Limitations This MALSU1 antibody is available for research use only.
Review this product on BioCompare and get a $20 Amazon gift card

Description

The MALSU1 antibody targets Mitochondrial assembly of ribosomal large subunit protein 1, a mitochondrial protein encoded by the MALSU1 gene. This factor participates in the biogenesis of the 39S mitochondrial ribosomal subunit and is essential for proper assembly of the mitochondrial translation machinery. Mitochondrial assembly of ribosomal large subunit protein 1 acts as a negative regulator that prevents premature subunit joining, ensuring accurate ribosome formation and translation initiation. The MALSU1 antibody allows researchers to study mitochondrial protein synthesis, ribosomal quality control, and bioenergetic regulation.

Mitochondrial assembly of ribosomal large subunit protein 1 interacts with mitochondrial ribosomal proteins and assembly chaperones such as GTPBP10 and L0R8F8. It forms part of a transient anti-association module that maintains 39S subunits in an assembly-competent state. The MALSU1 antibody supports localization and co-immunoprecipitation studies that clarify its role in controlling mitoribosome biogenesis. Loss of MALSU1 results in defective translation and respiratory-chain deficiency, highlighting its importance for mitochondrial function.

Because mitochondrial protein synthesis is required for oxidative phosphorylation, disruption of MALSU1 impairs ATP production and promotes metabolic dysfunction. The MALSU1 antibody supports functional analyses in models of mitochondrial disease, helping quantify expression and assembly defects. By stabilizing immature ribosomal subunits, MALSU1 safeguards the fidelity of mitochondrial translation, contributing to overall cellular energy homeostasis.

Beyond mitochondrial biogenesis, Mitochondrial assembly of ribosomal large subunit protein 1 has been implicated in apoptosis regulation and stress adaptation. Its expression increases during mitochondrial stress to support recovery of ribosome integrity. The MALSU1 antibody enables investigation of these adaptive responses, providing insight into how mitochondrial translation is coordinated with quality-control pathways.

The MALSU1 antibody performs effectively in western blotting, immunofluorescence, and immunohistochemistry, producing punctate mitochondrial staining consistent with its subcellular localization. NSJ Bioreagents provides this antibody as a validated, high-specificity reagent for mitochondrial biology, metabolism, and molecular-genetics research. By enabling precise detection of Mitochondrial assembly of ribosomal large subunit protein 1, the MALSU1 antibody supports discovery into mitochondrial ribosome assembly and its role in energy metabolism and disease.

Application Notes

Optimal dilution of the MALSU1 antibody should be determined by the researcher.

Immunogen

E.coli-derived human MALSU1 recombinant protein (Position: A30-E234) was used as the immunogen for the MALSU1 antibody.

Storage

After reconstitution, the MALSU1 antibody can be stored for up to one month at 4oC. For long-term, aliquot and store at -20oC. Avoid repeated freezing and thawing.

Cross
Bulk Quote Request Form
Name*:
Organization*:
Email*:
Phone Number*:
Catalog No.*:
Comments and Specifics(amount, formulation, etc.)*:
Validation code: Captchapackage Image


Can't read the image? click here to refresh.
    *required field

Your bulk quote request has been submitted successfully!

Please contact us if you have any questions.