• Tel: 858.663.9055
  • SeparatorEmail: info@nsjbio.com
  • Tel: 858.663.9055
  • Email: info@nsjbio.com
Home >> Antibodies >> Lysozyme Antibody / Lyz1 / Lyz2

Lysozyme Antibody / Lyz1 / Lyz2 (FY12064)

  Catalog No Formulation Size Price (USD)  
Image FY12064 Adding 0.2 ml of distilled water will yield a concentration of 500 ug/ml 100 ug 449
Bulk quote request
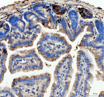
IHC analysis of Lysozyme using anti-Lysozyme antibody. Lysozyme was detected in a paraffin-embedded section of mouse colon tissue. Heat mediated antigen retrieval was performed in EDTA buffer (pH 8.0, epitope retrieval solution). The tissue section was blocked with 10% goat serum. The tissue section was then incubated with 2 ug/ml rabbit anti-Lysozyme antibody overnight at 4oC. Peroxidase Conjugated Goat Anti-rabbit IgG was used as secondary antibody and incubated for 30 minutes at 37oC. The tissue section was developed using an HRP secondary and DAB substrate.
Western blot analysis of Lyz1/2 using anti-Lysozyme antibody. Lane 1: mouse RAW264.7 whole cell lysates. After electrophoresis, proteins were transferred to a nitrocellulose membrane at 150 mA for 50-90 minutes. Blocked the membrane with 5% non-fat milk/TBS for 1.5 hour at RT. The membrane was incubated with rabbit anti-Lysozyme antibody at 0.5 ug/ml overnight at 4oC, then washed with TBS-0.1%Tween 3 times with 5 minutes each and probed with a goat anti-rabbit IgG-HRP secondary antibody at a dilution of 1:5000 for 1.5 hour at RT. The signal was developed using enhanced chemiluminescent. The expected band size for Lysozyme is at ~17 kDa (pre-proprotein) and ~14 kDa (mature form).
IHC analysis of Lysozyme using anti-Lysozyme antibody. Lysozyme was detected in a paraffin-embedded section of mouse colon tissue. Heat mediated antigen retrieval was performed in EDTA buffer (pH 8.0, epitope retrieval solution). The tissue section was blocked with 10% goat serum. The tissue section was then incubated with 2 ug/ml rabbit anti-Lysozyme antibody overnight at 4oC. Peroxidase Conjugated Goat Anti-rabbit IgG was used as secondary antibody and incubated for 30 minutes at 37oC. The tissue section was developed using an HRP secondary and DAB substrate.
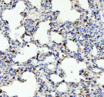
IHC analysis of Lysozyme using anti-Lysozyme antibody. Lysozyme was detected in a paraffin-embedded section of mouse lung tissue. Heat mediated antigen retrieval was performed in EDTA buffer (pH 8.0, epitope retrieval solution). The tissue section was blocked with 10% goat serum. The tissue section was then incubated with 2 ug/ml rabbit anti-Lysozyme antibody overnight at 4oC. Peroxidase Conjugated Goat Anti-rabbit IgG was used as secondary antibody and incubated for 30 minutes at 37oC. The tissue section was developed using an HRP secondary and DAB substrate.
IHC analysis of Lysozyme using anti-Lysozyme antibody. Lysozyme was detected in a paraffin-embedded section of rat lung tissue. Heat mediated antigen retrieval was performed in EDTA buffer (pH 8.0, epitope retrieval solution). The tissue section was blocked with 10% goat serum. The tissue section was then incubated with 2 ug/ml rabbit anti-Lysozyme antibody overnight at 4oC. Peroxidase Conjugated Goat Anti-rabbit IgG was used as secondary antibody and incubated for 30 minutes at 37oC. The tissue section was developed using an HRP secondary and DAB substrate.
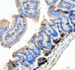
IHC analysis of Lysozyme using anti-Lysozyme antibody. Lysozyme was detected in a paraffin-embedded section of rat colon tissue. Heat mediated antigen retrieval was performed in EDTA buffer (pH 8.0, epitope retrieval solution). The tissue section was blocked with 10% goat serum. The tissue section was then incubated with 2 ug/ml rabbit anti-Lysozyme antibody overnight at 4oC. Peroxidase Conjugated Goat Anti-rabbit IgG was used as secondary antibody and incubated for 30 minutes at 37oC. The tissue section was developed using an HRP secondary and DAB substrate.
Availability 1-2 days
Species Reactivity Mouse, Rat
Format Lyophilized
Host Rabbit
Clonality Polyclonal (rabbit origin)
Isotype Rabbit IgG
Purity Immunogen affinity purified
Buffer Each vial contains 4 mg Trehalose, 0.9 mg NaCl, 0.2 mg Na2HPO4.
UniProt P17897 , P08905
Applications Western Blot : 0.25-0.5ug/ml
Immunohistochemistry : 2-5ug/ml
ELISA : 0.1-0.5ug/ml
Limitations This Lysozyme antibody is available for research use only.
Review this product on BioCompare and get a $20 Amazon gift card

Description

Lysozyme antibody detects Lysozyme, encoded by the LYZ gene in human and by two closely related genes, Lyz1 and Lyz2, in mouse. Lysozyme is a secreted enzyme that cleaves bacterial peptidoglycan, serving as a critical effector of innate immunity. Lysozyme antibody provides researchers with a widely used reagent for studying antimicrobial defense, innate immune responses, and myeloid cell biology.

Lysozyme is one of the most abundant proteins in neutrophils, macrophages, and secretions such as saliva, tears, and mucus. Research using Lysozyme antibody has shown that it hydrolyzes the beta-1,4-glycosidic bonds in bacterial cell walls, leading to lysis of Gram-positive bacteria and contributing to host defense. This antimicrobial activity makes Lysozyme a frontline defense factor in mucosal immunity.

Studies with Lysozyme antibody have revealed that beyond antimicrobial activity, Lysozyme contributes to modulation of inflammation. It regulates cytokine release, scavenges bacterial products, and influences macrophage polarization. This dual antimicrobial and immunomodulatory role underscores its importance in both acute infection and chronic inflammation.

Dysregulation of Lysozyme has been linked to disease. Research using Lysozyme antibody has shown that mutations in the human LYZ gene can cause hereditary systemic amyloidosis, characterized by Lysozyme amyloid deposits in the kidney, liver, and gastrointestinal tract. Elevated Lysozyme expression has been observed in leukemia and inflammatory disorders, where it can serve as a biomarker of disease activity. Mouse models using Lyz1 and Lyz2 further highlight the importance of Lysozyme in host-pathogen interactions.

Lysozyme antibody is commonly used in immunohistochemistry, immunofluorescence, and western blotting. Immunohistochemistry highlights myeloid cell populations in tissue sections, immunofluorescence demonstrates localization in macrophages and neutrophils, and western blotting quantifies expression across tissues and disease models. These applications make Lysozyme antibody indispensable in immunology and infection research.

By providing validated Lysozyme antibody reagents, NSJ Bioreagents supports studies into host defense, innate immunity, and disease. Detection of Lysozyme provides researchers with insight into how antimicrobial enzymes shape immunity and pathology.

Application Notes

Optimal dilution of the Lysozyme antibody should be determined by the researcher.

Immunogen

E.coli-derived mouse Lyz1/2 recombinant protein (Position: K19-V148) was used as the immunogen for the Lysozyme antibody.

Storage

After reconstitution, the Lysozyme antibody can be stored for up to one month at 4oC. For long-term, aliquot and store at -20oC. Avoid repeated freezing and thawing.

Cross
Bulk Quote Request Form
Name*:
Organization*:
Email*:
Phone Number*:
Catalog No.*:
Comments and Specifics(amount, formulation, etc.)*:
Validation code: Captchapackage Image


Can't read the image? click here to refresh.
    *required field

Your bulk quote request has been submitted successfully!

Please contact us if you have any questions.