• Tel: 858.663.9055
  • SeparatorEmail: info@nsjbio.com
  • Tel: 858.663.9055
  • Email: info@nsjbio.com
Home >> Antibodies >> LRRC30 Antibody / Leucine-rich repeat-containing protein 30

LRRC30 Antibody / Leucine-rich repeat-containing protein 30 (FY12197)

  Catalog No Formulation Size Price (USD)  
Image FY12197 Adding 0.2 ml of distilled water will yield a concentration of 500 ug/ml 100 ug 449
Bulk quote request
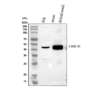
Western blot analysis of LRRC30 using anti-LRRC30 antibody. Lane 1: human Hela whole cell lysates, Lane 2: mouse skeletal muscle tissue lysates. After electrophoresis, proteins were transferred to a nitrocellulose membrane at 150 mA for 50-90 minutes. Blocked the membrane with 5% non-fat milk/TBS for 1.5 hour at RT. The membrane was incubated with rabbit anti-LRRC30 antibody at 0.5 ug/ml overnight at 4oC, then washed with TBS-0.1%Tween 3 times with 5 minutes each and probed with a goat anti-rabbit IgG-HRP secondary antibody at a dilution of 1:5000 for 1.5 hour at RT. The signal was developed using enhanced chemiluminescent. The expected band size for LRRC30 is at 34 kDa but is commonly observed at 42-48 kDa.
Availability 1-2 days
Species Reactivity Human, Mouse
Format Lyophilized
Host Rabbit
Clonality Polyclonal (rabbit origin)
Isotype Rabbit IgG
Purity Immunogen affinity purified
Buffer Each vial contains 4 mg Trehalose, 0.9 mg NaCl, 0.2 mg Na2HPO4.
UniProt A6NM36
Applications Western Blot : 0.25-0.5ug/ml
ELISA : 0.1-0.5ug/ml
Limitations This LRRC30 antibody is available for research use only.
Review this product on BioCompare and get a $20 Amazon gift card

Description

LRRC30 antibody detects Leucine-rich repeat-containing protein 30, encoded by the LRRC30 gene on chromosome 10q23.1. LRRC30 antibody is applied in research exploring leucine-rich repeat (LRR) proteins, which mediate protein-protein interactions in signaling, development, and immune regulation. LRRC30 remains relatively uncharacterized, but is predicted to act as a scaffolding protein in extracellular or membrane-associated signaling complexes. Expression is detected in multiple tissues, with enrichment in immune and reproductive organs.

Structurally, LRRC30 contains several LRR motifs that form a curved solenoid structure, creating a versatile binding surface. LRR proteins often function as receptors or co-receptors in developmental and immune pathways. Predicted signal peptides and transmembrane domains suggest LRRC30 may localize to membranes, facilitating interactions with extracellular ligands. Conservation of its LRR domains indicates an important yet underexplored biological role.

Functionally, LRRC30 is predicted to regulate protein interactions at the cell surface, contributing to processes such as adhesion, immune signaling, or development. Homology to other LRR proteins suggests potential roles in pathogen recognition, receptor signaling, or structural support of extracellular matrices. While its specific function is still under investigation, its predicted motifs position it as a candidate regulator in innate immunity or development. Researchers use LRRC30 antibody as a tool to characterize novel LRR family proteins and their signaling functions.

Clinically, LRRC30 has limited characterization, but variations in its locus have been associated with autoimmune and developmental disorders in genome-wide association studies. Its expression profile suggests roles in reproduction and immunity, warranting further research. LRRC30 may also be implicated in cancer, where dysregulation of LRR proteins contributes to signaling abnormalities. NSJ Bioreagents supplies LRRC30 antibody to support exploratory studies in immunity, signaling, and disease biology.

Experimentally, LRRC30 antibody is used in western blotting to detect the ~35 kDa protein, in immunohistochemistry to evaluate tissue expression, and in immunofluorescence microscopy to study subcellular localization. Immunoprecipitation with LRRC30 antibody can identify binding partners, advancing understanding of its biological function.

Application Notes

Optimal dilution of the LRRC30 antibody should be determined by the researcher.

Immunogen

E.coli-derived human LRRC30 recombinant protein (Position: H49-K298) was used as the immunogen for the LRRC30 antibody.

Storage

After reconstitution, the LRRC30 antibody can be stored for up to one month at 4oC. For long-term, aliquot and store at -20oC. Avoid repeated freezing and thawing.

Cross
Bulk Quote Request Form
Name*:
Organization*:
Email*:
Phone Number*:
Catalog No.*:
Comments and Specifics(amount, formulation, etc.)*:
Validation code: Captchapackage Image


Can't read the image? click here to refresh.
    *required field

Your bulk quote request has been submitted successfully!

Please contact us if you have any questions.