• Tel: 858.663.9055
  • SeparatorEmail: info@nsjbio.com
  • Tel: 858.663.9055
  • Email: info@nsjbio.com
Home >> Antibodies >> Lymphoid enhancer-binding factor 1 Antibody / LEF1 / TCF1 alpha

Lymphoid enhancer-binding factor 1 Antibody / LEF1 / TCF1 alpha [clone LEF1/8629R] (V5057)

  Catalog No Formulation Size Price (USD)  
Image V5057-100UG 0.2 mg/ml in 1X PBS with 0.1 mg/ml BSA (US sourced), 0.05% sodium azide 100 ug 559
Image
V5057-20UG 0.2 mg/ml in 1X PBS with 0.1 mg/ml BSA (US sourced), 0.05% sodium azide 20 ug 259
Image
V5057SAF-100UG 1 mg/ml in 1X PBS; BSA free, sodium azide free 100 ug 559
Microvalidated Recrabbitmono
Bulk quote request
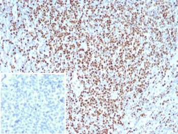
IHC staining of FFPE analysis of human tonsil tissue with Lymphoid enhancer-binding factor 1 antibody (clone LEF1/8629R). Strong nuclear staining of non-germinal center cells observed. Inset: PBS used in place of primary Ab (secondary Ab negative control). HIER: boil tissue sections in pH 9 10mM Tris with 1mM EDTA for 20 min and allow to cool before testing.
SDS-PAGE analysis of purified, BSA-free Lymphoid enhancer-binding factor 1 antibody (clone LEF1/8629R) as confirmation of integrity and purity.
Availability 1-3 business days
Species Reactivity Human
Format Purified
Host Rabbit
Clonality Recombinant Rabbit Monoclonal
Isotype Rabbit IgG, kappa
Clone Name LEF1/8629R
Purity Protein A/G affinity
UniProt Q9UJU2
Localization Nucleus
Applications Immunohistochemistry (FFPE) : 1-2ug/ml for 30 min at RT
Limitations This Lymphoid enhancer-binding factor 1 antibody is available for research use only.
Review this product on BioCompare and get a $20 Amazon gift card

Related Products

Description

Lymphoid Enhancing Factor 1 (LEF1) is a transcription factor that belongs to the TCF/LEF family. LEF1 participates as a regulator in Wnt signaling pathways. LEF1 is an important factor in lymphopoiesis and is expressed normally in T and pro-B cells but not expressed in mature B cells.Anti-LEF1 may be used as an aid for differentiation of chronic lymphocytic leukemia/small lymphocytic lymphoma from other small B cell lymphomas.

Application Notes

Optimal dilution of the Lymphoid enhancer-binding factor 1 antibody should be determined by the researcher.

Immunogen

A recombinant partial protein sequence (within amino acids 1-300) from the human protein was used as the immunogen for the Lymphoid enhancer-binding factor 1 antibody.

Storage

Aliquot the Lymphoid enhancer-binding factor 1 antibody and store frozen at -20oC or colder. Avoid repeated freeze-thaw cycles.

Cross
Bulk Quote Request Form
Name*:
Organization*:
Email*:
Phone Number*:
Catalog No.*:
Comments and Specifics(amount, formulation, etc.)*:
Validation code: Captchapackage Image


Can't read the image? click here to refresh.
    *required field

Your bulk quote request has been submitted successfully!

Please contact us if you have any questions.