• Tel: 858.663.9055
  • SeparatorEmail: info@nsjbio.com
  • Tel: 858.663.9055
  • Email: info@nsjbio.com
Home >> Antibodies >> LOXL1 Antibody

LOXL1 Antibody (R32201)

  Catalog No Formulation Size Price (USD)  
Image R32201 0.5mg/ml if reconstituted with 0.2ml sterile DI water 100 ug 449
Bulk quote request
Western blot testing of human 1) A549 and 2) HeLa lysate with LOXL1 antibody. Expected/observed molecular weight ~63 kDa.
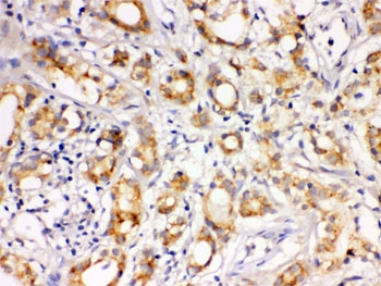
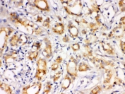
IHC testing of FFPE human prostate cancer tissue with LOXL1 antibody. HIER: Boil the paraffin sections in pH 6, 10mM citrate buffer for 20 minutes and allow to cool prior to staining.
Availability 1-3 business days
Species Reactivity Human
Format Antigen affinity purified
Host Rabbit
Clonality Polyclonal (rabbit origin)
Isotype Rabbit IgG
Purity Antigen affinity
Buffer Lyophilized from 1X PBS with 2.5% BSA and 0.025% sodium azide
UniProt Q08397
Localization Cytoplasmic
Applications Western Blot : 0.1-0.5ug/ml
IHC (FFPE) : 0.5-1ug/ml
Limitations This LOXL1 antibody is available for research use only.
Review this product on BioCompare and get a $20 Amazon gift card

Description

Lysyl oxidase homolog 1 is an enzyme which in humans is encoded by the LOXL1 gene. This gene encodes a member of the lysyl oxidase gene family. The prototypic member of the family is essential to the biogenesis of connective tissue, encoding an extracellular copper-dependent amine oxidase that catalyses the first step in the formation of crosslinks in collagens and elastin. A highly conserved amino acid sequence at the C-terminus end appears to be sufficient for amine oxidase activity, suggesting that each family member may retain this function. The N-terminus is poorly conserved and may impart additional roles in developmental regulation, senescence, tumor suppression, cell growth control, and chemotaxis to each member of the family.

Application Notes

Optimal dilution of the LOXL1 antibody should be determined by the researcher.

Immunogen

Amino acids AEEKCLASTAYAPEATDYDVRVLLRFPQR of human Lysyl oxidase homolog 1 were used as the immunogen for the LOXL1 antibody.

Storage

After reconstitution, the LOXL1 antibody can be stored for up to one month at 4oC. For long-term, aliquot and store at -20oC. Avoid repeated freezing and thawing.

Cross
Bulk Quote Request Form
Name*:
Organization*:
Email*:
Phone Number*:
Catalog No.*:
Comments and Specifics(amount, formulation, etc.)*:
Validation code: Captchapackage Image


Can't read the image? click here to refresh.
    *required field

Your bulk quote request has been submitted successfully!

Please contact us if you have any questions.