• Tel: 858.663.9055
  • SeparatorEmail: info@nsjbio.com
  • Tel: 858.663.9055
  • Email: info@nsjbio.com
Home >> Antibodies >> Macrophage Antibody

Macrophage Antibody [clone LN-5] (V3066)

  Catalog No Formulation Size Price (USD)  
Image V3066-100UG 0.2 mg/ml in 1X PBS with 0.1 mg/ml BSA (US sourced) and 0.05% sodium azide 100 ug 559
Image
V3066-20UG 0.2 mg/ml in 1X PBS with 0.1 mg/ml BSA (US sourced) and 0.05% sodium azide 20 ug 259
Image
V3066SAF-100UG 1 mg/ml in 1X PBS; BSA free, sodium azide free 100 ug 559
Bulk quote request
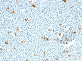
IHC: Formalin-fixed, paraffin-embedded human tonsil stained with Macrophage antibody (LN-5)
Availability 1-3 business days
Species Reactivity Human
Format Purified
Host Mouse
Clonality Monoclonal (mouse origin)
Isotype Mouse IgM, kappa
Clone Name LN-5
Purity PEG precipitation
Localization Cytoplasmic
Applications Immunohistochemistry (FFPE) : 0.1-0.2ug/ml for 30 min at RT
Limitations This Macrophage antibody is available for research use only.
Review this product on BioCompare and get a $20 Amazon gift card

Related Products

Description

This mAb stains the cytoplasm of macrophages and histiocytes in hematopoietic organs, Kupffer s cells of the liver and Langerhan s cells of the skin. Macrophages comprise of many forms of mononuclear phagocytes found in tissues. Mononuclear phagocytes arise from hematopoietic stem cells in the bone marrow. After passing through the monoblast and pro-monocyte states of the monocyte stage, they enter the blood, where they circulate for about 40 hours. They then enter tissues and increase in size, phagocytic activity, and lysosomal enzyme content becoming macrophages. Among the functions of macrophages are nonspecific phagocytosis and pinocytosis, specific phagocytosis of opsonized microorganisms mediated by Fc receptors and complement receptors, killing of ingested microorganisms, digestion and presentation of antigens to T and B lymphocytes, and secretion of a large number of diverse products, including many enzymes including lysozyme and collagenases, several complement components and coagulation factors, some prostaglandins and leukotrienes, and many regulatory molecules (Interferon, Interleukin 1). LN-5 selectively stains human sebaceous glands in formalin-fixed, paraffin-embedded skin samples. Undifferentiated sebocyte progenitors are negative, and only sebocytes from the onset of their differentiation reveal positive cytoplasmic staining. Since there are very few selective and easy-to-use markers of sebaceous glands, LN-5 antibody can offer a simple and relatively specific way to detect human sebocytes from the onset of their.

Application Notes

Optimal dilution of the Macrophage antibody should be determined by the researcher.

1. Staining of formalin-fixed tissues requires boiling tissue sections in 10mM Citrate buffer, pH 6.0, for 10-20 min followed by cooling at RT for 20 min.

Immunogen

Human peripheral blood mononuclear cells were used as the immunogen for the Macrophage antibody.

Storage

Store the Macrophage antibody at 2-8oC (with azide) or aliquot and store at -20oC or colder (without azide).

Cross
Bulk Quote Request Form
Name*:
Organization*:
Email*:
Phone Number*:
Catalog No.*:
Comments and Specifics(amount, formulation, etc.)*:
Validation code: Captchapackage Image


Can't read the image? click here to refresh.
    *required field

Your bulk quote request has been submitted successfully!

Please contact us if you have any questions.