• Tel: 858.663.9055
  • SeparatorEmail: info@nsjbio.com
  • Tel: 858.663.9055
  • Email: info@nsjbio.com
Home >> Antibodies >> LRTOMT Antibody

LRTOMT Antibody (RQ5590)

  Catalog No Formulation Size Price (USD)  
Image RQ5590 0.5mg/ml if reconstituted with 0.2ml sterile DI water 100 ug 449
Bulk quote request
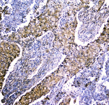
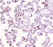
IHC staining of FFPE human lung cancer with LRTOMT antibody. HIER: boil tissue sections in pH6, 10mM citrate buffer, for 20 min and allow to cool before testing.
IHC staining of FFPE human placenta with LRTOMT antibody. HIER: boil tissue sections in pH6, 10mM citrate buffer, for 20 min and allow to cool before testing.
IHC staining of FFPE mouse brain with LRTOMT antibody. HIER: boil tissue sections in pH6, 10mM citrate buffer, for 20 min and allow to cool before testing.
IHC staining of FFPE mouse brain with LRTOMT antibody. HIER: boil tissue sections in pH6, 10mM citrate buffer, for 20 min and allow to cool before testing.
IHC staining of FFPE rat brain with LRTOMT antibody. HIER: boil tissue sections in pH6, 10mM citrate buffer, for 20 min and allow to cool before testing.
Western blot testing of human 1) placenta, 2) MCF7, 3) HeLa, 4) Caco-2, 5) U-2 OS and 6) ThP-1 lysate with LRTOMT antibody. Expected molecular weight: 28-32 kDa.
Western blot testing of 1) rat brain, 2) rat ovary, 3) rat heart, 4) rat lung, 5) mouse brain and 6) mouse lung lysate with LRTOMT antibody. Expected molecular weight: 28-32 kDa.
Availability 1-3 business days
Species Reactivity Human, Mouse, Rat
Format Antigen affinity purified
Host Rabbit
Clonality Polyclonal (rabbit origin)
Isotype Rabbit IgG
Purity Affinity purified
Buffer Lyophilized from 1X PBS with 2% Trehalose and 0.025% sodium azide
UniProt Q8WZ04
Localization Cytoplasmic
Applications Western Blot : 0.5-1ug/ml
Immunohistochemistry (FFPE) : 1-2ug/ml
Limitations This LRTOMT antibody is available for research use only.
Review this product on BioCompare and get a $20 Amazon gift card

Description

Leucine rich transmembrane and O-methyltransferase domain containing is a protein that in humans is encoded by the LRTOMT gene. It is mapped to 11q13.4. This gene has evolved in primates as a fusion of two ancestral neighboring genes, Lrrc51 and Tomt, which exist as two independent genes in rodents. The fusion gene contains some shared exons, but encodes structurally unrelated proteins, LRTOMT1 and LRTOMT2. Those variants that utilize the more centromere-proximal 3' terminal exon (short transcript form) encode LRTOMT1, while those variants that use a more centromere-distal 3' terminal exon (long transcript form) encode the LRTOMT2 protein. There is a small region within one of the exons of this gene that contains overlapping alternate reading frames for both LRTOMT1 and LRTOMT2. LRTOMT1 shares similarity with the protein encoded by mouse Lrrc51, while LRTOMT2 shares similarity with the protein encoded by mouse Tomt. Alternative splicing results in multiple transcript variants, encoding different isoforms of both LRTOMT1 and LRTOMT2. The LRTOMT1 protein is a leucine-rich repeat-containing protein, while the LRTOMT2 protein is a catechol-O-methyltransferase that catalyzes the transfer of a methyl group from S-adenosyl-L-methionine to a hydroxyl group of catechols and is essential for auditory and vestibular function. Mutations in this gene have been associated with nonsyndromic deafness.

Application Notes

Optimal dilution of the LRTOMT antibody should be determined by the researcher.

Immunogen

Amino acids RLLTVERDPRTAAVAEKLIRLAGFDEHMVEL were used as the immunogen for the LRTOMT antibody.

Storage

After reconstitution, the LRTOMT antibody can be stored for up to one month at 4oC. For long-term, aliquot and store at -20oC. Avoid repeated freezing and thawing.

Cross
Bulk Quote Request Form
Name*:
Organization*:
Email*:
Phone Number*:
Catalog No.*:
Comments and Specifics(amount, formulation, etc.)*:
Validation code: Captchapackage Image


Can't read the image? click here to refresh.
    *required field

Your bulk quote request has been submitted successfully!

Please contact us if you have any questions.