• Tel: 858.663.9055
  • SeparatorEmail: info@nsjbio.com
  • Tel: 858.663.9055
  • Email: info@nsjbio.com
Home >> Antibodies >> LYN Antibody (C-Terminal Region)

LYN Antibody (C-Terminal Region) (R32899)

  Catalog No Formulation Size Price (USD)  
Image R32899 0.5mg/ml if reconstituted with 0.2ml sterile DI water 100 ug 449
Bulk quote request
Western blot testing of human 293T cell lysate with LYN antibody at 0.5ug/ml. Predicted molecular weight ~53 kDa (p53lyn), ~56 kDa (p56lyn).
IHC testing of FFPE human tonsil tissue with LYN antibody at 1ug/ml. Required HIER: steam section in pH6 citrate buffer for 20 min and allow to cool prior to testing.
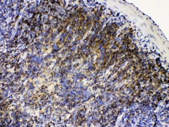
IHC testing of FFPE mouse spleen tissue with LYN antibody at 1ug/ml. Required HIER: steam section in pH6 citrate buffer for 20 min and allow to cool prior to testing.
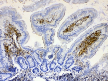
IHC testing of FFPE mouse intestine tissue with LYN antibody at 1ug/ml. Required HIER: steam section in pH6 citrate buffer for 20 min and allow to cool prior to testing.
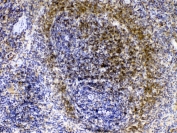
IHC testing of FFPE rat lymph tissue with LYN antibody at 1ug/ml. Required HIER: steam section in pH6 citrate buffer for 20 min and allow to cool prior to testing.
IHC testing of FFPE rat spleen tissue with LYN antibody at 1ug/ml. Required HIER: steam section in pH6 citrate buffer for 20 min and allow to cool prior to testing.
Availability 1-3 business days
Species Reactivity Human, Mouse, Rat
Format Antigen affinity purified
Host Rabbit
Clonality Polyclonal (rabbit origin)
Isotype Rabbit IgG
Purity Antigen affinity
Buffer Lyophilized from 1X PBS with 2% Trehalose and 0.025% sodium azide
UniProt P07948
Localization Cytoplasmic, nuclear, cell membrane
Applications Western Blot : 0.5-1ug/ml
Immunohistochemistry (FFPE) : 1-2ug/ml
Limitations This LYN antibody is available for research use only.
Review this product on BioCompare and get a $20 Amazon gift card

Related Products

Description

Tyrosine-protein kinase Lyn is a protein that in humans is encoded in humans by the LYN gene. It is mapped to 8q12.1. Lyn is a member of the Src family of protein tyrosine kinases. In various hematopoietic cells, Lyn has emerged as a key enzyme involved in the regulation of cell activation. Lyn has been described to have an inhibitory role in myeloid lineage proliferation.

Application Notes

Optimal dilution of the LYN antibody should be determined by the researcher.

Immunogen

Amino acids 470-501 (DELYDIMKMCWKEKAEERPTFDYLQSVLDDFY) were used as the immunogen for the LYN antibody.

Storage

After reconstitution, the LYN antibody can be stored for up to one month at 4oC. For long-term, aliquot and store at -20oC. Avoid repeated freezing and thawing.

Cross
Bulk Quote Request Form
Name*:
Organization*:
Email*:
Phone Number*:
Catalog No.*:
Comments and Specifics(amount, formulation, etc.)*:
Validation code: Captchapackage Image


Can't read the image? click here to refresh.
    *required field

Your bulk quote request has been submitted successfully!

Please contact us if you have any questions.