• Tel: 858.663.9055
  • SeparatorEmail: info@nsjbio.com
  • Tel: 858.663.9055
  • Email: info@nsjbio.com
Home >> Antibodies >> Lyn Antibody

Lyn Antibody (F44015)

  Catalog No Formulation Size Price (USD)  
Image F44015-0.4ML In 1X PBS, pH 7.4, with 0.09% sodium azide 0.4 ml 439
Image
F44015-0.08ML In 1X PBS, pH 7.4, with 0.09% sodium azide 0.08 ml 205
Bulk quote request
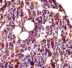
Lyn antibody immunohistochemistry analysis in formalin fixed and paraffin embedded mouse bone (femur).
Lyn antibody western blot analysis in mouse bladder tissue lysate. Predicted molecular weight ~58 kDa.
Availability 1-3 business days
Species Reactivity Mouse
Format Antigen affinity purified
Host Rabbit
Clonality Polyclonal (rabbit origin)
Isotype Rabbit Ig
Purity Antigen affinity
UniProt P25911
Localization Cytoplasmic, nuclear, cell membrane
Applications Western Blot : 1:1000
IHC (Paraffin) : 1:10-1:50
Limitations This Lyn antibody is available for research use only.
Review this product on BioCompare and get a $20 Amazon gift card

Related Products

  • Applications : WB
    Reactivity : Human, Mouse, Rat
    Recrabbitmono
  • Applications : WB, ELISA
    Reactivity : Human
  • Applications : IHC, WB, FACS, ELISA
    Reactivity : Human
  • Applications : WB, IHC, ELISA
    Reactivity : Human, Mouse, Rat
  • Applications : WB, ELISA
    Reactivity : Human
    Pred. Reactivity : Rat
  • Applications : WB, ELISA (peptide)
    Reactivity : Human
    Pred. Reactivity : Cow
  • Applications : WB, IHC-P
    Reactivity : Human, Mouse, Rat

Description

Lyn acts as a positive regulator of cell movement while negatively regulating adhesion to stromal cells by inhibiting the ICAM-1-binding activity of beta-2 integrins. Acts as the mediator that relays suppressing signals from the chemokine receptor CXCR4 to beta-2 integrin LFA-1 in hematopoietic precursors. Involved in induction of stress-activated protein kinase (SAPK), but not ERK or p38 MAPK, in response to genotoxic agents. Induces SAPK by a MKK7-and MEKK1-dependent mechanism. The LYN -> MEKK1 -> MKK7 -> SAPK pathway is functional in the induction of apoptosis by genotoxic agents (By similarity). Down regulates expression of stem cell growth factor receptor (KIT). Acts as an effector of EpoR (erythropoietin receptor) in controlling KIT expression and may play a central role in erythroid differentiation during the switch between proliferation and maturation.

Application Notes

Titration of the Lyn antibody may be required due to differences in protocols and secondary/substrate sensitivity.

Immunogen

A portion of amino acids 1-30 from the mouse protein was used as the immunogen for this Lyn antibody.

Storage

Aliquot the Lyn antibody and store frozen at -20oC or colder. Avoid repeated freeze-thaw cycles.

Cross
Bulk Quote Request Form
Name*:
Organization*:
Email*:
Phone Number*:
Catalog No.*:
Comments and Specifics(amount, formulation, etc.)*:
Validation code: Captchapackage Image


Can't read the image? click here to refresh.
    *required field

Your bulk quote request has been submitted successfully!

Please contact us if you have any questions.