• Tel: 858.663.9055
  • SeparatorEmail: info@nsjbio.com
  • Tel: 858.663.9055
  • Email: info@nsjbio.com
Home >> Antibodies >> MACROH2A2 Antibody / H2AFY2

MACROH2A2 Antibody / H2AFY2 (RQ8744)

  Catalog No Formulation Size Price (USD)  
Image RQ8744 0.5mg/ml if reconstituted with 0.2ml sterile DI water 100 ug 449
Bulk quote request
Immunofluorescent staining of FFPE human U-2 OS cells with MACROH2A2 antibody (red) and Beta Tubulin mAb (green). HIER: steam section in pH6 citrate buffer for 20 min.
IHC staining of FFPE human tonsil tissue with MACROH2A2 antibody. HIER: boil tissue sections in pH8 EDTA for 20 min and allow to cool before testing.
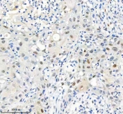
IHC staining of FFPE human liver cancer tissue with MACROH2A2 antibody. HIER: boil tissue sections in pH8 EDTA for 20 min and allow to cool before testing.
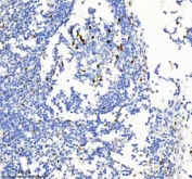
IHC staining of FFPE human urothelial carcinoma tissue with MACROH2A2 antibody. HIER: boil tissue sections in pH8 EDTA for 20 min and allow to cool before testing.
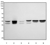
Western blot testing of 1) human HepG2, 2) human SH-SY5Y, 3) human PC-3, 4) human 293T, 5) rat brain and 6) mouse brain tissue lysate with MACROH2A2 antibody. Predicted molecular weight ~40 kDa with multiple smaller isoforms.
Flow cytometry testing of fixed and permeabilized human PC-3 cells with MACROH2A2 antibody at 1ug/million cells (blocked with goat sera); Red=cells alone, Green=isotype control, Blue= MACROH2A2 antibody.
Availability 1-3 days
Species Reactivity Human, Mouse, Rat
Format Antigen affinity purified
Host Rabbit
Clonality Polyclonal (rabbit origin)
Isotype Rabbit IgG
Purity Antigen affinity chromatography
Buffer Lyophilized from 1X PBS with 2% Trehalose
UniProt Q9P0M6
Localization Nuclear
Applications Western Blot : 1-2ug/ml
Immunohistochemistry (FFPE) : 2-5ug/ml
Immunofluorescence : 5ug/ml
Flow Cytometry : 1-3ug/million cells
ELISA : 0.1-0.5ug/ml
Limitations This MACROH2A2 antibody is available for research use only.
Review this product on BioCompare and get a $20 Amazon gift card

Description

Core histone macro-H2A.2 is a protein that in humans is encoded by the H2AFY2 gene. Histones are basic nuclear proteins that are responsible for the nucleosome structure of the chromosomal fiber in eukaryotes. Nucleosomes consist of approximately 146 bp of DNA wrapped around a histone octamer composed of pairs of each of the four core histones (H2A, H2B, H3, and H4). The chromatin fiber is further compacted through the interaction of a linker histone, H1, with the DNA between the nucleosomes to form higher order chromatin structures. This gene encodes a replication-independent histone that is a member of the histone H2A family. It replaces conventional H2A histones in a subset of nucleosomes where it represses transcription and may participate in stable X chromosome inactivation.

Application Notes

Optimal dilution of the MACROH2A2 antibody should be determined by the researcher.

Immunogen

An E.coli-derived human recombinant protein (amino acids D181-D340) was used as the immunogen for the MACROH2A2 antibody.

Storage

After reconstitution, the MACROH2A2 antibody can be stored for up to one month at 4oC. For long-term, aliquot and store at -20oC. Avoid repeated freezing and thawing.

Cross
Bulk Quote Request Form
Name*:
Organization*:
Email*:
Phone Number*:
Catalog No.*:
Comments and Specifics(amount, formulation, etc.)*:
Validation code: Captchapackage Image


Can't read the image? click here to refresh.
    *required field

Your bulk quote request has been submitted successfully!

Please contact us if you have any questions.