• Tel: 858.663.9055
  • SeparatorEmail: info@nsjbio.com
  • Tel: 858.663.9055
  • Email: info@nsjbio.com
Home >> Antibodies >> LRRC47 Antibody / Leucine-rich repeat-containing protein 47

LRRC47 Antibody / Leucine-rich repeat-containing protein 47 (RQ8568)

  Catalog No Formulation Size Price (USD)  
Image RQ8568 0.5mg/ml if reconstituted with 0.2ml sterile DI water 100 ug 449
Bulk quote request
Flow cytometry testing of fixed and permeabilized human HEL cells with LRRC47 antibody at 1ug/million cells (blocked with goat sera); Red=cells alone, Green=isotype control, Blue= LRRC47 antibody.
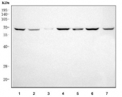
Western blot testing of human 1) HEL, 2) 293T, 3) PC-3, 4) SH-SY5Y, 5) HepG2, 6) K562 and 7) HeLa cell lysate with LRRC47 antibody. Predicted molecular weight ~63 kDa.
Availability 1-3 days
Species Reactivity Human
Format Antigen affinity purified
Host Rabbit
Clonality Polyclonal (rabbit origin)
Isotype Rabbit IgG
Purity Antigen affinity purified
Buffer Lyophilized from 1X PBS with 2% Trehalose
UniProt Q8N1G4
Applications Western Blot : 0.5-1ug/ml
Flow Cytometry : 1-3ug/million cells
ELISA : 0.1-0.5ug/ml
Limitations This LRRC47 antibody is available for research use only.
Review this product on BioCompare and get a $20 Amazon gift card

Description

Chromosome 1 is the largest human chromosome spanning about 260 million base pairs and making up 8% of the human genome. There are about 3,000 genes on chromosome 1, and considering the great number of genes there are also a large number of diseases associated with chromosome 1. Notably, the rare aging disease Hutchinson-Gilford progeria is associated with the LMNA gene which encodes Lamin A. When defective, the LMNA gene product can build up in the nucleus and cause characteristic nuclear blebs. The mechanism of rapidly enhanced aging is unclear and is a topic of continuing exploration. The MUTYH gene is located on chromosome 1 and is partially responsible for familial adenomatous polyposis. Stickler syndrome, Parkinsons, Gaucher disease and Usher syndrome are also associated with chromosome 1. A breakpoint has been identified in 1q which disrupts the DISC1 gene and is linked to schizophrenia. Aberrations in chromosome 1 are found in a variety of cancers including head and neck cancer, malignant melanoma and multiple myeloma.

Application Notes

Optimal dilution of the LRRC47 antibody should be determined by the researcher.

Immunogen

An E.coli-derived human recombinant protein (amino acids L309-R583) was used as the immunogen for the LRRC47 antibody.

Storage

After reconstitution, the LRRC47 antibody can be stored for up to one month at 4oC. For long-term, aliquot and store at -20oC. Avoid repeated freezing and thawing.

Cross
Bulk Quote Request Form
Name*:
Organization*:
Email*:
Phone Number*:
Catalog No.*:
Comments and Specifics(amount, formulation, etc.)*:
Validation code: Captchapackage Image


Can't read the image? click here to refresh.
    *required field

Your bulk quote request has been submitted successfully!

Please contact us if you have any questions.