• Tel: 858.663.9055
  • SeparatorEmail: info@nsjbio.com
  • Tel: 858.663.9055
  • Email: info@nsjbio.com
Home >> Antibodies >> LRRC75B Antibody / FAM211B

LRRC75B Antibody / FAM211B (RQ8550)

  Catalog No Formulation Size Price (USD)  
Image RQ8550 0.5mg/ml if reconstituted with 0.2ml sterile DI water 100 ug 449
Bulk quote request
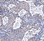
IHC staining of FFPE human liver cancer tissue with LRRC75B antibody. HIER: boil tissue sections in pH8 EDTA for 20 min and allow to cool before testing.
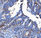
IHC staining of FFPE human colorectal adenocarcinoma tissue with LRRC75B antibody. HIER: boil tissue sections in pH8 EDTA for 20 min and allow to cool before testing.
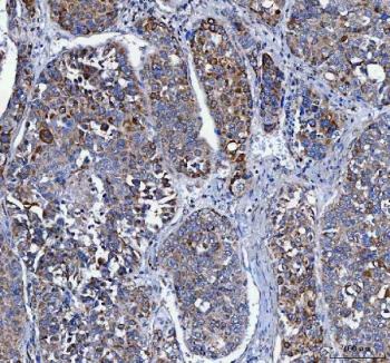
IHC staining of FFPE human lung cancer tissue with LRRC75B antibody. HIER: boil tissue sections in pH8 EDTA for 20 min and allow to cool before testing.
Western blot testing of 1) human HepG2, 2) human SH-SY5Y, 3) human MCF7, 4) rat C6, 5) mouse brain and 6) mouse Neuro-2a cell lysate with LRRC75B antibody. Predicted molecular weight ~35 kDa.
Flow cytometry testing of fixed and permeabilized human PC-3 cells with LRRC75B antibody at 1ug/million cells (blocked with goat sera); Red=cells alone, Green=isotype control, Blue= LRRC75B antibody.
Availability 1-3 days
Species Reactivity Human, Mouse, Rat
Format Antigen affinity purified
Host Rabbit
Clonality Polyclonal (rabbit origin)
Isotype Rabbit IgG
Purity Antigen affinity purified
Buffer Lyophilized from 1X PBS with 2% Trehalose
UniProt Q2VPJ9
Applications Western Blot : 0.5-1ug/ml
Immunohistochemistry (FFPE) : 2-5ug/ml
Flow Cytometry : 1-3ug/million cells
ELISA : 0.1-0.5ug/ml
Limitations This LRRC75B antibody is available for research use only.
Review this product on BioCompare and get a $20 Amazon gift card

Description

LRRC75B (Leucine-rich repeat-containing protein 75B), also called FAM211B (Family with sequence similarity 211, member B) is a leucine-rich repeat (LRR) protein present in viruses as well as eukaryotes. It is involved in diverse functions and is involved in protein-protein interactions. The LRR domains fold into a horseshoe (or arc) shape with a parallel beta-sheet on the concave face.

Application Notes

Optimal dilution of the LRRC75B antibody should be determined by the researcher.

Immunogen

An E.coli-derived human recombinant protein (amino acids Q59-E283) was used as the immunogen for the LRRC75B antibody.

Storage

After reconstitution, the LRRC75B antibody can be stored for up to one month at 4oC. For long-term, aliquot and store at -20oC. Avoid repeated freezing and thawing.

Cross
Bulk Quote Request Form
Name*:
Organization*:
Email*:
Phone Number*:
Catalog No.*:
Comments and Specifics(amount, formulation, etc.)*:
Validation code: Captchapackage Image


Can't read the image? click here to refresh.
    *required field

Your bulk quote request has been submitted successfully!

Please contact us if you have any questions.