• Tel: 858.663.9055
  • SeparatorEmail: info@nsjbio.com
  • Tel: 858.663.9055
  • Email: info@nsjbio.com
Home >> Antibodies >> LRRN4 Antibody / Leucine-rich repeat neuronal protein 4

LRRN4 Antibody / Leucine-rich repeat neuronal protein 4 (RQ8577)

  Catalog No Formulation Size Price (USD)  
Image RQ8577 0.5mg/ml if reconstituted with 0.2ml sterile DI water 100 ug 449
Bulk quote request
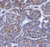
IHC staining of FFPE human ovarian cancer tissue with LRRN4 antibody. HIER: boil tissue sections in pH8 EDTA for 20 min and allow to cool before testing.
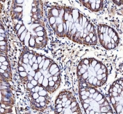
IHC staining of FFPE human colorectal adenocarcinoma tissue with LRRN4 antibody. HIER: boil tissue sections in pH8 EDTA for 20 min and allow to cool before testing.
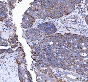
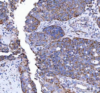
IHC staining of FFPE human liver cancer tissue with LRRN4 antibody. HIER: boil tissue sections in pH8 EDTA for 20 min and allow to cool before testing.
Immunofluorescent staining of FFPE human U-2 OS cells with LRRN4 antibody (red) and DAPI nuclear stain (blue). HIER: steam section in pH6 citrate buffer for 20 min.
Western blot testing of human 1) Caco-2, 2) U-2 OS and 3) HepG2 cell lysate with LRRN4 antibody. Predicted molecular weight ~79 kDa but may be observed at higher molecular weights due to glycosylation.
Flow cytometry testing of fixed and permeabilized human U-2 OS cells with LRRN4 antibody at 1ug/million cells (blocked with goat sera); Red=cells alone, Green=isotype control, Blue= LRRN4 antibody.
Availability 1-3 days
Species Reactivity Human
Format Antigen affinity purified
Host Rabbit
Clonality Polyclonal (rabbit origin)
Isotype Rabbit IgG
Purity Antigen affinity purified
Buffer Lyophilized from 1X PBS with 2% Trehalose
UniProt Q8WUT4
Applications Western Blot : 0.5-1ug/ml
Immunohistochemistry (FFPE) : 2-5ug/ml
Immunofluorescence : 5ug/ml
Flow Cytometry : 1-3ug/million cells
ELISA : 0.1-0.5ug/ml
Limitations This LRRN4 antibody is available for research use only.
Review this product on BioCompare and get a $20 Amazon gift card

Description

LRRN4 may play an important role in hippocampus-dependent long-lasting memory.

Application Notes

Optimal dilution of the LRRN4 antibody should be determined by the researcher.

Immunogen

An E.coli-derived human recombinant protein (amino acids H125-R656) was used as the immunogen for the LRRN4 antibody.

Storage

After reconstitution, the LRRN4 antibody can be stored for up to one month at 4oC. For long-term, aliquot and store at -20oC. Avoid repeated freezing and thawing.

Cross
Bulk Quote Request Form
Name*:
Organization*:
Email*:
Phone Number*:
Catalog No.*:
Comments and Specifics(amount, formulation, etc.)*:
Validation code: Captchapackage Image


Can't read the image? click here to refresh.
    *required field

Your bulk quote request has been submitted successfully!

Please contact us if you have any questions.