• Tel: 858.663.9055
  • SeparatorEmail: info@nsjbio.com
  • Tel: 858.663.9055
  • Email: info@nsjbio.com
Home >> Antibodies >> LSM5 Antibody

LSM5 Antibody (RQ6141)

  Catalog No Formulation Size Price (USD)  
Image RQ6141 0.5mg/ml if reconstituted with 0.2ml sterile DI water 100 ug 449
Bulk quote request
IHC staining of FFPE human ovarian cancer with LSM5 antibody. HIER: boil tissue sections in pH8 EDTA for 20 min and allow to cool before testing.
IHC staining of FFPE human renal carcinoma with LSM5 antibody. HIER: boil tissue sections in pH8 EDTA for 20 min and allow to cool before testing.
IHC staining of FFPE human melanoma with LSM5 antibody. HIER: boil tissue sections in pH8 EDTA for 20 min and allow to cool before testing.
IHC staining of FFPE human appendicitis tissue with LSM5 antibody. HIER: boil tissue sections in pH8 EDTA for 20 min and allow to cool before testing.
IHC staining of FFPE human lung cancer with LSM5 antibody. HIER: boil tissue sections in pH8 EDTA for 20 min and allow to cool before testing.
IHC staining of FFPE human bladder cancer with LSM5 antibody. HIER: boil tissue sections in pH8 EDTA for 20 min and allow to cool before testing.
IHC staining of FFPE human rectal cancer with LSM5 antibody. HIER: boil tissue sections in pH8 EDTA for 20 min and allow to cool before testing.
IHC staining of FFPE rat liver with LSM5 antibody. HIER: boil tissue sections in pH8 EDTA for 20 min and allow to cool before testing.
Immunofluorescent staining of FFPE human MCF7 cells with LSM5 antibody (green) and DAPI nuclear stain (blue). HIER: steam section in pH6 citrate buffer for 20 min.
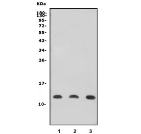
Western blot testing of human 1) HL60, 2) K562 and 3) MCF7 cell lysate with LSM5 antibody. Predicted molecular weight ~12 kDa.
Flow cytometry testing of human A431 cells with LSM5 antibody at 1ug/million cells (blocked with goat sera); Red=cells alone, Green=isotype control, Blue= LSM5 antibody.
Flow cytometry testing of mouse HEPA1-6 cells with LSM5 antibody at 1ug/million cells (blocked with goat sera); Red=cells alone, Green=isotype control, Blue= LSM5 antibody.
Availability 1-3 business days
Species Reactivity Human, Mouse
Format Antigen affinity purified
Host Rabbit
Clonality Polyclonal (rabbit origin)
Isotype Rabbit IgG
Purity Affinity purified
Buffer Lyophilized from 1X PBS with 2% Trehalose and 0.025% sodium azide
UniProt Q9Y4Y9
Localization Nuclear
Applications Western Blot : 1-2ug/ml
Immunohistochemistry (FFPE) : 2-5ug/ml
Immunofluorescence : 5ug/ml
Flow Cytometry : 1-3ug/million cells
Direct ELISA : 0.1-0.5ug/ml
Limitations This LSM5 antibody is available for research use only.
Review this product on BioCompare and get a $20 Amazon gift card

Description

U6 snRNA-associated Sm-like protein LSm5 is a protein that in humans is encoded by the LSM5 gene. Sm-like proteins were identified in a variety of organisms based on sequence homology with the Sm protein family. Sm-like proteins contain the Sm sequence motif, which consists of 2 regions separated by a linker of variable length that folds as a loop. The Sm-like proteins are thought to form a stable heteromer present in tri-snRNP particles, which are important for pre-mRNA splicing.

Application Notes

Optimal dilution of the LSM5 antibody should be determined by the researcher.

Immunogen

A human recombinant partial protein (amino acids N8-V91) was used as the immunogen for the LSM5 antibody.

Storage

After reconstitution, the LSM5 antibody can be stored for up to one month at 4oC. For long-term, aliquot and store at -20oC. Avoid repeated freezing and thawing.

Cross
Bulk Quote Request Form
Name*:
Organization*:
Email*:
Phone Number*:
Catalog No.*:
Comments and Specifics(amount, formulation, etc.)*:
Validation code: Captchapackage Image


Can't read the image? click here to refresh.
    *required field

Your bulk quote request has been submitted successfully!

Please contact us if you have any questions.