• Tel: 858.663.9055
  • SeparatorEmail: info@nsjbio.com
  • Tel: 858.663.9055
  • Email: info@nsjbio.com
Home >> Antibodies >> LMF2 Antibody / Lipase maturation factor 2

LMF2 Antibody / Lipase maturation factor 2 (RQ8758)

  Catalog No Formulation Size Price (USD)  
Image RQ8758 0.5mg/ml if reconstituted with 0.2ml sterile DI water 100 ug 449
Bulk quote request
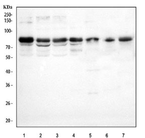
Western blot testing of 1) human HeLa, 2) human 293T, 3) human SiHa, 4) human A431, 5) rat brain, 6) mouse brain and 7) mouse thymus tissue lysate with LMF2 antibody. Predicted molecular weight ~80 kDa, ~77 kDa, ~67 kDa (three isoforms).
Availability 1-3 days
Species Reactivity Human
Format Antigen affinity purified
Host Rabbit
Clonality Polyclonal (rabbit origin)
Isotype Rabbit IgG
Purity Antigen affinity chromatography
Buffer Lyophilized from 1X PBS with 2% Trehalose
UniProt Q9BU23
Applications Western Blot : 1-2ug/ml
ELISA : 0.1-0.5ug/ml
Limitations This LMF2 antibody is available for research use only.
Review this product on BioCompare and get a $20 Amazon gift card

Description

LMF2 belongs to the lipase maturation factor family. LMF2 is involved in the maturation of specific proteins in the endoplasmic reticulum. It may be required for maturation and transport of active lipoprotein lipase (LPL) through the secretory pathway.

Application Notes

Optimal dilution of the LMF2 antibody should be determined by the researcher.

Immunogen

An E.coli-derived human recombinant protein (amino acids E132-A635) was used as the immunogen for the LMF2 antibody.

Storage

After reconstitution, the LMF2 antibody can be stored for up to one month at 4oC. For long-term, aliquot and store at -20oC. Avoid repeated freezing and thawing.

Cross
Bulk Quote Request Form
Name*:
Organization*:
Email*:
Phone Number*:
Catalog No.*:
Comments and Specifics(amount, formulation, etc.)*:
Validation code: Captchapackage Image


Can't read the image? click here to refresh.
    *required field

Your bulk quote request has been submitted successfully!

Please contact us if you have any questions.