• Tel: 858.663.9055
  • SeparatorEmail: info@nsjbio.com
  • Tel: 858.663.9055
  • Email: info@nsjbio.com
Home >> Antibodies >> LY6D Antibody / Lymphocyte antigen 6D

LY6D Antibody / Lymphocyte antigen 6D (FY12090)

  Catalog No Formulation Size Price (USD)  
Image FY12090 Adding 0.2 ml of distilled water will yield a concentration of 500 ug/ml 100 ug 449
Bulk quote request
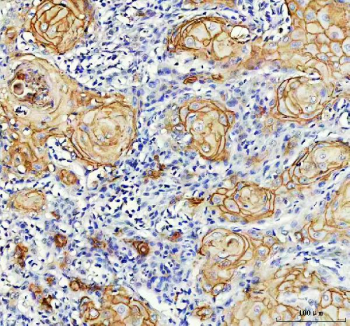
IHC analysis of LY6D using anti-LY6D antibody. LY6D was detected in a paraffin-embedded section of human skin cancer tissue. Heat mediated antigen retrieval was performed in EDTA buffer (pH 8.0, epitope retrieval solution). The tissue section was blocked with 10% goat serum. The tissue section was then incubated with 2 ug/ml rabbit anti-LY6D antibody overnight at 4oC. Peroxidase Conjugated Goat Anti-rabbit IgG was used as secondary antibody and incubated for 30 minutes at 37oC. The tissue section was developed using an HRP secondary and DAB substrate.
Western blot analysis of LY6D using anti-LY6D antibody. Lane 1: human whole cell lysates. After electrophoresis, proteins were transferred to a nitrocellulose membrane at 150 mA for 50-90 minutes. Blocked the membrane with 5% non-fat milk/TBS for 1.5 hour at RT. The membrane was incubated with rabbit anti-LY6D antibody at 0.25 ug/ml overnight at 4oC, then washed with TBS-0.1%Tween 3 times with 5 minutes each and probed with a goat anti-rabbit IgG-HRP secondary antibody at a dilution of 1:5000 for 1.5 hour at RT. The signal was developed using enhanced chemiluminescent. The expected band size for LY6D is at 13 kDa but can be observed at 15-17 kDa due to glycosylation.
Availability 1-2 days
Species Reactivity Human
Format Lyophilized
Host Rabbit
Clonality Polyclonal (rabbit origin)
Isotype Rabbit IgG
Purity Immunogen affinity purified
Buffer Each vial contains 4 mg Trehalose, 0.9 mg NaCl, 0.2 mg Na2HPO4.
UniProt Q14210
Localization Cell membrane
Applications Western Blot : 0.25-0.5ug/ml
Immunohistochemistry : 2-5ug/ml
ELISA : 0.1-0.5ug/ml
Limitations This LY6D antibody is available for research use only.
Review this product on BioCompare and get a $20 Amazon gift card

Description

LY6D antibody detects Lymphocyte antigen 6D, encoded by the LY6D gene. Lymphocyte antigen 6D is a glycosylphosphatidylinositol-anchored cell surface protein of the LY6/uPAR family, expressed in epithelial cells and lymphoid precursors. LY6D antibody provides researchers with a specific reagent for studying epithelial differentiation, lymphoid specification, and cancer biology.

Lymphocyte antigen 6D belongs to a family of GPI-anchored proteins characterized by the LY6/uPAR domain. Research using LY6D antibody has shown that it is expressed in epithelial cells of skin and mucosa, where it contributes to barrier formation and differentiation. In the hematopoietic system, LY6D marks early B cell precursors and distinguishes B lineage commitment from alternative lymphoid fates.

Studies with LY6D antibody have revealed that LY6D serves as a robust marker of B cell development in both mice and humans. Expression of LY6D indicates initiation of the B cell program, allowing identification of common lymphoid progenitors committed to B lineage. This makes LY6D antibody an important tool for immunology research and flow cytometric analysis of hematopoiesis.

Dysregulation of Lymphocyte antigen 6D has been associated with cancer and immune disorders. Research using LY6D antibody has shown that it is overexpressed in squamous cell carcinomas of head, neck, and esophagus, where it promotes tumor growth and invasion. In addition, LY6D has been proposed as a diagnostic biomarker and potential therapeutic target in epithelial cancers. Its expression in immune precursors also makes it relevant in studies of immune reconstitution and leukemia.

LY6D antibody is widely applied in flow cytometry, immunohistochemistry, and western blotting. Flow cytometry identifies B lineage progenitors, immunohistochemistry highlights epithelial expression in normal and tumor tissues, and western blotting quantifies levels across developmental and disease states. These applications make LY6D antibody indispensable for immunology and cancer research.

By providing validated LY6D antibody reagents, NSJ Bioreagents supports studies into epithelial differentiation, B cell biology, and cancer. Detection of Lymphocyte antigen 6D provides researchers with insight into how cell surface antigens regulate immunity and tumor progression.

Application Notes

Optimal dilution of the LY6D antibody should be determined by the researcher.

Immunogen

E.coli-derived human LY6D recombinant protein (Position: L21-L111) was used as the immunogen for the LY6D antibody.

Storage

After reconstitution, the LY6D antibody can be stored for up to one month at 4oC. For long-term, aliquot and store at -20oC. Avoid repeated freezing and thawing.

Cross
Bulk Quote Request Form
Name*:
Organization*:
Email*:
Phone Number*:
Catalog No.*:
Comments and Specifics(amount, formulation, etc.)*:
Validation code: Captchapackage Image


Can't read the image? click here to refresh.
    *required field

Your bulk quote request has been submitted successfully!

Please contact us if you have any questions.