• Tel: 858.663.9055
  • SeparatorEmail: info@nsjbio.com
  • Tel: 858.663.9055
  • Email: info@nsjbio.com
Home >> Antibodies >> LSM2 Antibody

LSM2 Antibody (RQ5825)

  Catalog No Formulation Size Price (USD)  
Image RQ5825 0.5mg/ml if reconstituted with 0.2ml sterile DI water 100 ug 449
Bulk quote request
Immunofluorescent staining of FFPE human MCF7 cells with LSM2 antibody (green) and DAPI nuclear stain (blue). HIER: steam section in pH6 citrate buffer for 20 min.
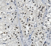
IHC staining of FFPE human appendicitis tissue with LSM2 antibody. HIER: boil tissue sections in pH8 EDTA for 20 min and allow to cool before testing.
IHC staining of FFPE human adrenal carcinoma with LSM2 antibody. HIER: boil tissue sections in pH8 EDTA for 20 min and allow to cool before testing.
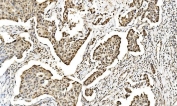
IHC staining of FFPE human lung cancer with LSM2 antibody. HIER: boil tissue sections in pH8 EDTA for 20 min and allow to cool before testing.
IHC staining of FFPE human rectal cancer with LSM2 antibody. HIER: boil tissue sections in pH8 EDTA for 20 min and allow to cool before testing.
IHC staining of FFPE human thyroid cancer with LSM2 antibody. HIER: boil tissue sections in pH8 EDTA for 20 min and allow to cool before testing.
IHC staining of FFPE human liver cancer with LSM2 antibody. HIER: boil tissue sections in pH8 EDTA for 20 min and allow to cool before testing.
IHC staining of FFPE human breast cancer with LSM2 antibody. HIER: boil tissue sections in pH8 EDTA for 20 min and allow to cool before testing.
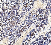
IHC staining of FFPE mouse lung with LSM2 antibody. HIER: boil tissue sections in pH8 EDTA for 20 min and allow to cool before testing.
IHC staining of FFPE rat lung with LSM2 antibody. HIER: boil tissue sections in pH8 EDTA for 20 min and allow to cool before testing.
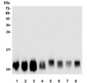
Western blot testing of human 1) SW620, 2) HEK293, 3) K562, 4) Caco-2, 5) monkey COS-7, 6) Raji, 7) A431 and 8) U-2 OS lysate with LSM2 antibody. Predicted molecular weight: ~10 kDa.
Western blot testing of rat 1) brain, 2) testis, 3) small intestine, 4) C6 and mouse 5) testis, 6) Neuro-2a and 7) HEPA1-6 lysate with LSM2 antibody. Predicted molecular weight: ~10 kDa.
Flow cytometry testing of human K562 cells with LSM2 antibody at 1ug/million cells (blocked with goat sera); Red=cells alone, Green=isotype control, Blue= LSM2 antibody.
Availability 1-3 business days
Species Reactivity Human, Mouse, Rat
Format Antigen affinity purified
Host Rabbit
Clonality Polyclonal (rabbit origin)
Isotype Rabbit IgG
Purity Affinity purified
Buffer Lyophilized from 1X PBS with 2% Trehalose and 0.025% sodium azide
UniProt Q9Y333
Applications Western Blot : 0.5-1ug/ml
Immunohistochemistry : 1-2ug/ml
Immunofluorescence : 2-4ug/ml
Flow Cytometry : 1-3ug/million cells
Limitations This LSM2 antibody is available for research use only.
Review this product on BioCompare and get a $20 Amazon gift card

Related Products

  • Applications : WB, ELISA (peptide)
    Reactivity : Human, Mouse
    Pred. Reactivity : Cow, Dog, Pig, Rat

Description

U6 snRNA-associated Sm-like protein LSm2 is a protein that in humans is encoded by the LSM2 gene. This gene encodes a member of the LSm family of RNA-binding proteins. LSm proteins form stable heteromers that bind specifically to the 3'-terminal oligo(U) tract of U6 snRNA and may play a role in pre-mRNA splicing by mediating U4/U6 snRNP formation. Pseudogenes of this gene are located on the short arm of chromosomes 6 and 19.

Application Notes

Optimal dilution of the LSM2 antibody should be determined by the researcher.

Immunogen

Amino acids DTQLLQDAARKEALQQKQ from the human protein were used as the immunogen for the LSM2 antibody.

Storage

After reconstitution, the LSM2 antibody can be stored for up to one month at 4oC. For long-term, aliquot and store at -20oC. Avoid repeated freezing and thawing.

Cross
Bulk Quote Request Form
Name*:
Organization*:
Email*:
Phone Number*:
Catalog No.*:
Comments and Specifics(amount, formulation, etc.)*:
Validation code: Captchapackage Image


Can't read the image? click here to refresh.
    *required field

Your bulk quote request has been submitted successfully!

Please contact us if you have any questions.