• Tel: 858.663.9055
  • SeparatorEmail: info@nsjbio.com
  • Tel: 858.663.9055
  • Email: info@nsjbio.com
Home >> Antibodies >> LRG1 Antibody / Leucine-rich alpha-2-glycoprotein 1

LRG1 Antibody / Leucine-rich alpha-2-glycoprotein 1 (FY13132)

  Catalog No Formulation Size Price (USD)  
Image FY13132 Adding 0.2 ml of distilled water will yield a concentration of 500 ug/ml 100 ug 449
Bulk quote request
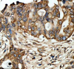
Immunohistochemical staining of LRG1 using anti-LRG1 antibody. LRG1 was detected in a paraffin-embedded section of human pancreas cancer tissue. Heat mediated antigen retrieval was performed in EDTA buffer (pH 8.0, epitope retrieval solution). The tissue section was blocked with 10% goat serum. The tissue section was then incubated with 1:100 rabbit anti-LRG1 antibody overnight at 4oC. Peroxidase Conjugated Goat Anti-rabbit IgG was used as secondary antibody and incubated for 30 minutes at 37oC. The tissue section was developed using an HRP secondary and DAB substrate.
Western blot analysis of LRG1 using anti-LRG1 antibody. Electrophoresis was performed on a 12% SDS-PAGE gel at 80V (Stacking gel) / 120V (Resolving gel) for 2 hours. Lane 1: human HepG2 whole cell lysates, Lane 2: human K562 whole cell lysates, Lane 3: rat small intestine tissue lysates, Lane 4: rat RH-35 whole cell lysates. After electrophoresis, proteins were transferred to a nitrocellulose membrane at 150 mA for 50-90 minutes. Blocked the membrane with 5% non-fat milk/TBS for 1.5 hour at RT. The membrane was incubated with rabbit anti-LRG1 antibody at 1:1000 overnight at 4oC, then washed with TBS-0.1%Tween 3 times with 5 minutes each and probed with a goat anti-rabbit IgG-HRP secondary antibody at a dilution of 1:5000 for 1.5 hour at RT. The signal was developed using an ECL Plus Western Blotting Substrate. A specific band was detected for LRG1 at approximately 38 kDa. The expected molecular weight of LRG1 is ~38 kDa.
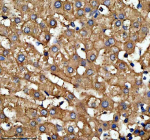
Immunohistochemical staining of LRG1 using anti-LRG1 antibody. LRG1 was detected in a paraffin-embedded section of rat liver tissue. Heat mediated antigen retrieval was performed in EDTA buffer (pH 8.0, epitope retrieval solution). The tissue section was blocked with 10% goat serum. The tissue section was then incubated with 1:100 rabbit anti-LRG1 antibody overnight at 4oC. Peroxidase Conjugated Goat Anti-rabbit IgG was used as secondary antibody and incubated for 30 minutes at 37oC. The tissue section was developed using an HRP secondary and DAB substrate.
Western blot analysis of LRG1 using anti-LRG1 antibody. Electrophoresis was performed on a 10% SDS-PAGE gel at 80V (Stacking gel) / 120V (Resolving gel) for 2 hours. Lane 1: human THP-1 whole cell lysates, Lane 2: human HepG2 whole cell lysates, Lane 3: human K562 whole cell lysates, Lane 4: rat liver tissue lysates, Lane 5: mouse liver tissue lysates. After electrophoresis, proteins were transferred to a nitrocellulose membrane at 150 mA for 50-90 minutes. Blocked the membrane with 5% non-fat milk/TBS for 1.5 hour at RT. The membrane was incubated with rabbit anti-LRG1 antibody at 0.5 ug/ml overnight at 4oC, then washed with TBS-0.1%Tween 3 times with 5 minutes each and probed with a goat anti-rabbit IgG-HRP secondary antibody at a dilution of 1:5000 for 1.5 hour at RT. The signal was developed using an ECL Plus Western Blotting Substrate. A specific band was detected for LRG1 at approximately 38 kDa. The expected molecular weight of LRG1 is at 38 kDa.
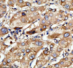
Immunohistochemical staining of LRG1 using anti-LRG1 antibody. LRG1 was detected in a paraffin-embedded section of human liver cancer tissue. Heat mediated antigen retrieval was performed in EDTA buffer (pH 8.0, epitope retrieval solution). The tissue section was blocked with 10% goat serum. The tissue section was then incubated with 2 ug/ml rabbit anti-LRG1 antibody overnight at 4oC. Peroxidase Conjugated Goat Anti-rabbit IgG was used as secondary antibody and incubated for 30 minutes at 37oC. The tissue section was developed using an HRP secondary and DAB substrate.
Immunohistochemical staining of LRG1 using anti-LRG1 antibody. LRG1 was detected in a paraffin-embedded section of human liver tissue. Heat mediated antigen retrieval was performed in EDTA buffer (pH 8.0, epitope retrieval solution). The tissue section was blocked with 10% goat serum. The tissue section was then incubated with 2 ug/ml rabbit anti-LRG1 antibody overnight at 4oC. Peroxidase Conjugated Goat Anti-rabbit IgG was used as secondary antibody and incubated for 30 minutes at 37oC. The tissue section was developed using an HRP secondary and DAB substrate.
Immunohistochemical staining of LRG1 using anti-LRG1 antibody. LRG1 was detected in a paraffin-embedded section of human pancreas cancer tissue. Heat mediated antigen retrieval was performed in EDTA buffer (pH 8.0, epitope retrieval solution). The tissue section was blocked with 10% goat serum. The tissue section was then incubated with 2 ug/ml rabbit anti-LRG1 antibody overnight at 4oC. Peroxidase Conjugated Goat Anti-rabbit IgG was used as secondary antibody and incubated for 30 minutes at 37oC. The tissue section was developed using an HRP secondary and DAB substrate.
Availability 1-2 days
Species Reactivity Human, Mouse, Rat
Format Lyophilized
Host Rabbit
Clonality Polyclonal (rabbit origin)
Isotype Rabbit IgG
Purity Immunogen affinity purified
Buffer Each vial contains 4 mg Trehalose, 0.9 mg NaCl, 0.2 mg Na2HPO4.
UniProt P02750
Applications Western Blot : 0.25-0.5ug/ml
Immunohistochemistry : 2-5ug/ml
ELISA : 0.1-0.5ug/ml
Limitations This LRG1 antibody is available for research use only.
Review this product on BioCompare and get a $20 Amazon gift card

Related Products

Description

LRG1 antibody detects Leucine-rich alpha-2-glycoprotein 1, a secreted glycoprotein that regulates angiogenesis, inflammation, and tissue remodeling. The UniProt recommended name is Leucine-rich alpha-2-glycoprotein 1 (LRG1). This plasma protein belongs to the leucine-rich repeat (LRR) family and interacts with transforming growth factor-beta (TGF-beta) signaling pathways to influence vascular and immune responses.

Functionally, LRG1 antibody identifies a 312-amino-acid glycoprotein composed of eight leucine-rich repeats forming a curved solenoid structure. LRG1 modulates endothelial cell behavior by binding endoglin and shifting TGF-beta signaling from the ALK5/SMAD2/3 axis to the ALK1/SMAD1/5/8 pathway, promoting angiogenesis. It also serves as an acute-phase reactant, increasing during infection, inflammation, and tissue injury.

The LRG1 gene is located on chromosome 19p13.3 and is highly expressed in liver, endothelial cells, and neutrophils. LRG1 is secreted into plasma, cerebrospinal fluid, and extracellular matrix, where it influences cell adhesion, migration, and vascular remodeling. Elevated serum LRG1 is a biomarker of cardiovascular and inflammatory diseases.

Pathologically, dysregulation of LRG1 contributes to diabetic retinopathy, fibrosis, tumor angiogenesis, and inflammatory disorders. Overexpression of LRG1 promotes abnormal vessel formation and tissue remodeling, while inhibition can suppress pathological angiogenesis. Research using LRG1 antibody supports studies in vascular biology, immunology, and biomarker discovery.

LRG1 antibody is validated for ELISA, western blotting, and immunohistochemistry to detect secreted and tissue-associated glycoproteins. NSJ Bioreagents provides LRG1 antibody reagents optimized for studies of angiogenesis, extracellular signaling, and disease pathophysiology.

Structurally, Leucine-rich alpha-2-glycoprotein 1 adopts a horseshoe-shaped LRR domain that mediates protein-protein interactions with growth factors and receptors. This antibody enables investigation of LRG1's role in vascular signaling and disease progression.

Application Notes

Optimal dilution of the LRG1 antibody should be determined by the researcher.

Immunogen

E.coli-derived human LRG1 recombinant protein (Position: K41-Q257) was used as the immunogen for the LRG1 antibody.

Storage

After reconstitution, the LRG1 antibody can be stored for up to one month at 4oC. For long-term, aliquot and store at -20oC. Avoid repeated freezing and thawing.

Cross
Bulk Quote Request Form
Name*:
Organization*:
Email*:
Phone Number*:
Catalog No.*:
Comments and Specifics(amount, formulation, etc.)*:
Validation code: Captchapackage Image


Can't read the image? click here to refresh.
    *required field

Your bulk quote request has been submitted successfully!

Please contact us if you have any questions.