• Tel: 858.663.9055
  • SeparatorEmail: info@nsjbio.com
  • Tel: 858.663.9055
  • Email: info@nsjbio.com
Home >> Antibodies >> LUC7L3 Antibody / Luc7-like protein 3 / CROP

LUC7L3 Antibody / Luc7-like protein 3 / CROP (RQ8479)

  Catalog No Formulation Size Price (USD)  
Image RQ8479 0.5mg/ml if reconstituted with 0.2ml sterile DI water 100 ug 449
Bulk quote request
Immunofluorescent staining of FFPE human U-2 OS cells with LUC7L3 antibody (green) and Beta Tubulin mAb (red). HIER: steam section in pH6 citrate buffer for 20 min.
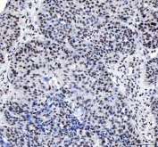
IHC staining of FFPE human ovarian serous adenocarcinoma tissue with LUC7L3 antibody. HIER: boil tissue sections in pH8 EDTA for 20 min and allow to cool before testing.
IHC staining of FFPE human large B-cell lymphoma of the colon with LUC7L3 antibody. HIER: boil tissue sections in pH8 EDTA for 20 min and allow to cool before testing.
IHC staining of FFPE human highly differentiated adenocarcinoma of the colon with LUC7L3 antibody. HIER: boil tissue sections in pH8 EDTA for 20 min and allow to cool before testing.
IHC staining of FFPE human liver cancer tissue with LUC7L3 antibody. HIER: boil tissue sections in pH8 EDTA for 20 min and allow to cool before testing.
IHC staining of FFPE human lung cancer tissue with LUC7L3 antibody. HIER: boil tissue sections in pH8 EDTA for 20 min and allow to cool before testing.
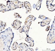
IHC staining of FFPE human placental tissue with LUC7L3 antibody. HIER: boil tissue sections in pH8 EDTA for 20 min and allow to cool before testing.
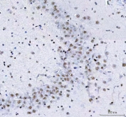
IHC staining of FFPE mouse brain tissue with LUC7L3 antibody. HIER: boil tissue sections in pH8 EDTA for 20 min and allow to cool before testing.
IHC staining of FFPE mouse brain tissue with LUC7L3 antibody. HIER: boil tissue sections in pH8 EDTA for 20 min and allow to cool before testing.
IHC staining of FFPE rat brain tissue with LUC7L3 antibody. HIER: boil tissue sections in pH8 EDTA for 20 min and allow to cool before testing.
IHC staining of FFPE rat brain tissue with LUC7L3 antibody. HIER: boil tissue sections in pH8 EDTA for 20 min and allow to cool before testing.
Western blot testing of human 1) HepG2, 2) Jurkat, 3) HeLa and 4) U-2 OS cell lysate with LUC7L3 antibody. Predicted molecular weight ~51 kDa.
Flow cytometry testing of fixed and permeabilized human JK cells with LUC7L3 antibody at 1ug/million cells (blocked with goat sera); Red=cells alone, Green=isotype control, Blue= LUC7L3 antibody.
Availability 1-3 days
Species Reactivity Human, Mouse, Rat
Format Antigen affinity purified
Host Rabbit
Clonality Polyclonal (rabbit origin)
Isotype Rabbit IgG
Purity Antigen affinity purified
Buffer Lyophilized from 1X PBS with 2% Trehalose
UniProt O95232
Localization Nuclear
Applications Western Blot : 0.5-1ug/ml
Immunohistochemistry (FFPE) : 2-5ug/ml
Immunofluorescence : 5ug/ml
Flow Cytometry : 1-3ug/million cells
ELISA : 0.1-0.5ug/ml
Limitations This LUC7L3 antibody is available for research use only.
Review this product on BioCompare and get a $20 Amazon gift card

Related Products

Description

LUC7 like 3 pre-mRNA splicing factor (LUC7L3), also known as Cisplatin resistance-associated overexpressed protein, or CROP, is a human gene. This gene encodes a protein with an N-terminal half that contains cysteine/histidine motifs and leucine zipper-like repeats, and the C-terminal half is rich in arginine and glutamate residues (RE domain) and arginine and serine residues (RS domain). This protein localizes with a speckled pattern in the nucleus, and could be involved in the formation of splicesome via the RE and RS domains. Two alternatively spliced transcript variants encoding the same protein have been found for this gene.

Application Notes

Optimal dilution of the LUC7L3 antibody should be determined by the researcher.

Immunogen

An E.coli-derived human recombinant protein (amino acids D30-H211) was used as the immunogen for the LUC7L3 antibody.

Storage

After reconstitution, the LUC7L3 antibody can be stored for up to one month at 4oC. For long-term, aliquot and store at -20oC. Avoid repeated freezing and thawing.

Cross
Bulk Quote Request Form
Name*:
Organization*:
Email*:
Phone Number*:
Catalog No.*:
Comments and Specifics(amount, formulation, etc.)*:
Validation code: Captchapackage Image


Can't read the image? click here to refresh.
    *required field

Your bulk quote request has been submitted successfully!

Please contact us if you have any questions.