• Tel: 858.663.9055
  • SeparatorEmail: info@nsjbio.com
  • Tel: 858.663.9055
  • Email: info@nsjbio.com
Home >> Antibodies >> MAGED4 Antibody / Melanoma-associated antigen D4

MAGED4 Antibody / Melanoma-associated antigen D4 (RQ8453)

  Catalog No Formulation Size Price (USD)  
Image RQ8453 0.5mg/ml if reconstituted with 0.2ml sterile DI water 100 ug 449
Bulk quote request
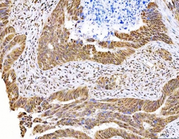
IHC staining of FFPE human bladder urothelial carcinoma tissue with MAGED4 antibody. HIER: boil tissue sections in pH8 EDTA for 20 min and allow to cool before testing.
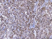
IHC staining of FFPE human adrenocortical adenoma tissue with MAGED4 antibody. HIER: boil tissue sections in pH8 EDTA for 20 min and allow to cool before testing.
Immunofluorescent staining of FFPE human A549 cells with MAGED4 antibody (red) and DAPI nuclear stain (blue). HIER: steam section in pH6 citrate buffer for 20 min.
Western blot testing of human 1) Jurkat, 2) A549, 3) HepG2 and 4) U-2 OS cell lysate with MAGED4 antibody. Predicted molecular weight ~81 kDa, commonly observed at 90-100 kDa.
Flow cytometry testing of fixed and permeabilized human HepG2 cells with MAGED4 antibody at 1ug/million cells (blocked with goat sera); Red=cells alone, Green=isotype control, Blue= MAGED4 antibody.
Availability 1-3 business days
Species Reactivity Human
Format Antigen affinity purified
Host Rabbit
Clonality Polyclonal (rabbit origin)
Isotype Rabbit IgG
Purity Antigen affinity purified
Buffer Lyophilized from 1X PBS with 2% Trehalose
UniProt Q96JG8
Localization Nuclear
Applications Western Blot : 0.5-1ug/ml
Immunohistochemistry (FFPE) : 2-5ug/ml
Immunofluorescence : 5ug/ml
Flow Cytometry : 1-3ug/million cells
ELISA : 0.1-0.5ug/ml
Limitations This MAGED4 antibody is available for research use only.
Review this product on BioCompare and get a $20 Amazon gift card

Description

MAGE family member D4 is a protein that in humans is encoded by the MAGED4 gene. MAGED4, originally termed MAGEE1, is a member of MAGE (Melanoma associated antigen) super-family identified by serial analysis of gene expression (SAGE) technique. Three isoforms (MAGED4a, b, and c) were produced by alternative splice in the process of gene transcription. This antibody raised against 1-350 aa of human MAGED4 protein detects a band of 90-100 kDa, which is larger than the calculated molecular weight. The slower electrophoretic mobility may be due to abnormal spatial conformation of MAGED4 protein caused by abundance of proline in composition.

Application Notes

Optimal dilution of the MAGED4 antibody should be determined by the researcher.

Immunogen

An E.coli-derived human recombinant protein (F51-R741) was used as the immunogen for the MAGED4 antibody.

Storage

After reconstitution, the MAGED4 antibody can be stored for up to one month at 4oC. For long-term, aliquot and store at -20oC. Avoid repeated freezing and thawing.

Cross
Bulk Quote Request Form
Name*:
Organization*:
Email*:
Phone Number*:
Catalog No.*:
Comments and Specifics(amount, formulation, etc.)*:
Validation code: Captchapackage Image


Can't read the image? click here to refresh.
    *required field

Your bulk quote request has been submitted successfully!

Please contact us if you have any questions.