• Tel: 858.663.9055
  • SeparatorEmail: info@nsjbio.com
  • Tel: 858.663.9055
  • Email: info@nsjbio.com
Home >> Antibodies >> MAD1 Antibody

MAD1 Antibody (R31675)

  Catalog No Formulation Size Price (USD)  
Image R31675 0.5mg/ml if reconstituted with 0.2ml sterile DI water 100 ug 449
Bulk quote request
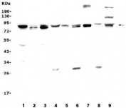
Western blot testing of 1) rat brain, 2) rat kidney, 3) rat lung, 4) rat liver, 5) mouse brain, 6) mouse kidney, 7) mouse lung, 8) mouse liver and 9) mouse NIH3T3 lysate. Predicted/observed molecular weight ~83 kDa.
Western blot testing of human 1) HeLa, 2) Raji, 3) Jurkat, 4) HepG2, 5) HL-60, 6) ThP-1, and 7) Caco-2 cell lysate. Predicted/observed molecular weight ~83 kDa.
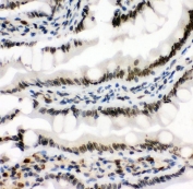
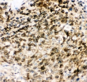
IHC staining of FFPE human intestine with MAD1 antibody. HIER: boil tissue sections in pH6, 10mM citrate buffer, for 20 min and allow to cool before testing.
IHC staining of FFPE mouse intestine with MAD1 antibody. HIER: boil tissue sections in pH6, 10mM citrate buffer, for 20 min and allow to cool before testing.
IHC staining of FFPE rat intestine with MAD1 antibody. HIER: boil tissue sections in pH6, 10mM citrate buffer, for 20 min and allow to cool before testing.
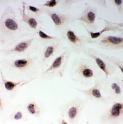
ICC staining of FFPE human HeLa cells with MAD1 antibody. HIER: boil tissue sections in pH6, 10mM citrate buffer, for 20 min and allow to cool before testing.
Flow cytometry testing of human A431 cells with MAD1 antibody at 1ug/million cells (blocked with goat sera); Red=cells alone, Green=isotype control, Blue= MAD1 antibody.
Immunofluorescent staining of FFPE human U-2 OS cells with MAD1 antibody (green) and DAPI nuclear stain (blue). HIER: steam section in pH6 citrate buffer for 20 min.
Availability 1-3 business days
Species Reactivity Human, Mouse, Rat
Format Antigen affinity purified
Host Rabbit
Clonality Polyclonal (rabbit origin)
Isotype Rabbit IgG
Purity Antigen affinity
Buffer Lyophilized from 1X PBS with 2.5% BSA and 0.025% sodium azide
UniProt Q9Y6D9
Gene ID 8379
Applications Western Blot : 0.5-1ug/ml
IHC (FFPE) : 0.5-1ug/ml
Flow Cytometry : 1-3ug/million cells
Immunocytochemistry (FFPE) : 1-2ug/ml
Immunofluorescence (FFPE) : 2-4ug/ml
Limitations This MAD1 antibody is available for research use only.
Review this product on BioCompare and get a $20 Amazon gift card

Description

Mitotic spindle assembly checkpoint protein MAD1 is a protein that in humans is encoded by the MAD1L1 gene. It is mapped to 7p22.3. MAD1 is a component of the mitotic spindle-assembly checkpoint that prevents the onset of anaphase until all chromosome are properly aligned at the metaphase plate. It can function as a homodimer. It localizes to the centrosome during metaphase and to the spindle midzone and the midbody during anaphase and telophase. MAD1 may also play a role in cell cycle control and tumor suppression.

Application Notes

The stated application concentrations are suggested starting amounts. Titration of the MAD1 antibody may be required due to differences in protocols and secondary/substrate sensitivity.

Immunogen

Human partial recombinant protein (AA 362-632) was used as the immunogen for this MAD1 antibody.

Storage

After reconstitution, the MAD1 antibody can be stored for up to one month at 4oC. For long-term, aliquot and store at -20oC. Avoid repeated freezing and thawing.

Cross
Bulk Quote Request Form
Name*:
Organization*:
Email*:
Phone Number*:
Catalog No.*:
Comments and Specifics(amount, formulation, etc.)*:
Validation code: Captchapackage Image


Can't read the image? click here to refresh.
    *required field

Your bulk quote request has been submitted successfully!

Please contact us if you have any questions.