• Tel: 858.663.9055
  • SeparatorEmail: info@nsjbio.com
  • Tel: 858.663.9055
  • Email: info@nsjbio.com
Home >> Antibodies >> LSR Antibody / Lipolysis-stimulated lipoprotein receptor

LSR Antibody / Lipolysis-stimulated lipoprotein receptor (RQ6652)

  Catalog No Formulation Size Price (USD)  
Image RQ6652 0.5mg/ml if reconstituted with 0.2ml sterile DI water 100 ug 449
Bulk quote request
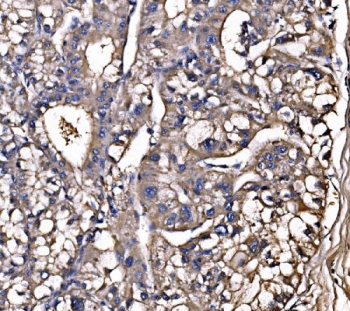
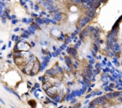
IHC staining of FFPE human liver cancer tissue with LSR antibody. HIER: boil tissue sections in pH8 EDTA for 20 min and allow to cool before testing.
IHC staining of FFPE human breast cancer tissue with LSR antibody. HIER: boil tissue sections in pH8 EDTA for 20 min and allow to cool before testing.
IHC staining of FFPE mouse colon tissue with LSR antibody. HIER: boil tissue sections in pH8 EDTA for 20 min and allow to cool before testing.
IHC staining of FFPE rat colon tissue with LSR antibody. HIER: boil tissue sections in pH8 EDTA for 20 min and allow to cool before testing.
Immunofluorescent staining of FFPE human A431 cells with LSR antibody (green) and DAPI nuclear stain (blue). HIER: steam section in pH6 citrate buffer for 20 min.
Western blot testing of 1) human HepG2, 2) human Caco-2, 3) human RT4, 4) rat liver, 5) rat RH35, 6) mouse liver and 7) mouse HEPA1-6 cell lysate with LSR antibody. Predicted molecular weight: 54-71 kDa (multiple isoforms).
Flow cytometry testing of human MCF7 cells with LSR antibody at 1ug/million cells (blocked with goat sera); Red=cells alone, Green=isotype control, Blue= LSR antibody.
Availability 1-3 business days
Species Reactivity Human, Mouse, Rat
Format Antigen affinity purified
Host Rabbit
Clonality Polyclonal (rabbit origin)
Isotype Rabbit IgG
Purity Antigen affinity purified
Buffer Lyophilized from 1X PBS with 2% Trehalose
UniProt Q86X29
Localization Cell membrane, cytoplasmic, nuclear
Applications Western Blot : 1-2ug/ml
Immunohistochemistry (FFPE) : 2-5ug/ml
Direct ELISA : 0.1-0.5ug/ml
Limitations This LSR antibody is available for research use only.
Review this product on BioCompare and get a $20 Amazon gift card

Related Products

Description

Lipolysis-stimulated lipoprotein receptor is a protein that in humans is encoded by the LSR gene. LSR has a probable role in the clearance of triglyceride-rich lipoprotein from blood. It binds chylomicrons, LDL and VLDL in presence of free fatty acids and allows their subsequent uptake in the cells.

Application Notes

Optimal dilution of the LSR antibody should be determined by the researcher.

Immunogen

Recombinant human protein (amino acids M1-V649) was used as the immunogen for the LSR antibody.

Storage

After reconstitution, the LSR antibody can be stored for up to one month at 4oC. For long-term, aliquot and store at -20oC. Avoid repeated freezing and thawing.

Cross
Bulk Quote Request Form
Name*:
Organization*:
Email*:
Phone Number*:
Catalog No.*:
Comments and Specifics(amount, formulation, etc.)*:
Validation code: Captchapackage Image


Can't read the image? click here to refresh.
    *required field

Your bulk quote request has been submitted successfully!

Please contact us if you have any questions.