• Tel: 858.663.9055
  • SeparatorEmail: info@nsjbio.com
  • Tel: 858.663.9055
  • Email: info@nsjbio.com
Home >> Antibodies >> LSG1 Antibody / Large subunit GTPase 1

LSG1 Antibody / Large subunit GTPase 1 (RQ8610)

  Catalog No Formulation Size Price (USD)  
Image RQ8610 0.5mg/ml if reconstituted with 0.2ml sterile DI water 100 ug 449
Bulk quote request
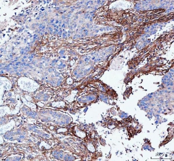
IHC staining of FFPE human esophageal squamous carcinoma tissue with LSG1 antibody. HIER: boil tissue sections in pH8 EDTA for 20 min and allow to cool before testing.
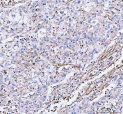
IHC staining of FFPE human lung cancer tissue with LSG1 antibody. HIER: boil tissue sections in pH8 EDTA for 20 min and allow to cool before testing.
Immunofluorescent staining of FFPE human HeLa cells with LSG1 antibody (green) and DAPI nuclear stain (blue). HIER: steam section in pH6 citrate buffer for 20 min.
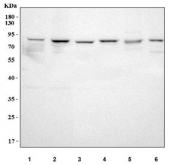
Western blot testing of human 1) HeLa, 2) MCF7, 3) PC-3, 4) U-251, 5) RT4 and 6) HEL cell lysate with LSG1 antibody. Predicted molecular weight ~75 kDa.
Flow cytometry testing of fixed and permeabilized human RT4 cells with LSG1 antibody at 1ug/million cells (blocked with goat sera); Red=cells alone, Green=isotype control, Blue= LSG1 antibody.
Availability 1-3 days
Species Reactivity Human, Mouse, Rat
Format Antigen affinity purified
Host Rabbit
Clonality Polyclonal (rabbit origin)
Isotype Rabbit IgG
Purity Antigen affinity purified
Buffer Lyophilized from 1X PBS with 2% Trehalose
UniProt Q9H089
Applications Western Blot : 0.5-1ug/ml
Immunohistochemistry (FFPE) : 2-5ug/ml
Immunofluorescence : 5ug/ml
Flow Cytometry : 1-3ug/million cells
ELISA : 0.1-0.5ug/ml
Limitations This LSG1 antibody is available for research use only.
Review this product on BioCompare and get a $20 Amazon gift card

Related Products

Description

Large subunit GTPase 1 homolog is an enzyme that in humans is encoded by the LSG1 gene. This gene encodes a protein related to the yeast large subunit GTPase 1. The encoded protein is necessary for cell viability and may localize in the endoplasmic reticulum, nucleus and cytoplasm.

Application Notes

Optimal dilution of the LSG1 antibody should be determined by the researcher.

Immunogen

An E.coli-derived human recombinant protein (amino acids R47-H560) was used as the immunogen for the LSG1 antibody.

Storage

After reconstitution, the LSG1 antibody can be stored for up to one month at 4oC. For long-term, aliquot and store at -20oC. Avoid repeated freezing and thawing.

Cross
Bulk Quote Request Form
Name*:
Organization*:
Email*:
Phone Number*:
Catalog No.*:
Comments and Specifics(amount, formulation, etc.)*:
Validation code: Captchapackage Image


Can't read the image? click here to refresh.
    *required field

Your bulk quote request has been submitted successfully!

Please contact us if you have any questions.