• Tel: 858.663.9055
  • SeparatorEmail: info@nsjbio.com
  • Tel: 858.663.9055
  • Email: info@nsjbio.com
Home >> Antibodies >> LRRC40 Antibody / Leucine rich repeat containing 40

LRRC40 Antibody / Leucine rich repeat containing 40 (FY12333)

  Catalog No Formulation Size Price (USD)  
Image FY12333 Adding 0.2 ml of distilled water will yield a concentration of 500 ug/ml 100 ug 449
Bulk quote request
Western blot analysis of LRRC40 using anti-LRRC40 antibody. Lane 1: human 293T whole cell lysates, Lane 2: human HepG2 whole cell lysates, Lane 3: human RT4 whole cell lysates, Lane 4: human K562 whole cell lysates, Lane 5: rat testis tissue lysates, Lane 6: mouse testis tissue lysates. After electrophoresis, proteins were transferred to a nitrocellulose membrane at 150 mA for 50-90 minutes. Blocked the membrane with 5% non-fat milk/TBS for 1.5 hour at RT. The membrane was incubated with rabbit anti-LRRC40 antibody at 0.5 ug/ml overnight at 4oC, then washed with TBS-0.1%Tween 3 times with 5 minutes each and probed with a goat anti-rabbit IgG-HRP secondary antibody at a dilution of 1:5000 for 1.5 hour at RT. The signal was developed using enhanced chemiluminescent. The expected molecular weight of LRRC40 is ~68 kDa.
Western blot analysis of LRRC40 expression in human 293T, HepG2, RT4, K562 cells, rat testis, rat PC-12 cells, mouse testis, and mouse Neuro-2a cells. LRRC40 migrates as a single band at approximately 68 kDa, consistent with the predicted molecular weight of the protein based on its amino acid sequence.
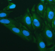
Immunofluorescent staining of FFPE human U-2 OS cells with LRRC40 antibody (green) and DAPI nuclear stain (blue). HIER: steam section in pH6 citrate buffer for 20 min.
Availability 1-2 days
Species Reactivity Human, Mouse, Rat
Format Lyophilized
Host Rabbit
Clonality Polyclonal (rabbit origin)
Isotype Rabbit IgG
Purity Immunogen affinity purified
Buffer Each vial contains 4 mg Trehalose, 0.9 mg NaCl, 0.2 mg Na2HPO4.
UniProt Q9H9A6
Applications Western Blot : 0.25-0.5ug/ml
Immunofluorescence : 5ug/ml
ELISA : 0.1-0.5ug/ml
Limitations This LRRC40 antibody is available for research use only.
Review this product on BioCompare and get a $20 Amazon gift card

Description

The LRRC40 antibody is designed to target leucine rich repeat containing 40, a protein that belongs to the large family of leucine rich repeat (LRR) domain containing proteins. Members of this family are defined by tandem repeats of a leucine rich motif that forms a structural scaffold for protein-protein interactions. LRRC40 is encoded by the LRRC40 gene in humans and is conserved across vertebrate species, suggesting it plays an essential biological role. Although the precise cellular function of LRRC40 remains under investigation, studies indicate it may be involved in processes such as intracellular signaling, assembly of multiprotein complexes, and regulation of protein localization. The broad distribution of leucine rich repeat proteins across diverse cell types makes LRRC40 a promising candidate for understanding protein interaction networks. Research into its potential involvement in human disease pathways continues to expand, highlighting the utility of the LRRC40 antibody for experimental investigations.

LRRC40 has been detected in a variety of tissues, including immune cells, brain, heart, and reproductive tissues. Leucine rich repeat proteins often mediate key developmental processes, including nervous system patterning and immune recognition, making antibodies against these proteins critical tools in functional studies. Recent data suggests LRRC40 may interact with cytoskeletal regulators or molecular motors, positioning it as a possible contributor to cell movement or organelle transport. This potential role has led to interest in using the LRRC40 antibody in immunohistochemistry, flow cytometry, and western blotting to evaluate protein expression in different tissues and disease contexts.

Beyond general protein interaction research, LRRC40 may be relevant in cancer biology. Several high-throughput expression datasets have reported altered LRRC40 mRNA or protein levels in certain malignancies, suggesting it could contribute to tumor progression or serve as a biomarker. Functional exploration using LRRC40 antibody reagents can help determine whether these correlations reflect causal roles or secondary effects. In neuroscience, the LRR protein family has established links to synapse formation and plasticity, raising the possibility that LRRC40 contributes to neural network development. The LRRC40 antibody can support this line of research by enabling the visualization and quantification of protein levels in neuronal systems.

As with other antibodies provided by NSJ Bioreagents, the LRRC40 antibody is suitable for research use only and is validated for multiple assay platforms. Western blotting enables the detection of protein size and abundance, while immunofluorescence and immunohistochemistry allow cellular and tissue localization studies. Flow cytometry may be employed to monitor LRRC40 expression in different immune subsets. By supplying consistent and specific recognition of this target, the antibody allows researchers to probe questions ranging from cell signaling to pathology. Future work may clarify whether LRRC40 plays a regulatory role in disease development, and the availability of the LRRC40 antibody provides an essential tool to accelerate this discovery.

Application Notes

Optimal dilution of the LRRC40 antibody should be determined by the researcher.

Immunogen

E.coli-derived human LRRC40 recombinant protein (Position: R21-D598) was used as the immunogen for the LRRC40 antibody.

Storage

After reconstitution, the LRRC40 antibody can be stored for up to one month at 4oC. For long-term, aliquot and store at -20oC. Avoid repeated freezing and thawing.

Cross
Bulk Quote Request Form
Name*:
Organization*:
Email*:
Phone Number*:
Catalog No.*:
Comments and Specifics(amount, formulation, etc.)*:
Validation code: Captchapackage Image


Can't read the image? click here to refresh.
    *required field

Your bulk quote request has been submitted successfully!

Please contact us if you have any questions.