• Tel: 858.663.9055
  • SeparatorEmail: info@nsjbio.com
  • Tel: 858.663.9055
  • Email: info@nsjbio.com
Home >> Antibodies >> LONP1 Antibody / Lon protease 1, mitochondrial

LONP1 Antibody / Lon protease 1, mitochondrial (RQ5309)

  Catalog No Formulation Size Price (USD)  
Image RQ5309 0.5mg/ml if reconstituted with 0.2ml sterile DI water 100 ug 449
Bulk quote request
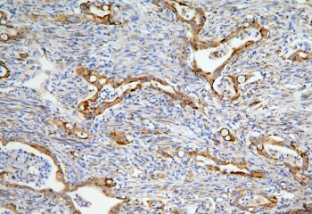
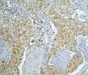
IHC staining of FFPE human rectal cancer with LONP1 antibody. HIER: boil tissue sections in pH6, 10mM citrate buffer, for 20 min and allow to cool before testing.
IHC staining of FFPE human breast cancer with LONP1 antibody. HIER: boil tissue sections in pH6, 10mM citrate buffer, for 20 min and allow to cool before testing.
IHC staining of FFPE human lung cancer with LONP1 antibody. HIER: boil tissue sections in pH6, 10mM citrate buffer, for 20 min and allow to cool before testing.
Immunofluorescent staining of FFPE human A431 cells with LONP1 antibody (green) and DAPI nuclear stain (blue). HIER: steam section in pH6 citrate buffer for 20 min.
Western blot testing of human 1) K562, 2) U-87 MG, 3) PC-3, 4) A549, 5) mouse liver, 6) mouse kidney and 7) mouse SP2/0 lysate with LONP1 antibody. Expected molecular weight ~106 kDa.
Flow cytometry testing of human HL-60 cells with LONP1 antibody at 1ug/million cells (blocked with goat sera); Red=cells alone, Green=isotype control, Blue= LONP1 antibody.
Western blot testing of human 1) K562, 2) U-87 MG and 3) HEL cell lysate with LONP1 antibody. Expected molecular weight ~106 kDa.
Immunoprecipitation of LONP1 protein from 500ug of human K562 whole cell lysate with 2ug of LONP1 antibody.
Availability 1-3 business days
Species Reactivity Human, Mouse, Rat
Format Antigen affinity purified
Host Rabbit
Clonality Polyclonal (rabbit origin)
Isotype Rabbit IgG
Purity Affinity purified
Buffer Lyophilized from 1X PBS with 2% Trehalose and 0.025% sodium azide
UniProt P36776
Applications Western Blot : 0.5-1ug/ml
Immunohistochemistry (FFPE) : 1-2ug/ml
Direct ELISA : 0.1-0.5ug/ml
Immunofluorescence (FFPE) : 2-4ug/ml
Flow Cytometry : 1-3ug/million cells
Immunoprecipitation : 2ug per 500ug of lysate
Limitations This LONP1 antibody is available for research use only.
Review this product on BioCompare and get a $20 Amazon gift card

Related Products

Description

LONP1 antibody recognizes Lon protease 1, mitochondrial, a highly conserved ATP-dependent protease essential for mitochondrial protein quality control. Encoded by the LONP1 gene on chromosome 19p13.3, this enzyme is located in the mitochondrial matrix and functions as both a chaperone and a protease. It maintains mitochondrial health by degrading misfolded, oxidized, or damaged proteins and by regulating the abundance of metabolic enzymes, mitochondrial transcription factors, and components of oxidative phosphorylation. LONP1 is expressed in nearly all tissues, with particularly high levels in heart, liver, skeletal muscle, and brain, reflecting its importance in energy-demanding environments. Within mitochondria, it co-localizes with matrix-resident metabolic enzymes, mtDNA transcription machinery, and stress-responsive protein networks.

Lon protease 1 plays central roles in mitochondrial proteostasis, stress adaptation, and metabolic regulation. Through ATP-dependent unfolding and degradation mechanisms, LONP1 prevents accumulation of dysfunctional proteins that can impair respiration or lead to mitochondrial fragmentation. It regulates levels of TFAM, the mitochondrial transcription factor required for mtDNA maintenance, thereby influencing mitochondrial biogenesis and genome stability. LONP1 additionally modulates key enzymes of the tricarboxylic acid cycle, fatty acid metabolism, and reactive oxygen species detoxification. Its activity increases during conditions such as hypoxia, oxidative stress, nutrient limitation, and mitochondrial unfolded protein responses.

Alterations in LONP1 expression or activity are associated with several human disorders. Pathogenic variants cause CODAS syndrome, a developmental disorder characterized by cerebral, ocular, dental, auricular, and skeletal abnormalities, likely resulting from impaired mitochondrial proteostasis during embryogenesis. Reduced LONP1 function has been linked to neurodegenerative conditions, age-related mitochondrial decline, and metabolic syndromes driven by impaired oxidative stress handling. Conversely, LONP1 is frequently upregulated in cancers including breast, ovarian, lung, and colorectal tumors, where enhanced mitochondrial protease activity supports high metabolic demand, promotes resistance to oxidative injury, and contributes to tumor cell survival.

At the structural level, LONP1 forms hexameric complexes that encapsulate substrate proteins within a proteolytic chamber. Substrate recognition involves an N-terminal domain, while ATP-driven conformational changes in the AAA+ domain enable unfolding and translocation of proteins into the catalytic core. Isoform variation and regulation by phosphorylation or redox state may influence substrate specificity and enzymatic activity. During development, LONP1 expression increases alongside maturation of mitochondrial networks in energy-intensive tissues and remains dynamically regulated throughout life in response to metabolic and oxidative challenges.

This LONP1 antibody is suitable for detecting Lon protease 1, mitochondrial in research focused on mitochondrial biology, protein quality control, oxidative stress responses, neurodegeneration, cancer metabolism, and developmental studies involving mitochondrial maturation. It supports investigations into mitochondrial proteostasis, biogenesis, and metabolic adaptation under stress. NSJ Bioreagents provides this reagent within its mitochondrial and metabolism-focused antibody collection.

Application Notes

Optimal dilution of the LONP1 antibody should be determined by the researcher.

Immunogen

Amino acids R137-A320 from the human protein were used as the immunogen for the LONP1 antibody.

Storage

After reconstitution, the LONP1 antibody can be stored for up to one month at 4oC. For long-term, aliquot and store at -20oC. Avoid repeated freezing and thawing.

Cross
Bulk Quote Request Form
Name*:
Organization*:
Email*:
Phone Number*:
Catalog No.*:
Comments and Specifics(amount, formulation, etc.)*:
Validation code: Captchapackage Image


Can't read the image? click here to refresh.
    *required field

Your bulk quote request has been submitted successfully!

Please contact us if you have any questions.