• Tel: 858.663.9055
  • SeparatorEmail: info@nsjbio.com
  • Tel: 858.663.9055
  • Email: info@nsjbio.com
Home >> Antibodies >> LPP Antibody

LPP Antibody (RQ5589)

  Catalog No Formulation Size Price (USD)  
Image RQ5589 0.5mg/ml if reconstituted with 0.2ml sterile DI water 100 ug 449
Bulk quote request
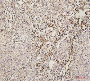
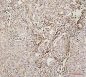
IHC staining of FFPE human breast cancer with LPP antibody. HIER: boil tissue sections in pH6, 10mM citrate buffer, for 20 min and allow to cool before testing.
IHC staining of FFPE human lung cancer with LPP antibody. HIER: boil tissue sections in pH6, 10mM citrate buffer, for 20 min and allow to cool before testing.
IHC staining of FFPE mouse heart with LPP antibody. HIER: boil tissue sections in pH6, 10mM citrate buffer, for 20 min and allow to cool before testing.
IHC staining of FFPE rat heart with LPP antibody. HIER: boil tissue sections in pH6, 10mM citrate buffer, for 20 min and allow to cool before testing.
Flow cytometry testing of human A549 cells with LPP antibody at 1ug/million cells (blocked with goat sera); Red=cells alone, Green=isotype control, Blue= LPP antibody.
Western blot testing of 1) human placenta, 2) rat ovary, 3) rat heart, 4) mouse ovary and 5) mouse heart lysate with LPP antibody. Predicted molecular weight: ~66 kDa but is routinely observed at 80~85 kDa.
Availability 1-3 business days
Species Reactivity Human, Mouse, Rat
Format Antigen affinity purified
Host Rabbit
Clonality Polyclonal (rabbit origin)
Isotype Rabbit IgG
Purity Affinity purified
Buffer Lyophilized from 1X PBS with 2% Trehalose and 0.025% sodium azide
UniProt Q93052
Applications Western Blot : 0.5-1ug/ml
Immunohistochemistry (FFPE) : 1-2ug/ml
Flow Cytometry : 1-3ug/million cells
Direct ELISA : 0.1-0.5ug/ml
Limitations This LPP antibody is available for research use only.
Review this product on BioCompare and get a $20 Amazon gift card

Related Products

Description

LPP (Lim Domain-Containing Preferred Translocation Partner in Lipoma), is a protein that in humans is encoded by the LPP gene. Petit et al. (1996) commented that the LPP-encoded protein should be classified as a novel member of the group 3 proteins of the LIM protein gene family. By partial cDNA cloning, Petit et al. (1996) established features of the genetic organization of LPP. The gene was found to span a genomic region of over 400 kb. By FISH and Southern blot analyses, Daheron et al. (2001) identified a rearrangement in the mixed lineage leukemia gene due to a novel t(3;11)(q28;q23) translocation in a patient who developed acute myeloid leukemia of the M5 type 3 years after treatment for a follicular lymphoma.

Application Notes

Optimal dilution of the LPP antibody should be determined by the researcher.

Immunogen

A human recombinant protein (amino acids K10-C572) was used as the immunogen for the LPP antibody.

Storage

After reconstitution, the LPP antibody can be stored for up to one month at 4oC. For long-term, aliquot and store at -20oC. Avoid repeated freezing and thawing.

Cross
Bulk Quote Request Form
Name*:
Organization*:
Email*:
Phone Number*:
Catalog No.*:
Comments and Specifics(amount, formulation, etc.)*:
Validation code: Captchapackage Image


Can't read the image? click here to refresh.
    *required field

Your bulk quote request has been submitted successfully!

Please contact us if you have any questions.